4 minutes de lecture
Mitrale indomptable
Publié le vendredi 3 avril 2026
Les fuites mitrales récidivantes chez les patients multi-opérés constituent un défi majeur, associant un risque chirurgical et une anatomie souvent défavorable aux approches percutanées classiques. Le développement des techniques de remplacement valvulaire mitral transcathéter (TMVI) et des stratégies de prévention de l’obstruction du LVOT a permis d’élargir les indications chez ces patients à haut risque.
Présentation du cas
Patiente de 75 ans présentant plusieurs facteurs de risque cardiovasculaire : HTA, hypercholestérolémie et diabète de type 2.
Antécédents :
- Endartériectomie carotidienne droite en 2021
- Fibrillation atriale permanente
- Ablation de flutter en 2020
- Stimulateur cardiaque double chambre
- Coronaropathie stentée sur la circonflexe
Histoire clinique
En 2018, elle bénéficie d’un remplacement valvulaire aortique biologique avec élargissement de l’anneau selon la technique de Manouguian pour rétrécissement aortique serré.
Un an plus tard, la survenue d’une insuffisance mitrale sévère sur déhiscence du patch d’élargissement du feuillet antérieur conduit à une chirurgie rédux comportant plastie mitrale et annuloplastie tricuspide.
Malgré un suivi régulier et une optimisation thérapeutique, la patiente reste dyspnéique (NYHA II–III).
Réévaluation au CHU : un nouveau bilan est réalisé pour explorer cette dyspnée persistante.
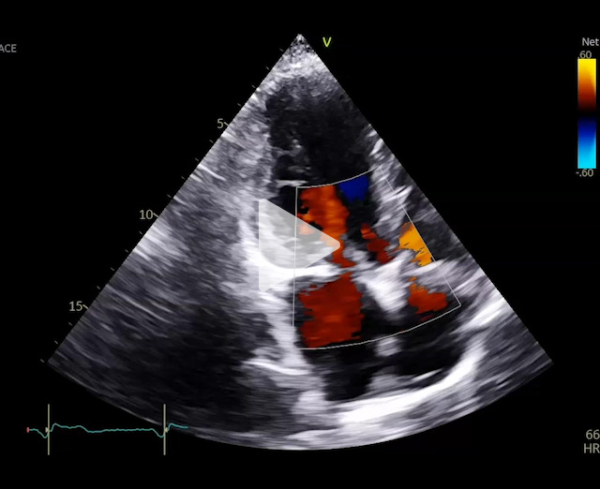
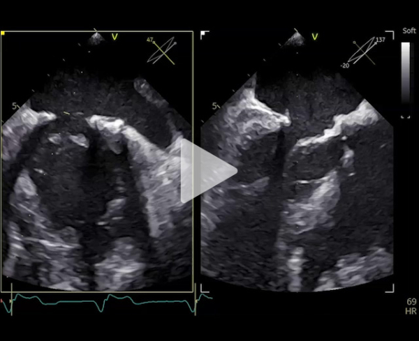
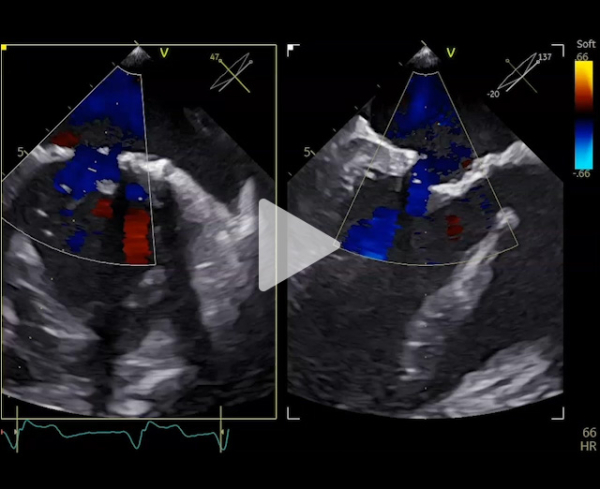
Nouvelle évaluation globale : ETT - ETO
Vidéo 1
Vidéo 2
Vidéo 3
- Ventricule gauche dilaté 87 ml/m2, FEVG 79%.
- Oreillette gauche dilatée 55 ml/m2
- Valve mitrale : plastie mitrale sur valve barloïde, insuffisance mitrale de grade 3
- Restriction au niveau de P3
- SOR 30 mm2, VR 54 ml, PISA 8 mm
- Rapport ITV 1,8, onde E 1,8 m/s
- Pas de reflux dans les VP
- Gmoy 6 mmHg
- Fonction ventriculaire droite altérée
- Forte probabilité d’HTP
Nouvelle évaluation globale : cathétérisme
- POD : 13 mmHg
- PA 167/70 (100) mmHg
- PAPs 70 mmHg, PAPm 42 mmHg, PAPd 20 mmHg
- Pcap 28 mmHg
- Débit 5,13 L/min
- Index 2,9 L/min/m2
- RVP 2,73 UW
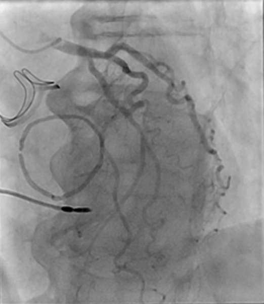
- Stent Circonflexe perméable
- Sténose significative de l’ostium de la bissectrice (traitement médical)
Figure 1
Figure 2
Résultat du questionnaire
Traitement et gestion du cas
La bonne réponse est : D. Autre option
Prise en charge retenue : TMVI valve in ring + LAMPOON
Chez cette patiente à haut risque chirurgical, une chirurgie tridux a été jugée à risque.
