7 minutes de lecture
Le SAM, c’est celui qui ne boit pas !
Publié le mercredi 26 mars 2025
Un patient de 40 ans consulte son cardiologue pour une dyspnée pour des efforts modérés (NYHA III), le contraignant dans sa vie quotidienne, notamment pour s’occuper de son enfant.
Contexte clinique
Présentation du cas
Ce patient présente comme antécédents notables :
- Une cardiomyopathie hypertrophique (CMH) depuis 2012 avec un suivi initialement en ville puis une rupture de suivi jusque 2021
- Il a comme facteur de risque cardiovasculaire, un tabagisme actif. Son père est également porteur d’une cardiomyopathie hypertrophique
- Il consomme sa bière 3 MONTS occasionnellement
Sa principale symptomatologie est une dyspnée d’effort (NYHA II), raison pour laquelle il reprend un suivi avec un nouveau cardiologue en 2021 qui constate effectivement une hypertrophie ventriculaire gauche (HVG) asymétrique prédominante au niveau septal jusqu’à 25mm avec un gradient d’obstruction sous aortique significatif au repos à 35 mm Hg symptomatique motivant un traitement par bétabloquant majoré jusqu’à 5mg x2/j.
Le patient est ensuite adressé au CHR de Lille pour effectuer un bilan complet (biologie, ETT, IRM cardiaque, analyse génétique, épreuve d’effort métabolique, cathétérisme cardiaque droit, holter ECG…).
Figure 1 : électrocardiogramme
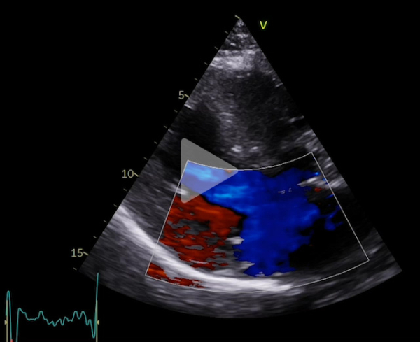
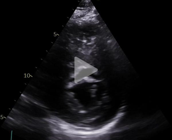
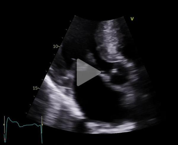
Voici son échocardiographie
Vidéo 1 : échocardiographie 2D en incidence parasternale grand axe
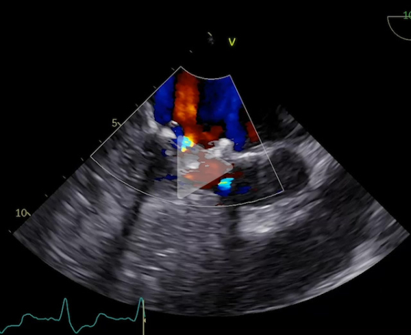
Vidéo 2 : échocardiographie 2D en incidence parasternale grand axe avec doppler couleur
Vidéo 3 : échocardiographie 2D en incidence parasternale grand axe zoomée sur la valve mitrale
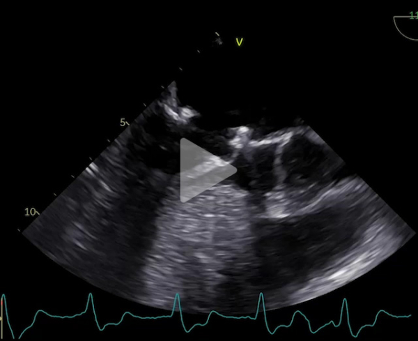
Vidéo 4 : échocardiographie 2D en incidence petit axe centrée sur la valve mitrale
Vidéo 5 : échocardiographie 2D en incidence apicale 4 cavités
Vidéo 6 : échocardiographie 2D en incidence apicale 3 cavités avec zoom sur valve mitrale et chambre de chasse ventriculaire gauche
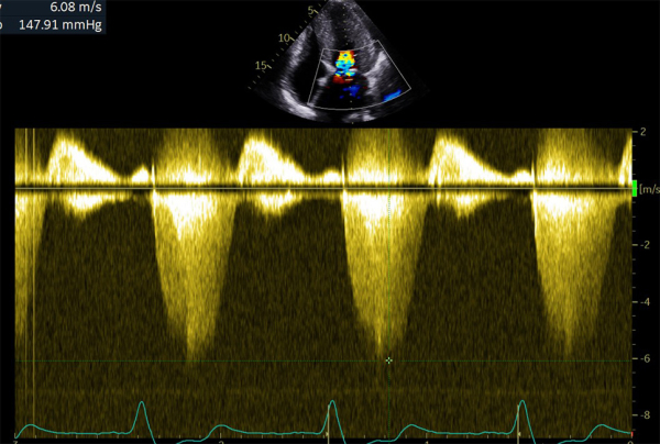
Figure 2 : flux Doppler continu trans-aortique d’obstruction
Figure 3 : flux Doppler continu trans-mitrale d’IM
Figure 4 : superposition des 2 flux Doppler continu d’obstruction sous aortique et d’IM
Voici son IRM
Vidéo 7 : IRM myocardique, 4 cavités, séquence ciné
Compte rendu de l'IRM myocardique
Conclusion :
- FEVG normale à 69%. Dilatation importante du VG. HVG très asymétrique jusqu'à 33mm
- FEVD normale à 73%. Pas de dilatation du VD. HVD débutante
- IM de haute grade (FR : 56%). Importante dilatation de l'oreillette gauche
