3 minutes de lecture
Une hémopathie bénigne, une HVG maligne
Publié le vendredi 7 novembre 2025
1ère hospitalisation en médecine interne, Mai 2020
Contexte clinique
Présentation du cas
Homme de 86 ans, hospitalisé pour des lésions dermatologiques aspécifiques.
- FDRCV : tabagisme sevré, diabète de type 2, HTA, dyslipidémie, surpoids
- ATCD : surdité non appareillée, maladie aortique modérée
- Traitement : Lercanidipine 20mg, verapamil LP 240mg, glimepiride 1mg
Examen clinique
Souffle systolique au foyer aortique.
Lésions cutanées prurigineuses prédominantes aux avant bras, poignets et zones photo-exposées.
Biologie
La biologie est normale (pas d’insuffisance rénale, EPP, TSH, Vitamines B9/B12, normales).
Carence martiale pouvant expliquer le prurit :
- Au terme des explorations, diagnostic de purpura sénile et fragilité cutanée aggravés par l'utilisation des dermocorticoïdes, qui ont été arrêtés.
- ETT demandée pour réévaluation de la maladie aortique.
Echographie cardiaque transthoracique : PSGGA
Vidéo 1
Vidéo 2
Vidéo 3
Paramètres échographiques
Figure 1
Figure 2
Figure 3
Figure 4
Figure 5
Figure 6
Figure 7 : Screening for cardiac amyloidosis. AV, atrio-venticular; ECG, electrocardiogram; ECV, extracellular volume; LGE, late gadolinium enhancement.
Garcia-Pavia P, et al. Diagnosis and treatment of cardiac amyloidosis: a position statement of the ESCWorking Group onMyocardial and Pericardial Diseases. Eur Heart J 2021;42: 1554–68
Le patient est hospitalisé en janvier 2021 pour un bilan d'amylose.
Examen clinique et ETT superposable
Figure 8
Biologie
Figure 9 : examen biologique
IRM du cœur (01/2021) évocatrice d'une amylose cardiaque
- HVG avec épaisseur septale à 19 mm
- Épaississement du septum interatrial
- Dilatation OG (25 cm²)
- VD non dilaté, hypertrophié, à fonction systolique conservée
Figure 10 : IRM du cœur
- Rehaussement tardif sous-endocardique circonférentiel prédominant sur le tiers basal et moyen du VG
- T1 myocardique natif élevé (1067 ms)
- VEC = 44 %
Figure 11
Figure 12
Bilan hématologique
Figure 13
Scintigraphie cardiaque avec traceur osseux
La tomographie permet de confirmer la fixation myocardique du traceur et d’identifier une fixation faible du traceur osseux.
Conclusion :
Hyperfixation intense du traceur osseux dans le cœur grade 3 de Perugini très évocatrice d’amylose TTR en l’absence de chaines légères d’immunoglobuline.
Figure 14 : balayage corps entier
Figure 15 : acquisition tomographique
Qu’est ce qui a été fait ?
BGSA : dans les limites histologiques de la norme. Absence de dépôt amyloïde au point biopsié.
Pas d’autre biopsie réalisée. Refus de la biopsie endomyocardique par le patient.
Génétique pour recherche de mutation TTR :
- Négative : pas de variant pathogène
Holter ECG:
- Pas de troubles du rythme ni de la conduction
Diagnostic
Pour résumer :
- Clinique : patient âgé> 65ans; surdité; rétrécissement aortique modéré
- ETT : plusieurs éléments évocateurs du diagnostic d’amylose
- Bio : BNP et Troponine élevées ; insuffisance rénale
- Résultats hématologiques : limites, doute sur un pic monoclonal : MGUS ? Amylose AL ? Mais patient âgé, insuffisant rénal (intérêt du d FLC++) : en faveur d’un MGUS
- Scintigraphie osseuse : fixation de grade 3 = preuve histologique en l’absence de pic monoclonal
Après discussion collégiale, notamment avec l’hématologue : on retient le diagnostic d’amylose TTR sauvage avec MGUS associé: introduction d’un traitement par VYNDAQEL (TAFAMIDIS) initialement à 80mg/jour; puis relai par 61 mg/ jour.
Evolution
Janvier 2021 à décembre 2022 (24 mois) : patient sous Tafamidis , stable.
Janvier 2023 : Aggravation de la dyspnée: NYHA II-III; BNP = 158 ng/L; Troponine négative; ETT de contrôle.
- HVG concentrique (13 mm), homogène, non obstructive; FEVG 60%; SGL modérément altérée (-14.2%) avec « apical sparing »
- PTDVG normale (E/E’=6)
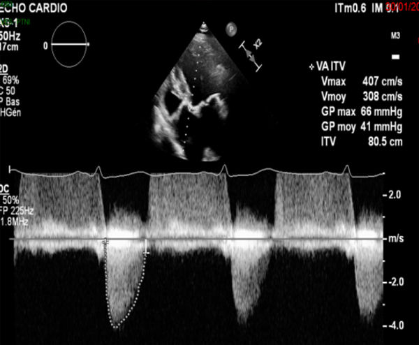
- Maladie aortique sur valve tricuspide avec RAC serré (V max 4,1 m/s, gradient moyen 41 mmHg, IP 0,27, surface 0,95 cm²) et IA modérée (grade 2)
- OG très dilatée 80 ml/m²
- TAVI devant l'âge du patient
Vidéo 4
Figure 16
Figure 17
Figure 18
Figure 19
Figure 20
Conclusion
Amylose TTR sauvage (sénile) :
- Très fréquente : explosion des amyloses TTR: 25% à l’autopsie des > 80 ans
- Hommes: 90% des cas
- Intérêt de la scintigraphie osseuse++
- Protéine monoclonale très fréquente: 25% des cas (MGUS)
- Biopsie extra cardiaque négative 1 fois/2 (Forme cardiaque isolée!!): intérêt de la biopsie endomyocardique++
- Association fréquente avec le rétrécissement aortique
Ce concours vous est proposée avec le soutien institutionnel de :
Ce cas ne représente pas l’opinion de la SFC ni de Cardio-online, et n’engage pas leur responsabilité.



























