Insuffisance cardiaque
Entretiens vidéo, synthèses des grands congrès tels que l’HFA ou l’ESC, articles, replays d’ateliers pratiques et d’émissions spéciales… Explorez les dernières avancées sur l’insuffisance cardiaque et les analyses de nos experts sur sa prise en charge et ses complications.
Actualités
Le cœur vu par le médecin légiste
Les plus populaires
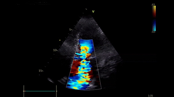
Un ventricule qui s’autolyse
9 juin 2025
Établir le diagnostic complet d’amylose cardiaque
11 octobre 2021
Cardiologue-néphrologue, comment accompagner la titration optimale de l’insuffisant cardiaque ?
Publié le mercredi 15 octobre 2025
Focus sur les Recommandations sur le diagnostic et le traitement de l’Hypertension Pulmonaire, présentée lors du congrès de l’ESC Barcelone 2022.
Publié le dimanche 28 août 2022
L'essentiel de l'ESC 2025 en insuffisance cardiaque
Publié le mardi 9 septembre 2025
Recommandations cliniques
Quelles nouveautés pour la réadaptation de l'insuffisant cardiaque dans les recommandations 2024 de la SFC ?
Profils des patients à adresser en rééducation, prescription de l’entraînement physique… Gaëlle Verdier-Joubert et Emmanuelle Berthelot sur l’importance de la réadaptation dans l’insuffisance cardiaque
Insuffisance cardiaque à FEVG réduite nouvellement diagnostiquée : place du gilet défibrillateur...
Nous avons demandé à Charlotte Puel et Peggy Jacon de profiter de leur présence aux JFIC-CAT pour échanger à propos des nouvelles indications du gilet défibrillateur dans le cadre de l'actualisation des recommandations de l'ESC.
Insuffisance cardiaque à fraction d'éjection préservée : comment la prendre en charge ?
Nous avons demandé à Pierre Dos Santos et Sylvain Grall de profiter de leur présence aux JFIC-CAT 2023 pour aborder la question de la prise en charge de l'insuffisance cardiaque à fraction d'éjection préservée (ICFEP).
Paroles d'experts
HAD, télésurveillance, collaboration : reportage dans le programme FIL-EAS ic
Le programme FIL-EAS permet de faire remonter systématiquement les cas de patients hospitalisés pour insuffisance cardiaque, avant d’évaluer ceux qui peuvent entrer dans le cadre d’un protocole de HAD. Découvrez-le en reportage !
Prise en charge de l'insuffisance cardiaque grâce à la collaboration IPA libérale et cardiologue : le centre Nîmes Sud
Ce reportage vous permet de découvrir le fonctionnement du centre de cardiologie Nîmes Sud, dont la prise en charge de l'insuffisance cardiaque se fait grâce à une collaboration entre une IPA et un cardiologue.
Rôle de l’Ispic, bénéfices pour le patient insuffisant cardiaque… Reportage dans la CECICS de l’hôpital Bicêtre
À travers un reportage en immersion dans la cellule d’expertise et de coordination de l’insuffisance cardiaque sévère de l’hôpital du Kremlin-Bicêtre, vous découvrirez le travail d’une infirmière Ispic au sein du protocole de coopération de ce service !
Comptes-rendus d'études
Perspectives sur la prise en charge de la mort subite chez le patient en post infarctus
La survenue de TV/FV sous LifeVest durant la période précoce post-infarctus est associée à un risque significatif de récidive et de décès à 1 an sous DAI, montre l’étude WICD-MI.
Comment évaluer et stratifier le risque de toxicité en amont de la prescription des anthracyclines ?
La définition de la dysfonction cardiaque secondaire aux traitements anti-cancéreux a été revisitée lors des recommandations 2022 : elle devra être classifiée en fonction de son caractère symptomatique ou non, et du degré de dysfonction systolique du VG.
Efficacité du MITRACLIP dans l’insuffisance mitrale dégénérative sévère symptomatique chez le sujet âgé
Louis PERRARD propose un résumé en français de l'article "Association of transcatheter edge-to-edge repair with improved survival in older patients with severe, symptomatic degenerative mitral regurgitation" de Benfari G. et al., publié dans le European Heart Journal le 01er mai 2022
Émissions
Cardiologue-néphrologue, comment accompagner la titration optimale de l’insuffisant cardiaque ?
Un atelier pratique animé par Emmanuelle Berthelot, avec la participation de Damien Logeart et du néphrologue Jean-Michel Halimi.
L'essentiel de l'ESC 2025 en insuffisance cardiaque
Les Prs Hagège, Eltchaninoff, Logeart, Gilard et Deharo commentent des études récentes présentés à l'ESC25qui bousculent les stratégies médicamenteuses : l’essai DIGIT-HF et MAPLE-HCM ainsi que l'étude VICTOR.
L'essentiel de l'ESC 2025 vu par la SFC
Nouvelles recommandations, actualités en insuffisance cardiaque, rythmologie, coronaire... le décryptage par 5 experts de la SFC de toutes les études majeures de l'ESC25 qui ont un impact sur la pratique.
Carence martiale et insuffisance cardiaque : comment gérer une situation clinique fréquente
Une série d'entretiens et un dossier thématique pour connaître l'opinion de nos experts sur la carence martiale dans l'insuffisance cardiaque !
Explorer le sujet
