4 minutes de lecture
Syndrome oedémateux sur insuffisance diagnostique aigue
Publié le vendredi 11 juillet 2025
Mr V, 36 ans, est hospitalisé en février 2023 pour syndrome oedémateux avec insuffisance rénale sévère (créat 376 umol/L) dans un contexte d’HTA maligne.
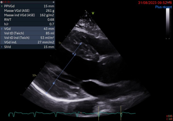
L'ETT montre :
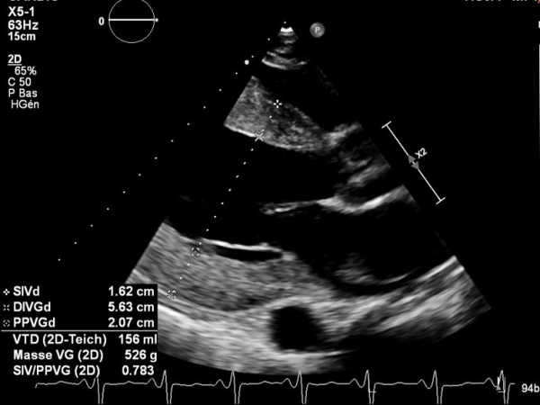
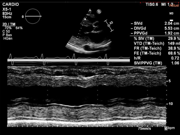
- Dilatation modérée du VG. FEVG à 30%
- Cardiopathie hypertrophique sévère excentrique
- Flux mitral restrictif
- Ventricule droit non dilaté
- Paroi libre épaissie
- Minime épanchement péricardique circonférentiel
Contexte Clinique
Présentation du cas
Ce patient, ingénieur, réside à Toulouse, sans intoxication éthylique ni tabagique, présente une dyspnée d’effort classée NYHA II. On note une exposition professionnelle chronique aux hydrocarbures depuis environ 15 ans. Il est porteur d’un rein unique de manière congénitale. Il existe une notion familiale de décès d’un oncle à un âge jeune.
À l’examen clinique :
- Pression artérielle à 130/93 mmHg
- Examen clinique sans anomalie (RAS)
ECG :
- Rythme sinusal
- Hémibloc antérieur gauche (HBAG)
- PR normal
- Hypertrophie ventriculaire gauche systolique (Sokolow = 35 mm)
- QRS fins
- Ondes T négatives en antéro-latéral
- QTc 402 ms
Biologie 02/2023 :
- Hb = 14 g/dL
- Créat = 350 µmol/L
- DFG = 18 mL/min
- CRP = 23 mg/L
- NTproBNP = 4 700 pg/mL
- CPK = 58 UI/L
IRM cardiaque en février 2023 :
- Cardiomyopathie hypertrophique évoluée
- Dysfonction biventriculaire sévère, FEVG 19%, FEVD 22%
- VG dilaté
- IRM en faveur d'une pathologie de surcharge : pas d'argument pour un Fabry en IRM
- Faisceau d'arguments plutôt évocateur d'une amylose cardiaque
Coronarographie : artères coronaires modérément athéromateuses
HolterECG : RA
Mise en évidence à l’IRMc d'ischémie corticales séquellaires frontales moyennes droites frontales médianes droites cérébelleuses gauches avec minimes maniement hémorragiques et d’une sténose de 50% du segment V4 de la vertébrale gauche.
Vidéo 1
Vidéo 2
Vidéo 3
Figure 1
Figure 2
Figure 3
Vidéo 4
Vidéo 5
Vidéo 6
Figure 4
Biopsie des glandes salivaires accessoires (BGSA) en février 2023 :
- Discrète sialadénite chronique non spécifique de grade I de Chisholm sans argument histologique en faveur d'une amylose.
Scintigraphie osseuse :
- Perugini 0
Myélogramme :
- Moelle de richesse normale (classe III) avec la présence de
mégacaryocytes - Absence d'excès de plasmocytes
- Lymphocytes polymorphes sans atypie cytologique notable
- Absence d'amas suspect
- Absence d'argument pour une atteinte médullaire
- A confronter à l'immunophénotypage
Questionnaire
Diagnostic
Les bonnes réponses étaient : B. Biopsie myocardique et D. Refaire ETT et IRM à distance de l’épisode d’HTA sévère.
Réévaluation ETT à 6 mois de l’épisode d’HTA sévère :
- FEVG 44%, GLS -11%
- HVG sévère stable, VG non dilaté
IRM :
- CMH diffuse prédominant sur le septum avec segment antéro-septal basal mesuré à 19mm. FEVG 59%
- FEVD 64% réhaussement diffus, hétérogène, aspécifique, intéressant préférentiellement la paroi latérale du VG
- Examen évocateur d'une pathologie de surcharge sans argument ce jour pour une maladie de Fabry
Amélioration de la symptomatologie, NYHA 1
ESIDREX 12,5, RAMIPRIL 10, AMLOR 10, TAHOR 40, KARDEGIC 75, BISOPROLOL 1,25, EMPAGLIFLOZINE 10
Créat 269umol/L, NTProBNP 579np/mL
EEVO2 : maximale à 93% de la FMT à 110 Watts, VO2 max 25.5ml/kg (91% de la théorique)
Figure 6
Rein unique donc Biopsie endomyocardique réalisée le 17/03 :
- Biopsie myocardique d'interprétation difficile mettant en évidence une fibrose myocardique et une hypertrophie cardiomyocytaire marquée sans élément d'orientation étiologique évident.