- Fibrose sévère notamment en antéro-septale tel que décrit. Pas de séquelle d'infarctus myocardique
Voici son analyse génétique
Conclusion : présence d'une variation probablement pathogène (classe 4)
Il a été identifié une variation probablement pathogène à l'état hétérozygote dans le gène MYBPC3. Cette variation c.3407_3409del est une délétion de trois nucléotides qui entraine la délétion en phase d'une Tyrosine en position 1136 de la protéine.
Cette variation est probablement responsable de la cardiomyopathie hypertrophique du patient.
Ce résultat doit être confirmé sur un second prélèvement.
Une enquête familiale et un conseil génétique sont recommandés.
Compte rendu de l'analyse génétique
L'analyse des séquences permet l'identification de variants suivants :
| Gène | Exon | Nomenclature cDNA | Nomenclature protéique | Statut | Conséquence | Classe |
| MYBPC3 | Exon 31 | c.3407_3409del | p.(Tyr1136del) | Hétérozygote | Délétion entraînant la suppression d'un acide aminé sans décaler le cadre de lecture | 5 |
Le reste du bilan est le suivant
Cathétérisme cardiaque droit :
- POD 8 mm Hg ; PAPs/d/moyenne 56/20/35 mm Hg ; PAPO 21 mm Hg
- Débit cardiaque 4,69 L/min soit IC 2,49 L/min/m2 ; SvO2 74% ; RVP 2,7 UW
Épreuve d’effort métabolique :
- Effort arrêté au bout de 10min en raison d’un épuisement, avec un pic de VO2 à 1500 mL/min soit 20,2 ml/min/kg, représentant 55% de la théorique
- Pic de VE/VCO2 à 35,7 avec une pente à 37,6
Holter ECG 24h :
- Rythme sinusal régulier sur l’ensemble du nycthémère. Pas de pause. Pas de trouble conductif
- 108 ESSV. Pas de trouble du rythme supra ventriculaire soutenu
- 913 ESV dont 3 triplets et 4 TVNS de maximum 6 complexes
Au total :
- Patient de 40 ans avec une CMH sarcomérique (mutation HTZ MYBPC3) avec épaisseur maximale en antéro-septo-basal à 33mm en IRM, associée à une obstruction sous aortique significative (GD max 77 mm Hg au Valsalva). Découverte d’une insuffisance mitrale (IM) sévère mixte organique sur prolapsus de P2 et fonctionnelle sur un SAM (mouvement systolique antérieur de la valve mitrale)
- Activation neuro hormonale significative avec NTproBNP 2600 pg/mL
- Altération des capacités fonctionnelles avec un pic de V02 à 20,2 ml/kg/min soit 55% de la théorique
- Risque de mort subite à 5 ans à 6,48% (HCM-Risk SCD)
Prise en charge réalisée après réunion de concertation pluridisciplinaire et discussion avec le patient :
Mr H. a bénéficié le 19/08/2022 d’une myomectomie de Morrow transaortique et transmitrale, associée à une plastie mitrale avec un anneau PHYSIO II 32 mm et 2 néo-cordages sur P2, ainsi qu’un patch d’élargissement du feuillet mitral antérieur et la pose d’un PM-DAI triple chambre de marque MEDTRONIC.
