5 minutes de lecture
Beaucoup trop jeune pour mourir…
Publié le mardi 16 mai 2023
Alexandre Pfeffer
Interne de Cardiologie
Service de Cardiologie, CHU Lariboisière, APHP, Paris
Dr. Trecy Gonçalves
Cardiologue imageur
Service de Cardiologie et de Radiologie,
CHU Lariboisière, APHP, Paris
Dr. Théo Pezel
Cardiologue imageur
Service de Cardiologie et de Radiologie,
CHU Lariboisière, APHP, Paris
Imagerie cardiaque : cas cliniques en direct de Lariboisière
L'imagerie cardiovasculaire multimodale suscite votre intérêt ?
Étudiez, étape par étape, le cas d'un patient de 22 ans qui consulte aux urgences du CHU Lariboisière pour douleur thoracique intense depuis 24 heures avec une « sensation de mort imminente ».
Prononcez-vous avant de découvrir son diagnostic final !
Contexte clinique
Patient de 22 ans qui consulte pour douleur thoracique intense depuis 24 heures avec une « sensation de mort imminente ».
Son ECG, réalisé en urgence, s’inscrit en rythme sinusal et régulier à 88/min, avec des ondes T négatives en V4, V5 et V6, sans modification franche du segment ST.
L’examen clinique est normal, en dehors d’une douleur majorée partiellement à l’inspiration profonde.
L’échocardiographie réalisée est décrite comme normale.
Biologie :
- Hémoglobine = 16,3 g/dL
- Créatininémie = 77 micromol/L
- Troponine ultra-sensible = 1020 ng/L (norme < 34)
- NT-proBNP = 887 ng/L
- CRP = 34 mg/L
Le patient est hospitalisé en USIC pour la suite de la prise en charge.
La coronarographie réalisée rapidement ne retrouve aucune lésion significative.
Une IRM cardiaque est réalisée le 2ème jour d’hospitalisation en USIC.
Focus sur l’IRM cardiaque
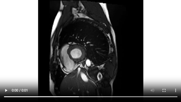
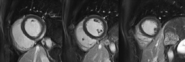
Figure 1A : Séquence Ciné-IRM - Coupes petit-axe basal
Figure 1B : Séquence Ciné-IRM - Coupes petit-axe médian
Figure 1C : Séquence Ciné-IRM - Coupes petit-axe apical
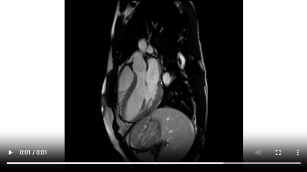
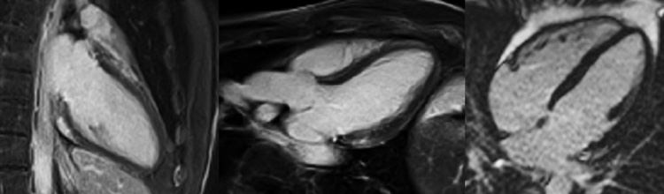
Figure 1D : Séquence Ciné-IRM - Coupes 2-cavités
Figure 1E : Séquence Ciné-IRM - Coupes 3-cavités
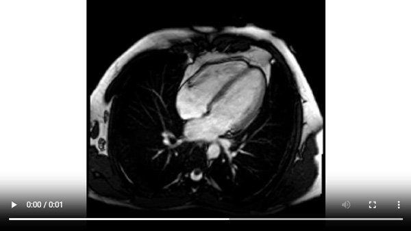
Figure 1F : Séquence Ciné-IRM - Coupes 4-cavités
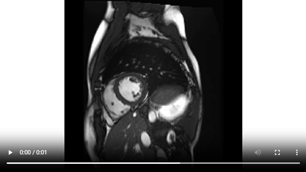
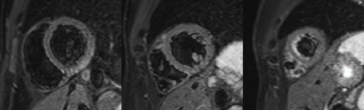
Figure 2 : Séquence cartographie T2 - Coupes petit-axe basal (A), médian (B) et apical (C)
Figure 3A : Séquence T2 STIR - Coupes petit-axe
Figure 3B : Séquence T2 STIR - Coupes long-axe
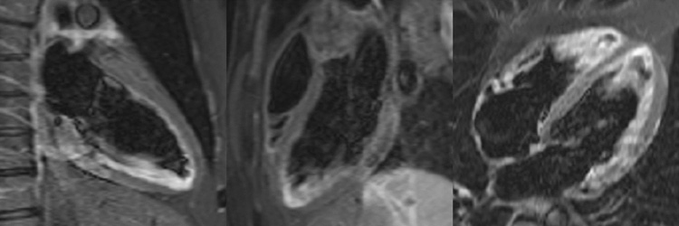
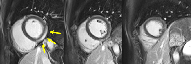
Figure 4A : Séquence de rehaussement tardif - Coupes petit-axe
Figure 4B : Séquence de rehaussement tardif - Coupes long-axe 2 cavités, 3 cavités et 4 cavités
La bonne réponse était myopéricardite aiguë !
À noter : la présence d’une douleur d’allure péricarditique à l’interrogatoire, qui permet de parler de « myopéricardite », et pas juste de « myocardite ».
En effet, même si on ne voit pas clairement d’œdème du péricarde sur les séquences de T2-STIR, la sensibilité de l’IRM cardiaque n’est pas de 100 % pour le diagnostic de péricardite aiguë !
Rappelons que, pour parler de « péricardite aiguë ,» il faut ≥ 2 critères parmi la clinique, le frottement péricardique à l’auscultation, les signes ECG et l’épanchement péricardique. Ici, nous avions la clinique ainsi que les troubles de repolarisation ECG.