- La présence d’une vacuolisation des cardiomyocytes incite à rechercher une cardiomyopathie secondaire liée à une maladie de surcharge (glycogénose ? autre ?) mais l'absence de marquage par le PAS et la répartition hétérogène des vacuolisations n’intéressant pas tous les cardiomyocytes ne permet pas de retenir ce diagnostic avec certitude.
- Absence de dépôts amyloïdes, de dépôts hémosidériniques, d’inflammation, de lésion des capillaires.
Possible anomalie de la béta oxydation avec accumulation d'acides gras à chaines longues ?
Joker demandé aux collègues internistes qui ont poursuivi le bilan en parallèle des néphrologues depuis le diagnostic initial :
- Profil des acylcarnitines plasmatiques: Elevation de l'acétylcarnitine (C2) : cétose?. Légère élévation des acylcarnitines à chaines moyennes et à chaines longues en C10:1, C12:1, C14:1, C16 et C18:1, probablement secondaire à la cétose. Le reste du profil est normal
- Electrophorèse des protéines sériques retrouvant une hypogammaglobulinémie, sans dysglobulinémie monoclonale. Il existait une hypo gammaglobulinémie à 3,9 g/l. Anticorps antinucléaires négatifs, facteur rhumatoïde négatif, ANCA négatifs, anti-membrane basale glomérulaire négative, anticorps anti PLA2R négatifs. Sérologie hépatite C négative, VIH négative, hépatite B en faveur d'une immunisation post vaccinale
- Exome pour recherche de glycogénose : négatif
L’appel à un ami et le 50/50 n’ont pas emporté la conviction jusqu’ici.
L’insuffisance diagnostique se chronicise…
Mais finalement !
Collègue interniste (Dr BIGOT) : « J’ai fait réaliser un séquençage de l'ADN mitochondrial qui retrouve une mutation c.3243 du gène MT-TL avec une hétéroplasmie de 24% dans les urines et 82% dans le sang : je retiens le diagnostic de cardiopathie mitochondriale »
Collègue néphrologue (Dr FILLON) : « J'ai fait réaliser un exome. Il s'avère qu'il existe une mutation dans le gène MT-TL1 associée au syndrome MELAS »
Traitement et gestion du cas
- La METFORMINE et la succinylcholine sont contre-indiqués, l'ASPIRINE est contre-indiquée à posologie anti-inflammatoire mais est autorisée à faible dose comme cela lui est indiqué du fait de l'antécédent d'ischémie corticales séquellaires
Information sur signes neurologiques, (pseudo-stroke) aigus qui nécessitant une prise en charge spécifique en parallèle de la filière AVC/ thrombolyse (perfusion d’arginine). - Aucune contre-indication particulière si ce n’est d'éviter de se retrouver dans des situations de demande/carence énergétique exagérée.
- Actuellement: Persistance d’une insuffisance rénale sévère, euvolémie clinique, pas de syndrome urémique, protéinurie indétectable. FEVG 61%
Vidéo 7
Discussion
Cardiopathie mitochondriale : hypertrophie concentrique avec dysfonction systolique et diastolique. Ventricules à la fois dilatée et hypertrophiés.
Transmission maternelle (le spermatozoïde perd ses mitochondries lors de la fécondation), et se fait à tous les enfants de la mère.
Atteintes extracardiaques : ptosis, myopathie, diabète, épilepsie, intolérance à l’effort, grande fatigabilité.
ECG : QRS très hypervoltés de manière diffuse et parfois des anomalies de conduction ou au contraire un PR court (préexcitation).
IRM cardiaque : rehaussements tardifs diffus sont présents dans plus de 50% des cas.
L’espérance de vie est souvent inferieure à 50 ans. Le traitement est souvent limité et l’efficacité des traitements spécifiques (suppléments nutritionnels riches en Riboflavine, L-carnitine ou coenzyme Q10 pour améliorer le métabolisme) est controversée.
Conclusion
Le travail d’équipe est indispensable!
Habitués en cardiologie à travailler de manière assez autonome, la complexité de certains dossiers nécessite des concertations pluri disciplinaires.
Le recours aux collègues internistes notamment est indispensable en cas d’HVG atypique, sans diagnostic franc.
Il ne doit y avoir aucune insuffisance diagnostique pour nos patients !!!
Références
Fiche synthétique Cardiomyopathie et maladies mitochondriales
Ce concours vous est proposée avec le soutien institutionnel de :
Ce cas ne représente pas l’opinion de la SFC ni de Cardio-online, et n’engage pas leur responsabilité.















