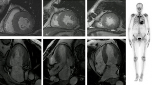
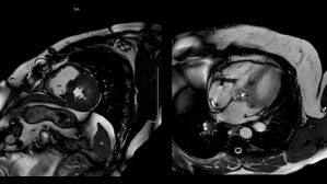
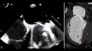
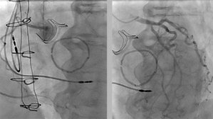
Une hémopathie bénigne, une HVG maligne
Ce patient de 86 ans est hospitalisé pour des lésions dermatologiques aspécifiques. Il présente plusieurs facteurs de risque cardiovasculaire : un tabagisme ancien, un diabète de type 2, de l’hypertension, une dyslipidémie et un surpoids. Il est également atteint d’une surdité non appareillée et d’une maladie aortique.
Publié le vendredi 7 novembre 2025