3 minutes de lecture
Deux ans après un TAVI : le silence du sinus coronaire gauche
Publié le mercredi 4 février 2026
Ce cas a été présenté dans le cadre de la 3ème édition du Concours cas clinique valvulopathies Cardio-online, lors des JESFC 2026.
Contexte Clinique
Patiente âgée de 72 ans
Antécédents :
- Diabète, HTA, Dyslipidémie, surcharge pondérale
- TAVI réalisé en 2023 dans un autre centre pour sténose aortique symptomatique
- Implantation d’une prothèse auto-expansible Evolut Pro+ 29 mm
- Procédure sans complication - Coronarographie pré-TAVI : normale
Une angine de poitrine invalidante, de classe CCS IV, est apparue progressivement deux ans après la procédure de TAVI, avec une aggravation lente mais continue des symptômes...
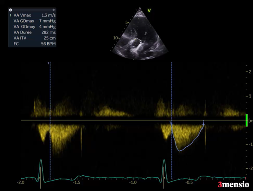
Figure 1
ETT au repos
Vidéo 1
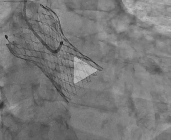
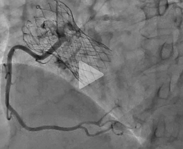
Figure 2
Coronarographie
Vidéo 2 : impossible d’intuber le tronc commun gauche (TCG)
Vidéo 3 : visualisation non sélective du TCG en cathétérisant la coronaire droite
Vidéo 4 : visualisation du TCG après injection à haute pression du sinus droit
Scanner cardiaque
Figure 3 : séquestration du sinus coronaire gauche
Figure 4
Figure 5
Figure 6
Figure 7 : Longueur du feuillet de la cusp aortique > hauteur de la JST
Simulation de l’implantation de l’Evolut 29
Figure 8 : gauche : Valve – Sinus < 2mm - droite : Valve – Coronaire > 4 mm
Questionnaire
Ce cas ne représente pas l’opinion de la SFC ni de Cardio-online, et n’engage pas leur responsabilité.












