3 minutes de lecture
Une HVG chez un patient dialysé
Publié le lundi 12 mai 2025
Hannane EL FARHI
Cardiologie - CHI Nord Ardennes, Charleville
M. R. J., 44 ans se présente à son centre de dialyse habituel dans lequel il se rend 3 fois par semaine dans le cadre d'une insuffisance rénale chronique depuis 2022 sur un syndrome de Melas. Il est en cours de bilan pre-greffe rénale. L’infirmière qui le suit le trouve fatigué et après discussion le patient rapporte une dyspnée progressive depuis 3 semaines. Il est pris en charge par le cardiologue du service. Découvrez ses antécédents médicaux et les examens réalisés et indiquez ce que serait votre stratégie à la suite du diagnostic posé.
Contexte clinique
Présentation du cas
Habitus :
Autonome, marié,actif sur le plan professionnel.
Antécédents :
- Insuffisance rénale chronique stade V avec première dialyse le 16/08/2022 sur syndrome de MELAS
- Maladie de Crohn depuis 1998, Résection grelique en 2014
- Eczéma
- Surdité de perception connu depuis l'âge de 15 ans appareillé depuis 2014
- Hypothyroïdie sur Thyroïdectomie pour nodules bénins
- Suivi de cardiologie du patient IR : il y a 8 mois en cabinet de de ville: RAS stable cardiopathie hypertensive, HVG concentrique modérée avec FEVG à 65 %
Traitement personnel à l’entrée :
- Furosemide 500mg matin et soir
- Levothyrox 150 μg le matin
- Ramipril 5 mg le matin
- Bisoprolol 2.5mg x 2 par jour
Constantes :
TA 100/60mmhg, FC 95 bpm, saturation 100% en air ambiant.
Examen clinique :
Bruits du cœur réguliers, sans souffle valvulaire audible, Pas de franc signe de surcharge volumique clinique Eupnéique au repos Auscultation pulmonaire claire. Dyspnée NYHAII.
Examens du patient
Biologie
- Créatinine 822 μmol/L MDRD 7 mL/min CRP 3.2 mg/L <5.0
- Troponine I HS 134 pg/mL
- ntpro BNP 8239 pg/mL
Figure 1 : ECG
Figure 2 : radiographie thoracique
Vidéo 1
Vidéo 2
Vidéo 3
Vidéo 4
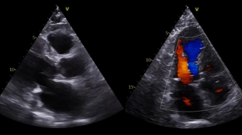
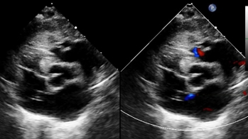
Figure 3
Figure 4
Figure 5
Le résultat du questionnaire :
Diagnostic
Les bonnes réponses sont : A et C
Réponse A
(mon ami internet)
Le syndrome de MELAS ou Encéphalomyopathie mitochondriale avec acidose lactique et épisodes de type AVC est la traduction descriptive complète de l'acronyme MELAS (Mitochondrial Encephalomyopathy, Lactic Acidosis, and Stroke-like episodes) est: une maladie mitochondriale rare multi systémique.
Figure 6
RED FLAG: Mitochondropathie et cardiopathie RED FLAG
Coup d’œil Sur Cardio-online : 1 seule présentation
...motrice pour l'amylose à transthyrétine (Figure2b et 2c), une insuffisance rénale et des AVC précoces pour maladie de Fabry, ou encore un diabète et une surdité précoce (de transmission maternelle) pour les mitochondriopathies (syndrome de MELAS, MIDD) (Figure 3b et 3c). Bien que plus rares, ces étiologies ....
Atteinte cardiaque du MELAS : très rare ( 1/3 des pts MELAS)- > Cardiomyopathie hypertrophique.
C’est déjà plus clair… l’HVG connue n’est peut être pas si banale que ça…
Réponse C
Dans le cadre du bilan étiologique de l'altération de la FEVG.
Ecarter une coronaropathie sous jacente.
Coronarographie : coronaires saines
Optimisation du traitement de l’insuffisance cardiaque
- Jusqu’à OMT
- Lifevest
Poursuite du bilan
- IRM cardiaque
Anticiper en cas d’évolution défavorable
- Circuit greffe Cœur (+rein)
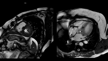
IRM Cardiaque
Vidéo 5
Vidéo 6
Syndrome de Melas avec atteinte ORL connue + atteinte rénale dyalisé depuis 2022 en projet de Pre greffe rénale.
Découverte d’une atteinte cardiaque associée avec CMH à altération brutale de la FEVG.
Traitement et gestion réels du cas
Bilan étiologique + Optimisation du traitement de fond IEC + BB + Lifevest.
Transféré du CH au CHU ( Lille) pour demande de rapprochement vers un centre de bilan greffe cardiaque + DAI.
Avis CHU :
- DAI OK ( déjà sous OMT)
- Initialement greffe cardiaque non retenue devant stabilité clinique hémodynamique.
8 mois plus tard : choc cardiogénique et transplantation cardiaque en urgence.
Discussion
Le syndrome de MELAS ou Encéphalomyopathie mitochondriale avec acidose lactique et épisodes de type AVC est la traduction descriptive complète de l'acronyme MELAS est :
- Une maladie mitochondriale rare multi systémique
- L’atteinte cardiaque: 1/3 des patients MELAS
RED FLAG MELAS EN CARDIO HVG AVC SURDITE PRECOCE DIABETE
Ce cas met en lumière les défis uniques liés aux pathologies mitochondriales rares et à la prise en charge des complications multi systémiques et plus précisément dans ce cas particulier du syndrome de MELAS dyalisé :
- Les limites des traitements de fond des cardiopathies hypokinétiques chez les patients dyalisés et la nécessité de recherche spécifique à cette population
- L’importance d’une collaboration étroite multidisciplinaire et surtout l’importance de se documenter régulièrement et connaitre les pathologies inhabituelles
- Bilanter précocement et jusqu’au bout l’HVG
Conclusion
Ce cas a été présenté lors des JESFC 2025
Références
Song S-K, Lee S H. Cardiomyopathy associated with mitochondrial encephalopathy, lactic acidosis and stroke-like episodes (MELAS) syndrome. QJM: An International Journal of Medicine. 2019 Mar;112(3):213-214.
Brambilla A, Favilli S, Olivotto I, et al. Clinical profile and outcome of cardiac involvement in MELAS syndrome. Int J Cardiol. 2019;276:14-19. leu
Reid AB, Venetucci L, Schmitt M, Nucifora G. Unraveling an Unusual Phenocopy of Hypertrophic Cardiomyopathy: MELAS Syndrome. Diagnostics. 2021;11(2):295.
Présentation Pr Reant Les éléments d’imagerie pour l’orientation étiologique devant une CMH
Clause de non responsabilité
Ce cas ne représente pas l’opinion de la SFC ni de Cardio-online, et n’engage pas leur responsabilité.
Ce concours vous est proposée avec le soutien institutionnel de :
Articles les plus lus
Une CMH toujours symptomatique
Publié le 19 septembre 2025
Imagerie cardiaque : cas clinique "Attention infarctus du myocarde méchant !"
Publié le dimanche 23 octobre 2022



















