5 minutes de lecture
Et si on stressait un pontage complexe ?
Publié le dimanche 20 novembre 2022
Imagerie cardiaque : cas cliniques en direct de Lariboisière
L'imagerie cardiovasculaire multimodale suscite votre intérêt ?
Étudiez, étape par étape, le cas d'une patiente de 69 ans qui consulte en juillet 2022 au CHU de Lariboisière, pour un angor d’effort. Prononcez-vous avant de découvrir son diagnostic final !
Contexte clinique
La patiente présente comme facteurs de risques cardiovasculaires une HTA, une dyslipidémie, un diabète de type 2, et un tabagisme toujours actif, évalué à 80 paquets-années.
L’histoire de la maladie commence en 2011, avec des douleurs d’effort, amenant la patiente à réaliser une coronarographie, qui retrouvait des lésions tritronculaires, avec :
- Une sténose serrée du TC distal
- Une occlusion chronique de la Cx moyenne
- Une occlusion chronique de la CD proximale
L’ETT retrouvait une FEVG à 50%, avec une akinésie inférolatérale.
Elle a alors bénéficié d’une revascularisation chirurgicale :
- MIG vers l’IVA
- MID en Y sur la MIG vers la marginale et l’IVP
Les suites post-opératoires ont été simples.
Après 2 ans, la patiente a finalement interrompu son suivi cardiologique.
Elle consulte à nouveau en 2022 pour réapparition d’un angor d’effort depuis quelques mois, nitro-sensible.
L’ECG retrouve un rythme sinusal et régulier à 70/mn, avec des ondes Q en inférieur, et des ondes T négatives en inférolatéral.
L’ETT retrouve une FEVG à 55% avec une akinésie inférolatérale.
Il a été décidé de réaliser une coronarographie d’emblée chez cette patiente, dont voici les images :
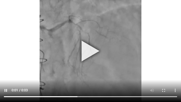
Figure 1A : Coronarographie réseau gauche natif : incidence caudale
Figure 1B : Coronarographie réseau gauche natif : incidence crâniale
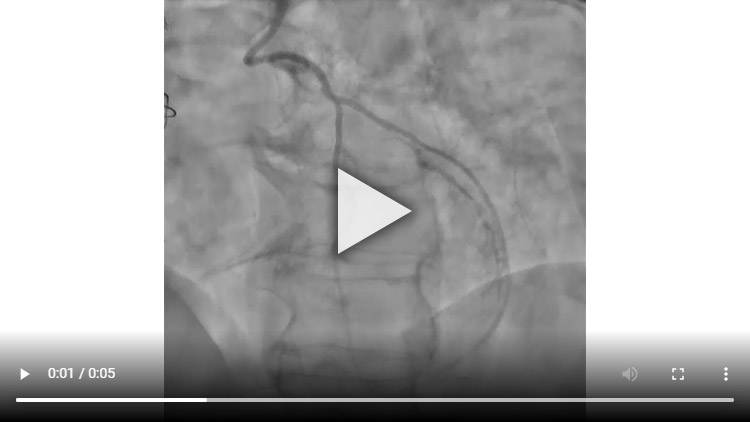
Figure 2 : Coronarographie réseau droit natif
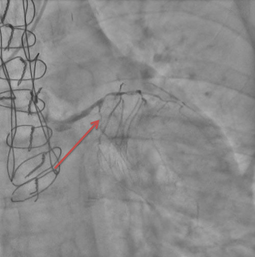
Figure 3 : Coronarographie pontage : incidence crâniale
Figure 4A : Coronarographie centrée sur ostium mammaire interne gauche
Figure 4B : Coronarographie centrée sur ostium mammaire interne gauche
Nous avons opté pour la réalisation d’un test d’ischémie non invasif.
En effet, sur la coronarographie initiale, le réseau natif est quasi occlus, avec une subocclusion longue de l’IVA proximale donnant les premières branches septales, une occlusion chronique de la 2e diagonale, une occlusion chronique de la Cx proximale et de la CD ostiale.