Petit clin d’œil permettant de rappeler l’importance de la clinique, et le fait que l’IRM cardiaque seule n’est jamais suffisante pour conclure. Son interprétation doit toujours s’inscrire dans une démarche multiparamétrique (clinique, ECG, biologique, coronarographique…).
Figure 5 : Séquence cartographie T2 - Coupes petit-axe basal (A), médian (B) et apical (C)
Présence d’une zone d’œdème myocardique inféro-latéro-basale avec une élévation importante du T2 mapping à 65 ms (norme < 50 ms), a fortiori bien supérieure à la valeur de T2 mapping du reste du myocarde, mesurée à 45 ms.
Astuce quant à l'analyse du T2 mapping
La séquence de T2 mapping permet de détecter la présence d’œdème myocardique selon deux méthodes possibles en pratique :
- une zone avec une valeur de T2 mapping myocardique ≥ 50-55 ms (norme < 50 ms).
- une zone avec une valeur de T2 mapping élevée comparativement à une zone myocardique saine.
Attention : l’œdème myocardique n’est pas spécifique de myocardite aiguë, mais peut aussi être présent pour un infarctus du myocarde, un syndrome de Takso-tsubo, une sarcoïdose, ou n’importe quelle maladie de système en poussée…
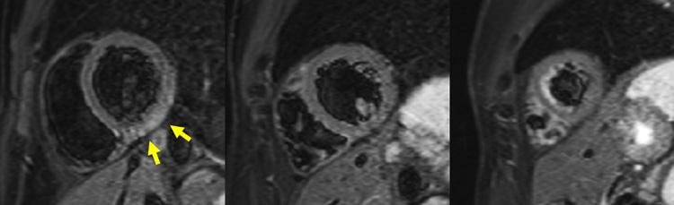
Figure 6A : Séquence T2 STIR - Coupes petit-axe
Figure 6B : Séquence T2 STIR - Coupes long-axe
Présence d’une zone d’œdème myocardique inféro-latéro-basale et inféro-basale avec un hyper-signal T2 (zones blanches, flèches jaunes), comparé au reste du myocarde en iso-signal (le reste du myocarde est gris).
Astuce quant à l'analyse du T2-STIR
- La séquence de T2-STIR inclut une préparation de l’aimantation qui permet d’annuler le gras et le sang. Ainsi, on peut retenir que la seule entité qui est théoriquement censée être en hypersignal est l’œdème myocardique.
- Cependant, veuillez noter ici qu’une partie du sang n’a pas correctement été annulée au niveau des apex du VG et du VD. Il s’agit d’un artéfact classique sur ce type de séquence, qui correspond à des globules rouges moins en mouvement au niveau de l’apex, et qui sont donc moins bien annulés.
- Enfin, retenez que le principal avantage de la séquence de T2-STIR par rapport au T2 mapping est de pouvoir visualiser un éventuel œdème au niveau du péricarde ! Cependant, ici, malgré la douleur d’allure péricarditique cliniquement, on ne note pas d’hypersignal du péricarde. En effet, la sensibilité de l’IRM cardiaque n’est pas de 100 % pour le diagnostic de péricardite aiguë !
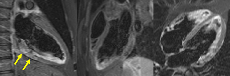
Figure 4A : Séquence de rehaussement tardif - Coupes petit-axe
Figure 4B : Séquence de rehaussement tardif - Coupes long-axes
Présence d’une zone de rehaussement tardif sous-épicardique aux niveaux inféro-latéro-basal et inféro-basal (zones blanches, flèches jaunes) comparée au reste du myocarde (noir).
Retenez le dogme selon lequel le muscle cardiaque sain apparaît toujours « noir » sur les séquences de rehaussement tardif.
Synthèse : faire le diagnostic étiologique de myocardite, infarctus ou syndrome de Tako-tsubo selon la topographie du rehaussement tardif
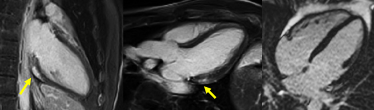
Bonus
Visualisation d’un rehaussement myocardique systolique à prédominance sous-épicardique sur les cinés long-axe (2 cavités et 3 cavités) acquises après injection de gadolinium. C’est un signe assez évocateur d’œdème myocardique, qui est souvent retrouvé en cas de myocardite aiguë.
Conclusion
Myopéricardite aiguë est le diagnostic final à retenir devant une clinique compatible et une confirmation de l’atteinte de myocardite sur les arguments d’IRM cardiaque avec co-localisation parfaite de la zone de rehaussement tardif sous-épicardique (séquences de rehaussement tardif), de l’œdème myocardique sous-épicardique (séquences T2-mapping et T2-STIR) et d’un rehaussement myocardique systolique à prédominance sous-épicardique sur les cinés IRM aux niveaux inféro-latéro-basal et inféro-basal.
Fiche de synthèse : IRM cardiaque
Référence
- EACVI Cardiovascular Magnetic Resonance Pocket Guidelines. Théo Pezel, Jérôme Garot et al. French version, edition 2022. available: https://www.escardio.org/Sub-specialty-communities/European-Association-of-Cardiovascular-Imaging-(EACVI)/Research-and-Publications/CMR-Pocket-Guides
Articles les plus lus
Imagerie cardiaque : cas clinique "Une coronarographie surprenante"
Publié le 18 septembre 2022
Imagerie cardiaque : cas clinique "Attention infarctus du myocarde méchant !"
Publié le dimanche 23 octobre 2022
Imagerie cardiaque : cas clinique "Toutes les hypertrophies ventriculaires gauches ne se valent pas !"
Publié le mardi 26 juillet 2022
Imagerie cardiaque : cas clinique "Et si on stressait un pontage complexe ?"
Publié le dimanche 20 novembre 2022
























