8 minutes de lecture
Quand l’imagerie endocoronaire éclaire une angioplastie
Publié le jeudi 11 avril 2024
Arthur CLEMENT
Docteur Junior en Cardiologie Interventionnelle,
CHU Lariboisière, APHP, Paris
Antoine LEQUIPAR
Chef de Clinique Assistant en Cardiologie Interventionnelle,
CHU Lariboisière, APHP, Paris
Alexandre LAFONT
Cardiologue interventionnel
CHU Lariboisière, APHP, Paris
Imagerie cardiaque : cas cliniques en direct de Lariboisière
Analysez le cas de Monsieur T, âgé de 60 ans qui présente comme facteurs de risque cardiovasculaires une HTA et une dyslipidémie.
Présentation du cas
Contexte clinique
Son principal antécédent est une cardiopathie ischémique, révélée 1 an auparavant par un syndrome coronarien aigu sans sus décalage du segment ST, en rapport avec une sténose serrée de l’IVA proximale, revascularisée avec implantation d’un stent actif (2.75 mm de diamètre), ainsi que d’une lésion associée de l’IVP revascularisée avec implantation d’un stent actif.
Son traitement comporte une mono anti-agrégation plaquettaire par ASPIRINE, un traitement hypolipémiant par ATORVASTATINE et antihypertenseur par AMLODIPINE.
Il présente une récidive d’angor invalidant CCS 3 motivant la réalisation d’une coronarographie d’emblée.
Coronarographie
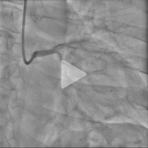
La coronarographie (Vidéo 1), réalisée par voie radiale gauche, retrouve un tronc commun long sain et une sténose serrée à 70% de l’IVA ostiale, hémodynamiquement significative (FFR 0.70 en hyperhémie). On note une importante différence de calibre entre le tronc commun et l’IVA. Il persiste un bon résultat de l’angioplastie de l’IVA moyenne avec absence de resténose.
L’artère circonflexe est normale.
La coronaire droite est normale avec un bon résultat persistant sur l’IVP.
Vidéo 1 : coronarographie. Sténose serrée IVA 1
Devant la symptomatologie et la FFR positive, une revascularisation percutanée est décidée.
Une évaluation des lésions par imagerie endocoronaire par IVUS (Intravascular Ultra Sound-BOSTON SCIENTIFIC) (Figure 1) (Vidéo 2) est réalisée pour :
- Déterminer plus précisément les caractéristiques de cette néo lésion (longueur, calcifications) en amont du stent IVA et l’existence ou non d’une zone d’atterrissage sur l’IVA
- Aider au « sizing » du tronc commun et de l’IVA
Figure 1 : extraits des acquisitions IVUS pré angioplastie
Vidéo 2 : run IVUS pré angioplastie
Au vue des données angiographiques et IVUS présentées ci-dessus :
Diagnostic final
La bonne réponse à la question A : proposition 3 "Prédilatation au ballon non compliant"
La bonne réponse à la question B : proposition 1 "Angioplastie tronc commun/IVA avec un stent"
Correction
Il s’agissait pour rappel du cas de Monsieur T, 60 ans, présentant une récidive d’angor en rapport avec une sténose serrée de l’IVA ostiale. Une angioplastie est programmée et un guidage par imagerie endocoronaire par IVUS est décidé.
Interprétation des images :
Le diamètre artériel est mesuré :
- à 2.5 mm sur l’IVA moyenne, intrastent (légère sous expansion, diamètre du stent à 2.75mm).
- et 5 mm sur le tronc commun.
- l’imagerie permet également de caractériser la lésion IVA 1 avec la visualisation d’une épine calcaire non circonférentielle du tronc commun distal vers l’IVA entre 9h et 12h responsable d’une sténose avec une surface minimale estimée à 2.8 cm² pour un diamètre minimal estimé à 1.5 mm. Le diamètre initial de l’artère est mesuré à 3 mm.
Réponse question A :
Selon les données angiographiques et IVUS, il existe une charge calcique sur la lésion, non circonférentielle, localisée. En première intention, on opte pour une pré dilatation au ballon non compliant. Les autres modalités seront envisagées en cas de résistance à l’inflation. Un arc calcaire sur plus de 180°, une longueur de calcification sur plus de 5 mm, ainsi qu’une épaisseur de calcium sur plus de 0.5 mm nous orienteraient sur une technique de préparation de plaque agressive d’emblée telle que l’athérectomie rotative ou la lithotripsie intravasculaire.
Le choix entre ces 2 derniers dépendra de la profondeur des calcifications (Figure 2) [2].
