2 minutes de lecture
"Une douleur thoracique pas comme les autres"
Publié le dimanche 26 juin 2022
Dr. Théo Pezel
Unité d'imagerie cardiovasculaire multimodale
CHU Lariboisière, APHP, Paris
Imagerie cardiaque : cas cliniques en direct de Lariboisière
Cardiologue ou Radiologue intéressé(e) par l'imagerie cardiovasculaire multimodale ?
Ce cas clinique d'une patiente de 43 ans hospitalisée pour douleur thoracique constrictive est expliqué en détails de façon didactique.
Puis, nous vous proposons un focus pratique issu des recommandations de l'ESC pour bien fixer la notion abordée par le cas !
Contexte clinique
Patiente de 43 ans hospitalisée en mai 2022 au CHU Lariboisière pour douleur thoracique constrictive depuis deux heures.
Son ECG réalisé en urgence retrouve un rythme sinusal et régulier à 97 bpm avec un sous-décalage du segment ST de V3 à V6, DI et aVL. La coronarographie réalisée en urgence ne retrouve aucune lésion significative. L’ETT réalisée reste dans les limites de la normale sans troubles de la cinétique segmentaire. La troponine ultra-sensible est dosée à 6 fois la normale. Une IRM cardiaque est donc réalisée rapidement.
Focus sur l’IRM cardiaque
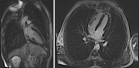
Figure 1A : Séquence Ciné-IRM coupe 4 cavités
Figure 1B : Séquence Ciné-IRM coupe 3 cavités
Figure 1C : Séquence Ciné-IRM coupe 2 cavités
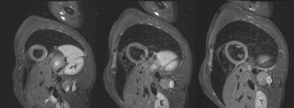
Figure 2 : Séquence T2 STIR, coupes petit-axe
Figure 3 : Séquence T2-mapping, coupes petit-axe
Figure 4 : Séquence de Réhaussement tardif
Coupes petit-axe
Figure 4 : Séquence de Réhaussement tardif
Coupes long-axe 2 cavités et 4 cavités
Cinétique du VG normale mais présence d’une prise de contraste sous-épicardique diffuse.
Conclusion
Myocardite aiguë étendue à la paroi inféro-latérale et latérale débordant en septo-apical.
Pour comprendre :
- La topographie sous-épicardique du réhaussement tardif est très en faveur d’une pathologie inflammatoire évocatrice de myocardite.
- La présence de l’œdème myocardique sur les séquences de T2-STIR et T2 mapping traduit un phénomène inflammatoire récent dans les 4 dernières semaines.
Fiche de synthèse
Références
- EACVI Cardiovascular Magnetic Resonance Pocket Guidelines. Théo Pezel, Jérôme Garot et al. French version, edition 2022. available: https://www.escardio.org/Sub-specialty-communities/European-Association-of-Cardiovascular-Imaging-(EACVI)/Research-and-Publications/CMR-Pocket-Guides
Articles les plus lus
Imagerie cardiaque : cas clinique "Une coronarographie surprenante"
Publié le 18 septembre 2022
Imagerie cardiaque : cas clinique "Attention infarctus du myocarde méchant !"
Publié le dimanche 23 octobre 2022
Imagerie cardiaque : cas clinique "Et si on stressait un pontage complexe ?"
Publié le dimanche 20 novembre 2022