Le montage en Y tout artériel vascularise le territoire latéral via la marginale, le territoire antéro-septo-apical via l’IVA et le territoire inférieur via l’IVP.
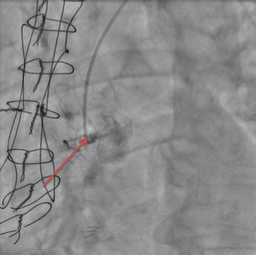
Il existait un doute sur une sténose à l’ostium de la mammaire interne gauche, avec un rétrécissement estimé visuellement à 50%, avec une légère ventricularisation des pressions lors de l’intubation sélective.
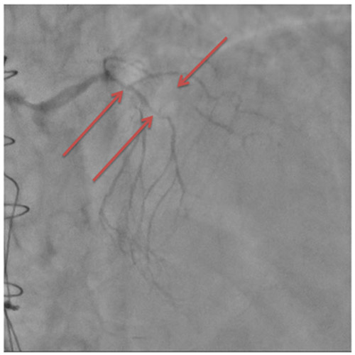
Image 1 : Subocclusion de l’IVA proximale et moyenne (flèches du bas) et occlusion chronique de la 2e diagonale (flèche du haut)
Image 2 : occlusion chronique de la circonflexe proximale
Image 3 : Occlusion chronique de la coronaire droite ostiale
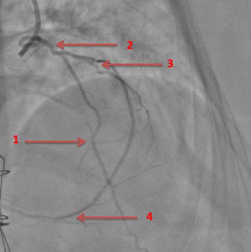
Image 4 :Flèche 1 : anastomose mammaire interne gauche – IVA
Flèche 2 : Mammaire interne droite « branchée en Y » sur mammaire interne gauche
Flèche 3 : anastomose mammaire interne droite – Marginale
Flèche 4 : anastomose mammaire interne droite - IVP
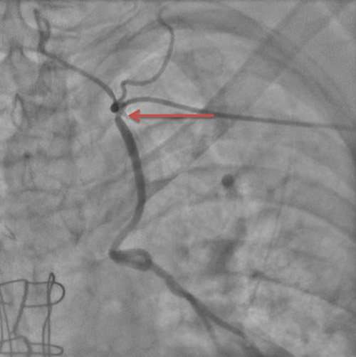
Images 5 : sténose intermédiaire de l’ostium de la mammaire interne gauche
Nous avons discuté du dossier de la patiente avec notre équipe, et avons décidé de documenter une ischémie avant d’envisager une angioplastie de l’ostium de cette mammaire interne gauche.
En effet, la désocclusion du réseau natif semble très complexe, et l’angioplastie de la mammaire nous semblait risquée, étant donné la fragilité des ostia mammaires, et également le fait que ce pont était son dernier vaisseau restant, le réseau natif étant subocclus.
Il a été convenu qu’en cas de large ischémie, nous envisagerions une angioplastie de l’ostium de cette mammaire interne gauche.
Une IRM de stress a été réalisée, et retrouve les images suivantes :
Figure 5A : Séquence Ciné-IRM
Coupes petit-axe médian
Figure 5B : Séquence Ciné-IRM
Coupes 2-cavités
Figure 5C : Séquence Ciné-IRM
4-cavités
Figure 6 : Séquence de perfusion premier-passage au stress
Coupes petit-axe basal (A), médian (B) et apical (C)
On peut noter deux types d’hypoperfusion distinctes (flèches rouges) :
- une hypoperfusion sous-endocardique inféro-latérale correspondante à la séquelle d’IDM inféro-latéral déjà connue en 2011
- une hypoperfusion sous-endocardique de 2-3 segments sur 17 en antéro-basal et antérolatéral correpondant à une ichémie inductible.