Figure 2 : proposition de management de lésion calcifiée par imagerie endocoronaire par De Maria et al
Réponse question B :
Il a bien été montré que l’angiographie seule sous-estime régulièrement l’extension de la plaque dans le tronc commun. Effectivement, l'analyse systématique par IVUS des troncs communs montre qu’on observe le plus souvent des atteintes diffuses de la bifurcation avec des plaques continues entre le tronc commun et l’IVA proximale dans 90% des cas [3].Dans le cas présent, le run d’IVUS illustre bien que la plaque débute du tronc commun distal et descend jusque l’IVA proximale, où elle est la plus sténosante. Néanmoins, il n’existe pas de zone saine d’atterrissage pour se limiter à un traitement seul de l’IVA, le risque de protrusion de maille est trop élevé (Figure 3).
Plusieurs études, rétrospectives de faible puissance suggèrent de meilleurs résultats sur le taux de MACE et le taux de resténose chez les patients traités par un stent du tronc vers l’IVA avec POT plutôt que IVA ostial. Aucune étude randomisée comparant les 2 stratégies n’existe [4].
Figure 3 : schéma représentant les risques associés aux 2 stratégies d’angioplastie
Suite et fin de l’angioplastie (Figure 4).
Figure 4 : procédure d’angioplastie du tronc commun vers l’IVA avec provisional stenting
Après prédilatation au ballon non compliant avec ouverture satisfaisante, un stenting du tronc commun vers l’IVA grâce à un stent de bonne capacité d’expansion est réalisé, ici un MEGATRON (BOSTON) de 3.5 x 20 mm inflaté à faible pression. A noter que le choix d’un diamètre de 3.5 mm malgré un diamètre de l’IVA 1 à 3 mm est dicté par la nécessité d’une post dilatation importante dans le tronc commun, non réalisable pour les stents de 3 mm de diamètre.
L’IVA ostiale est post dilatée au calibre indiqué par l’IVUS de 3.0 mm. Puis la bifurcation vers la circonflexe est abordée selon la technique du provisional stenting avec réouverture de la circonflexe avec un ballon semi compliant. Après POT PUFF (injection concomitante d’iode pendant l’inflation du ballon) révélant une perméabilité de la circonflexe avec un ballon de 5 mm, le tronc commun est post dilaté avec un ballon de 5.5 mm de diamètre.
L’angiographie finale (Vidéo 3) avec contrôle IVUS (Figure 5) permet de s’assurer la bonne apposition, la bonne expansion du stent sur toute la longueur ainsi que l’absence de dissection iatrogène.
Vidéo 3 : contrôle coronarographique final
Figure 5 : extrait du run final d’IVUS post angioplastie
L’imagerie endocoronaire pour guider une angioplastie complexe : pourquoi ?
Déjà objet de deux consensus d’expert de l’ESC en 2018 [5, 6] et réévaluée dans les dernières recommandations de la société européenne sur le syndrome coronarien aigu [7], l’utilisation de l’imagerie intracoronaire dans l’angioplastie percutanée fait l’objet d’un intérêt et d’une utilisation croissante depuis plusieurs dizaines d’années. Dans les recommandations européennes de 2018 sur la revascularisation de la maladie coronaire, l’utilisation de l’IVUS apparait en classe IIA, Niveau B pour optimiser l’angioplastie et le traitement des troncs communs [8].
Néanmoins, cette technique d’imagerie endocoronaire reste difficilement accessible en raison de son coût et de l’absence de remboursement. Depuis, et dans la même lignée, de nombreuses études continuent de montrer les avantages de l’angioplastie guidée par imagerie endocoronaire, à la fois sur des critères intermédiaires de qualité d’angioplastie, mais également sur des critères durs d’évènements cardiovasculaires.
Les deux modalités techniques principales sont :
- L’IVUS (BOSTON SCIENTIFIC), échographie endocoronaire, est une technologie utilisant les ultrasons, avec résolution et fréquence d’image modérée, mais importante surface analysée et profondeur de pénétration. Son utilisation principale repose sur les angioplasties du tronc commun. Elle ne nécessite pas d’injection de produit de contraste iodé.
- Le registre coréen multicentrique MAIN-COMPARE en 2009 s’était intéressé à la mortalité à 3 ans d’une population de près de 1000 angioplasties du tronc commun avec ou sans guidage IVUS. Avec appariement sur score de propension, la mortalité à 3 ans était inférieure dans le groupe angioplastie guidée par IVUS [9].
- L’étude ancillaire de NOBLE en 2020 (revascularisation par pontages vs angioplastie chez des patients avec sténose du tronc commun) concernant uniquement le bras angioplastie, avait noté sur 603 patients une utilisation de l’IVUS dans 72% des cas, associée à une diminution des revascularisations à distance du tronc commun, sans bénéfice sur les MACE [10].