Mr H revient en consultation de chirurgie cardiaque 3 mois plus tard avec un ictère et une dyspnée persistante pour des efforts modérés (NYHA III).
Le bilan biologique met en évidence une anémie normocytaire régénérative à 11,6 g/dL avec une hyperbilirubinémie à prédominance libre (51 mg/L) avec un bilan hépatique normal, LDH à 958 UI/I, et haptoglobine < 0,1 g/L. Présence de schizocytes au frottis sanguin. Test de Coombs négatif.
Voici son échocardiographie
Vidéo 8 : échocardiographie 2D transoesophagienne sans et avec doppler couleur en incidence 3 cavités à 120°
Vidéo 9 : échocardiographie 2D transoesophagienne sans et avec doppler couleur en incidence 3 cavités à 120°
Figure 5 : flux Doppler continu trans-aortique
Le résultat du questionnaire :
Diagnostic final
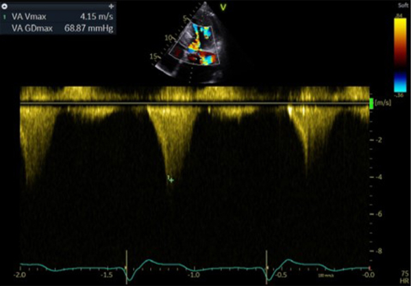
Il s’agissait d’une hémolyse mécanique en lien avec l’obstruction sous aortique (Gradient max 68 mm Hg) favorisée par un SAM de la valve mitrale à l’origine de la persistance d’une IM de haut grade. On suspectait notamment un SAM de néo cordage. Un contact direct entre hématies et anneau prothétique à l’origine d’un stress mécanique est possible aussi mais plus anecdotique.
L’ETO n’avait pas retrouvé de fuite péri plastie mitrale.
Nous avons rediscuté du dossier de Mr H. en réunion d’insuffisance cardiaque avancée.
Les perspectives de correction de la fuite mitrale de haut grade en lien notamment avec le SAM sont jugées faibles au vu de la cardiopathie hypertrophique sous-jacente et de l’anatomie de la valve mitrale avec plastie en ETT/ETO.
Proposition de prise en charge
Nous proposons à Mr H. de poursuivre une surveillance clinique, échographique et métabolique rapprochées afin de surveiller de près l’évolution et de discuter un éventuel projet de transplantation cardiaque à l’avenir si nécessaire.
Nous avons également décidé après discussion avec le patient d’initier un traitement par MAVACAMTEN (CAMZYOS) en vue du traitement de l'obstruction chez un patient porteur d'une cardiomyopathie hypertrophique symptomatique malgré traitement médical et myomectomie.
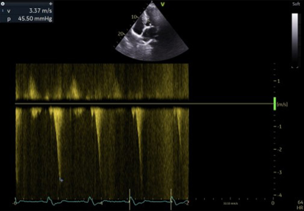
Mr H. a été revu en consultation de suivi à 6 mois de l’introduction du traitement par MAVACAMTEN.
Le septum inter ventriculaire est mesuré à 18mm contre 21 mm avant initiation du traitement et le gradient max en doppler continu trans-aortique au Valsalva a diminué de 68 mm Hg à 45 mm Hg.
Il n’est plus dyspnéique à l’effort, il fait du sport toutes les semaines (renforcement musculaire et vélo) et n’est plus gêné pour s’occuper de son petit garçon.
Il a même pu reprendre le travail à temps plein.
Echocardiographie
Figure 6 : flux Doppler continu trans-aortique
Commentaires
Comment prescrire le MAVACAMTEN ?
