2 minutes de lecture
Obstruction rapide, un lent déblocage
Publié le vendredi 23 janvier 2026
Ce cas a été présenté par la gagnante de la 3ème édition du Concours cas clinique valvulopathies Cardio-online, lors des JESFC 2026.
Contexte clinique
M. B, patient de 54 ans, est adressé à l'hôpital pour la prise en charge chirurgicale d’une cardiopathie valvulaire post radique avec atteinte bivalvulaire mitro-aortique, symptomatique de dyspnée NYHA III :
- Insuffisance mitrale sévère restrictive
- Rétrécissement aortique calcifié avec insuffisance aortique minime
Autres antécédents :
- Maladie de Hodgkin traité par radio et chimiothérapie en 1992
Bilan pré opératoire :
- Coronarographie : sténose significative du TC distal englobant l'IVA ostiale et la Cx ostiale Sténose intermédiaire de l'IVA ostiale fonctionnellement significative (FFR 0.78). Sténose serrée de la première marginale ostiale
Chirurgie
- Pontage de l’artère mammaire interne gauche sur l’IVA (pédiculée), pontage de la Marginale 1 par le greffon mammaire interne droit en Y sur la mammaire interne gauche
- Remplacement valvulaire aortique par prothèse mécanique St Jude n°23
- Remplacement valvulaire mitrale par prothèse mécanique St Jude n° 31
- Contrôle ETO post opératoire : pas de blocage d'ailette, bonne fonction des valves prothétiques
Évolution
- Suites post opératoires simples, tableau de surcharge clinique droit avec mise en évidence d’une insuffisance tricuspide moyenne à sévère avec élévation des pressions pulmonaires, motivant une déplétion par Lasilix per os
- Évolution favorable, patient asymptomatique, euvolémique et sortant
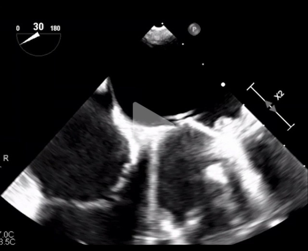
- ETT de sortie : élévation du gradient transmitral avec aspect de blocage d'une ailette mitrale (latérale - vers l'ancienne commissure antérieure)
ETT + ETO
Figure 1
Vidéo 1
Vidéo 2
Vidéo 3
Prise en charge initiale :
- USIC : AVK avec INR 3-4 + Kardegic
- Bilan étiologique : défaut d’anticoagulation, TIH, endocardite à négatif
- Pas d’amélioration : HNF (éventualité de reprise chirurgicale) + Kardegic
- Après 15 jours d’héparine : persistance des gradients élevés et de l’aspect d’ailette bloquée
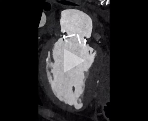
Scanner cardiaque
Vidéo 4
Vidéo 5
Vidéo 6
- Persistance du thrombus (discrète diminution) et blocage de l’ailette
- Absence d'élément de l'appareil sous valvulaire gênant la mobilité
- Bon fonctionnement de la prothèse aortique mécanique
Résultat du questionnaire
Discussion
La bonne réponse était la C : Thrombolyse : selon l'ultra slow protocole de Ozkan et al (25mg/24h à répéter jusqu'à 8 fois ; intervalle libre de 6h entre chaque cycle avec relais par HNF; avec évaluation par ETT+/-ETO entre chaque dose). Scanner cérébral normal.
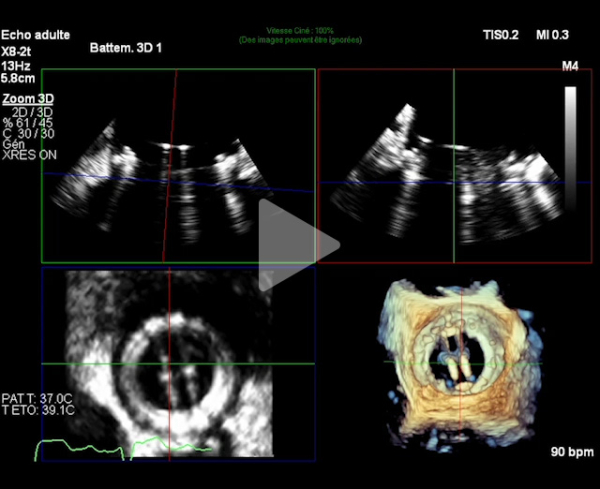
Après 2 cures...
Vidéo 7
Figure 2
2021 ESC/EACTS Guidelines for the management of valvular heart disease
Figure 3
Figure 4
Conclusion
- Ouverture vers une nouvelle stratégie de désobstruction des prothèses mécaniques, y compris en post opératoire
- Sélection des patients prudente, restant à définir : risque chirurgical, symptômes, taille du thrombus...
- Évaluation multimodale
- Au cas par cas, balance bénéfice/ risque
- Discussion multidisciplinaire
Ce cas ne représente pas l’opinion de la SFC ni de Cardio-online, et n’engage pas leur responsabilité.












