2 minutes de lecture
Quand la sonde de défibrillateur danse, la tricuspide trinque
Publié le vendredi 6 mars 2026
Le cas de ce patient a été présenté dans le cadre de la 3ème édition du Concours cas clinique valvulopathies Cardio-online, lors des JESFC 2026.
Contexte clinique
Mr T. 64 ans se présente à sa consultation de suivi cardiologique, il rapporte une dyspnée NYHA 3.
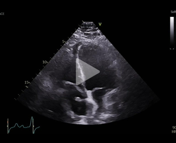
Vidéo 1
Antécédents :
Cardiopathie dilatée d’origine ischémique à FEVG altérée (thrombus Intra VG sous Eliquis) et insuffisance rénale chronique (DFG autour de 40ml/min).
Il est entré dans la maladie avec en :
- 2009 : IDM antérieur vu tardivement avec FEVG altérée, séquelle antérieur et thrombus intra VG / Revascularisé sur l’IVA par 2 stents actifs
- 2017 : implantation CRT-D devant dégradation FEVG , BBG avec asynchronisme et dégradation VO2 —> ST Jude (loge Gauche)
- 2019 : infection de loge à SAMS , explantation puis réimplanté quelques mois plus tard devant persistance d’une dyspnée NHYA 2 se majorant
Traitement : Eliquis 5mg, Bisoprolol 10mg, Entresto 97/103mg, Eplerenone 25mg , XigDuo 5/1000mg, Inegy 10/40mg
Bilan de dyspnée en 2024 : syndrome platypnée-orthodéoxie
Découverte de Foramen Oval Perméable avec shunt droit -gauche massif
- Décision de fermeture devant caractère symptomatique : fermeture percutanée en 10/2024 dont les suites sont simples , permettant une amelioration de la symptomatologie
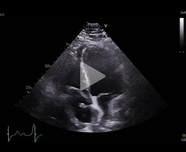
Vidéo 2
Consultation de contrôle à 6 mois, régression franche de la dyspnée (avril 2025)
Vidéo 3
Vidéo 4
FEVG 30% , hypokinésie diffuse, pas de valvuloptahie aortique ni mitrale. VD non dilaté, normokinétique avec IT modérée. Prothèse en place avec passage de bulles résiduelles modéré. Sonde de DAI semblant extrêmement mobile.
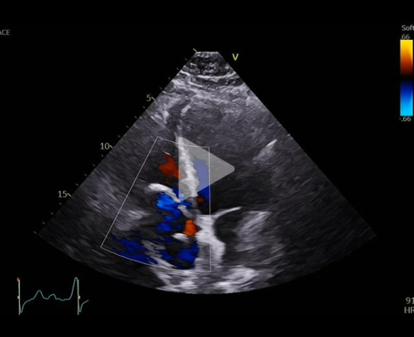
Au cours du suivi, réapparition d’une dyspnée, se majorant progressivement jusqu’au stade 3 de la classification NHYA avec nouvelle ETT au mois d’aout 2025.
Vidéo 5
Vidéo 6
Figure 1
FEVG 35%, hypokinésie diffuse, pas de valvulopathie aortique ni mitrale.
VD non dilaté, normokinétique mais IT désormais laminaire avec reflux dans les veines sus hépatiques.
Résultat du questionnaire
Traitement et gestion du cas
La bonne réponse était la réponse C : Secondaire causée/en lien avec la sonde de stimulation ?
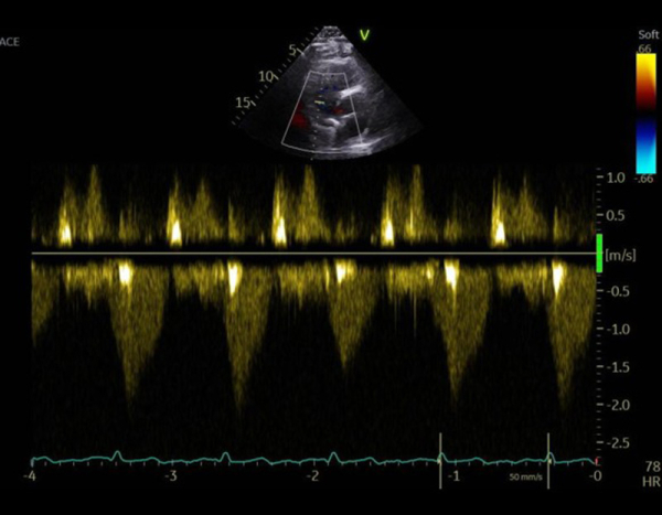
Réévaluation en ETO en 11/2025 :
Vidéo 7
FEVG 35%, hypokinésie diffuse Dégradation de la fonction VD désormais dilaté, Strain paroi libre altérée -8% (TAPSE 19mm, S’ 9cm/s) . IT torrentielle avec inversion du flux systolique de la VSH . Protrusion de la sonde VG (sinus coronaire) au travers du plan de la valve responsable d’une IT laminaire. Pas de participation évidente de la sonde VD.
Prothèse Occluser FOP en place ne semblant pas participer au mécanisme. OD également dilatée.
Figure 2
Figure 3
Vidéo 8
Que nous dit la littérature ?
Figure 4 : Prevalence of cardiac implantable electronic device-associated tricuspid regurgitation in several studies. ...1
Figure 5 : mechanisms of cardiac implantable electronic device-related tricuspid regurgitation. CIED, cardiac ...2
Figure 6 : treatment algorithm of cardiac implantable electronic device-related tricuspid regurgitation. CAVI, caval ...3
Conclusion
Staff pluridisciplinaire dédié : décision de tentative de traction de la sonde pour limiter le bouclage +/- guidage ETO pour réévaluer la fuite en temps réel.
En cas d'échec, explantation + réimplantation sonde VG chez ce patient dépendant de la resynchronisation (pas de gain FEVG mais dégradation de la FE et de la symptomatologie en l’absence de CRT)
Références
Martin A, Burri H, Praz F, Soliman O, Badano L, Barreiro M, Cavalcante JL, de Potter T, Doenst T, Friedrichs K, Hausleiter J, Karam N, Kodali S, Latib A, Marijon E, Mittal S, Nickenig G, Rinaldi A, Rudzinski PN, Russo M, Starck C, von Bardeleben RS, Wunderlich N, Zamorano JL, Hahn RT, Maisano F, Leclercq C. Tricuspid valve disease and cardiac implantable electronic devices. Eur Heart J. 2024 Feb 1;45(5):346-365. doi:10.1093/eurheartj/ehad783
ESC Guidelines 2025
Ce cas ne représente pas l’opinion de la SFC ni de Cardio-online, et n’engage pas leur responsabilité.
Dans la même thématique
Articles les plus lus
Mitrale indomptable
Publié le 3 avril 2026
Deux ans après un TAVI : le silence du sinus coronaire gauche
Publié le mercredi 4 février 2026