L’indication est celle de la CMH obstructive symptomatique (NYHA 2 ou 3) sous traitement de fond.
Les patients doivent cependant avoir une FEVG > 55%. Un test de grossesse négatif est nécessaire pour les femmes.
L’exploration du cytochrome P450 2C19 (CYPP2C19) est réalisée également de façon systématique pour déterminer le génotypage afin de connaître la dose appropriée.
Les modalités de prescription sont les suivantes :
- La prescription initiale est hospitalière et le renouvellement peut être effectué par tout spécialiste de cardiologie
- Le remboursement est assuré par la sécurité sociale et le médicament est disponible en officine/pharmacie de ville
- La bioéquivalence n’a pas été confirmée donc une seule gélule au dosage approprié doit être utilisée (2,5mg - 5mg - 10mg - 15mg)
Concernant le suivi des patients sous MACACAMTEN :
- Une ETT doit être réalisée toutes les 4 semaines initialement puis toutes les 12 semaines une fois la dose de maintenance atteinte.
- Si la FEVG devient < 50%, le traitement doit être interrompu pendant au moins 4 semaines et jusqu’à ce que la FEVG revienne > = 50%.
- En cas d’infection intercurrente ou arythmie grave susceptible d’altérer la FEVG : la dose ne doit pas être augmentée tant que l’affection n’est pas résolue et la FEVG doit être réévaluée.
- Enfin, l’arrêt du traitement doit être envisagée en l’absence de réponse, amélioration des symptômes ou baisse du gradient maximal après 4 à 6 mois de traitement à dose maximale tolérée.
Pathogénèse de l’hémolyse mécanique intravasculaire
Les 2 principaux mécanismes menant à l’hémolyse mécanique intravasculaire liée aux valves sont la contrainte de cisaillement et le contact direct entre les globules rouges et les surfaces internes du cœur.
En réponse au stress de cisaillement, l'érythrocyte change de forme, et un étirement substantiel de sa membrane cellulaire peut se produire. Lorsque la déformation dépasse une valeur critique, l'hémolyse s'ensuit.
Cinq mécanismes hémodynamiques menant à l’hémolyse mécanique intravasculaire ont été reconnus et associés aux caractéristiques écho-cardiographiques :
- La fragmentation d'un jet par une structure solide intermédiaire (suture, corde, anneau prothétique)
- La collision d'un jet contre une structure solide
- L’accélération d'un jet de sang à travers un petit orifice (<2 mm)
- Un jet libre provenant d'un orifice >2 mm, non contraint par des structures solides jusqu'à ce qu'il atteigne la paroi postéro-supérieure de l'oreillette gauche
- La décélération lente d'un jet provenant d'un grand orifice et dévié dans une trajectoire courbe le long du mur atrial
Figure 7 : comparaison d’un cordage artificiel et d’un cordage natif* (Salvador et al. Comparison of artificial and native chordae, reoperation after 12 years. The Journal of Thoracic and Cardiovascular Surgery. 2008.)
Figure 8 : physiopathologie de l’hémolyse mécanique intravasculaire* (Cannata, A. et al. Mechanical hemolysis complicating transcathéter interventions for valvular heart disease : JACC, 2021.)
Références
1. Protocole d’utilisation thérapeutique et de recueil de données (PUT-RD), 2023, HAS2. Salvador et al. Comparison of artificial and native chordae, reoperation after 12 years. The Journal of Thoracic and Cardiovascular Surgery. 2008.3. Cannata, A. et al. Mechanical hemolysis complicating transcathéter interventions for valvular heart disease : JACC, 2021.
Clause de non-responsabilité
Ce cas ne représente pas l’opinion de la SFC ni de Cardio-online, et n’engage pas leur responsabilité.
Ce concours vous est proposée avec le soutien institutionnel de :
Articles les plus lus
Imagerie cardiaque : cas clinique "Attention infarctus du myocarde méchant !"
Publié le 23 octobre 2022
Imagerie cardiaque : cas clinique "Toutes les hypertrophies ventriculaires gauches ne se valent pas !"
Publié le mardi 26 juillet 2022





