Le mécanisme de fuite ne permettait pas une réparation par clip. La présence d’un anneau mitral prothétique rendait envisageable un TMVI valve-in-ring, mais le risque d’obstruction du LVOT était jugé majeur.
Une analyse multimodale a été réalisée :
- ETO pour évaluer la longueur du feuillet antérieur.
- Scanner cardiaque avec modélisation 3D pour estimer la surface du néo-LVOT,
Le risque d’obstruction est jugé important en raison de la longueur du feuillet antérieur.
Vidéo 4
Figure 3
Afin d’éviter cette complication, la stratégie retenue a été un TMVI associé à une LAMPOON (Laceration of the Anterior Mitral leaflet to Prevent Outflow Obstruction).
Technique LAMPOON
Principe et intérêt physiopathologique : lacération du feuillet antérieur → ouverture du flux vers l’aorte.
La technique LAMPOON vise à sectionner le feuillet antérieur mitral afin d’éviter sa bascule dans le LVOT lors du déploiement de la valve transcathéter.
Elle permet ainsi de préserver un flux systolique aortique laminaire, en augmentant la surface du LVOT d’environ 17 % et en réduisant le gradient sous-aortique de 30 %, avec un gain moyen de 70 ± 20 mm² de surface d’écoulement.
Indications principales : TMVI à haut risque d’obstruction :
- Neo-LVOT < 200 mm²
- Feuillet antérieur long / redondant > 24 mm
Figure 4
Figure 5
Kohli K. et al., Front Cardiovasc Med, 2022
Technique LAMPOON
Sous guidage fluoroscopique et échographique transœsophagien, un guide de radiofréquence est introduit par voie rétroaortique pour perforer la base du feuillet antérieur.
Celui-ci est capturé par un guide transeptal, formant une boucle entre les commissures mitrales.
La portion dénudée du guide est ensuite électrifiée, permettant une lacération longitudinale contrôlée du feuillet antérieur le long de sa ligne médiane.
Figure 6
Figure 7
Khan J. et al., J Am Coll Cardiol, 2019 - Lisko J. et al., JACC Cardiovasc Interv, 2021
Réalisation du LAMPOON : lacération
Vidéo 5
Vidéo 6
Implantation TMVI Valve SAPIEN 3
Vidéo 7
Vidéo 8
Résultat final
Vidéo 9
Vidéo 10
Discussion
La correction des fuites mitrales chez les patients à haut risque chirurgical constitue une prise en charge complexe.
Les corrections par clip sont souvent très difficiles sur les plasties mitrales en raison de la complexité du mécanisme.
Le TMVI est une option : l’anneau mitral de la plastie le rend faisable, mais il faut être attentif au risque d’obstruction du LVOT à LAMPOON.
Conclusion
Ce cas illustre l’intérêt d’une approche multidisciplinaire, guidée par l’imagerie, pour la prise en charge des récidives d’insuffisance mitrale post-chirurgie.
L’association TMVI–LAMPOON permet d’offrir une solution percutanée sûre et efficace chez des patients sélectionnés, jusque-là considérés comme inopérables.
Khan, Jaffar M., Vasilis C. Babaliaros, Adam B. Greenbaum, et al. « 5-Year Outcomes of Anterior Mitral Leaflet Laceration to Prevent Outflow Obstruction ». JACC: Cardiovascular Interventions 17, nᵒ 18 (2024): 2157‑67. https://doi.org/10.1016/j.jcin.2024.05.041.
Khan, Jaffar M., Vasilis C. Babaliaros, Adam B. Greenbaum, et al. « Anterior Leaflet Laceration to Prevent Ventricular Outflow Tract Obstruction During Transcatheter Mitral Valve Replacement ». Journal of the American College of Cardiology 73, nᵒ 20 (2019): 2521‑34. https://doi.org/10.1016/j.jacc.2019.02.076.
Kohli, Keshav, Zhenglun Alan Wei, Vahid Sadri, et al. « Assessing the Hemodynamic Impact of Anterior Leaflet Laceration in Transcatheter Mitral Valve Replacement: An in Silico Study ». Frontiers in Cardiovascular Medicine 9 (juin 2022): 869259. https://doi.org/10.3389/fcvm.2022.869259.
Lisko, John C., Vasilis C. Babaliaros, Jaffar M. Khan, et al. « Tip-to-Base LAMPOON for Transcatheter Mitral Valve Replacement With a Protected Mitral Annulus ». JACC: Cardiovascular Interventions 14, nᵒ 5 (2021): 541‑50. https://doi.org/10.1016/j.jcin.2020.11.034.
Ce cas ne représente pas l’opinion de la SFC ni de Cardio-online, et n’engage pas leur responsabilité.


