Pour rappel : la définition d’une ischémie myocardique inductible est la présence d’une hypoperfusion sous-endocardique au stress SANS présence d’un rehaussement tardif dans la même zone.
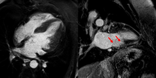
Figure 7A : Séquence de rehaussement tardif
Coupes petit-axe
Figure 7B : Séquence de rehaussement tardif
Coupes long-axe 4 cavités et 2 cavités
Présence d’un rehaussement tardif sous-endocardique (flèches rouges) correspondant à une séquelle d’IDM inféro-latéral viable avec transmuralité < 50% d’épaisseur (correspond à la séquelle d’IDM inféro-latéral déjà connue en 2011 chez la patiente).
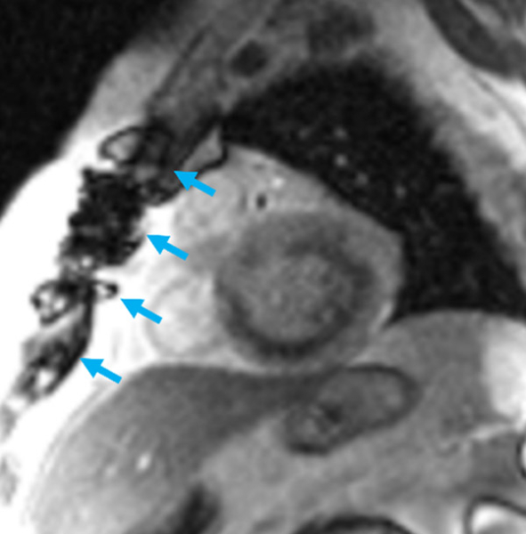
Bonus « le coup d’œil de l’imageur » : Fils de sternotomie
Vous pouvez voir sur l’image la présence d’artéfacts métalliques (flèches bleues) correspondant aux fils de sternotomie Important de noter que ces artéfacts ne posent aucun problème pour l’interprétation des images d’IRM cardiaque.
Conclusion
Au total, on retrouve la séquelle inféro-latérale déjà existante en 2011, et une ischémie limitée de 2-3 segments sur 17 en antéro-basal et antérolatéral.
L’ischémie est donc probablement en rapport avec la subocclusion de l’IVA proximale donnant les premières branches septales et la 2e diagonale, et non à cet ostium de mammaire interne gauche.
En effet, en cas de sténose significative au niveau de cet ostium, nous retrouverions une large ischémie dans tous les territoires, antéro-septo-apical, latéral et inférieur.
Devant l’ischémie limitée à l’IRM de stress et après discussion pluridisciplinaire de l’équipe de Cardiologie de Lariboisière, il a été décidé d’optimiser le traitement médical en majorant le traitement anti-ischémique (majoration de son traitement par bétabloquant et introduction d’un inhibiteur calcique et de dérivés nitrés per os).
Nous lui avons également vivement recommander d’interrompre son intoxication tabagique.
La patiente a été revue en consultation 1 mois plus tard, et ne présente finalement plus d’angor.
Fiche de synthèse pour la partie « IRM cardiaque de stress »
Référence
- EACVI Cardiovascular Magnetic Resonance Pocket Guidelines. Théo Pezel, Jérôme Garot et al. French version, edition 2022. available: https://www.escardio.org/Sub-specialty-communities/European-Association-of-Cardiovascular-Imaging-(EACVI)/Research-and-Publications/CMR-Pocket-Guides
Articles les plus lus
Imagerie cardiaque : cas clinique "Une coronarographie surprenante"
Publié le 18 septembre 2022
Imagerie cardiaque : cas clinique "Attention infarctus du myocarde méchant !"
Publié le dimanche 23 octobre 2022
Imagerie cardiaque : cas clinique "Toutes les hypertrophies ventriculaires gauches ne se valent pas !"
Publié le mardi 26 juillet 2022






