- L’étude OCTIVUS en 2023 (angioplastie guidée par OCT vs IVUS) montre que la revascularisation guide par l’OCT n’est pas inférieure à 1 ans de l’angioplastie guidée par IVUS, sur un critère robuste clinique composite de mortalité cardiovasculaire, d’infarctus en rapport avec le vaisseau traité et de revascularisation du vaisseau traité [11].
- La tomographie par cohérence optique (OCT d'Abbott ou OFDI Terumo), utilisant un rayonnement proche de l’infrarouge, permet une résolution environ 10 fois supérieure à celle de l’IVUS, mais sur une surface moins importante. Elle nécessite un milieu homogène avec injections concomitantes de produit de contraste iodé.
Ainsi, dans le cas présenté, d’une angioplastie complexe comprenant le tronc commun dans le cadre d’un syndrome coronarien chronique, la place de l’imagerie intracoronaire est centrale.
- Définition des caractéristiques de la lésion. L’imagerie endocoronaire aide à caractériser la lésion afin d’évaluer la longueur et l’extension de la lésion, le risque de compromettre la "side branch", ainsi que le taux de calcifications.
- Sizing. L’imagerie endocoronaire permet de mesurer les diamètres étagés du vaisseau ainsi que la longueur de la lésion pour déterminer des zones d’atterrissage.
- Le choix du diamètre du stent est basé sur le diamètre de l’artère d’aval, ici l’IVA 1.
- Le choix des ballons de post dilatation est basé sur le diamètre du tronc commun mesuré ici en IVUS.
- Contrôle post angioplastie. Après une procédure complexe, l’imagerie endocoronaire post angioplastie permet essentiellement d’éliminer une dissection iatrogène, une sous-expansion (obtention d’une Minimum Stent Area -MSA- maximale, un bon indicateur de morbi mortalité au long cours [14]) et de contrôler l’apposition du stent (Figure 6). En cas de traitement de bifurcation, l'imagerie endocoronaire peut également évaluer la position du guide de la branche fille après le refranchissement des mailles, afin de s'assurer de sa position intrastent dans la portion proximale. Il permet également d’évaluer la maladie résiduelle sur le reste du vaisseau avec exclusion de "geographic miss" correspondant à la présence de sténose résiduelle de bord.
Figure 6 : exemple de mal apposition, mauvaise expansion et dissection de bord post angioplastie par IVUS
Références
1. D'Ascenzo, F., et al., Accuracy of intravascular ultrasound and optical coherence tomography in identifying functionally significant coronary stenosis according to vessel diameter: A meta-analysis of 2,581 patients and 2,807 lesions. Am Heart J, 2015. 169(5): p. 663-73.
2. De Maria, G.L., R. Scarsini, and A.P. Banning, Management of Calcific Coronary Artery Lesions: Is it Time to Change Our Interventional Therapeutic Approach? JACC Cardiovasc Interv, 2019. 12(15): p. 1465-1478.
3. Yang, Z.k., et al., One-year outcome of single-stent crossover versus accurate ostial stenting for isolated left anterior descending ostial stenosis. Coronary Artery Disease, 2022. 33(1): p. e67-e72.
4. Yun, K.H., et al., Optimal Technique for Ostial Left Anterior Descending Coronary Artery Lesion. J Cardiovasc Interv, 2022. 1(4): p. 151-157.
5. Räber, L., et al., Clinical use of intracoronary imaging. Part 1: guidance and optimization of coronary interventions. An expert consensus document of the European Association of Percutaneous Cardiovascular Interventions. Eur Heart J, 2018. 39(35): p. 3281-3300.
6. Johnson, T.W., et al., Clinical use of intracoronary imaging. Part 2: acute coronary syndromes, ambiguous coronary angiography findings, and guiding interventional decision-making: an expert consensus document of the European Association of Percutaneous Cardiovascular Interventions. Eur Heart J, 2019. 40(31): p. 2566-2584.
7. Byrne, R.A., et al., 2023 ESC Guidelines for the management of acute coronary syndromes. Eur Heart J Acute Cardiovasc Care, 2023.
8. Neumann, F.-J., et al., 2018 ESC/EACTS Guidelines on myocardial revascularization. European Heart Journal, 2018. 40(2): p. 87-165.
9. Park, S.J., et al., Impact of intravascular ultrasound guidance on long-term mortality in stenting for unprotected left main coronary artery stenosis. Circ Cardiovasc Interv, 2009. 2(3): p. 167-77.
10. Ladwiniec, A., et al., Intravascular ultrasound to guide left main stem intervention: a NOBLE trial substudy. EuroIntervention, 2020. 16(3): p. 201-209.
11. Kang, D.Y., et al., Optical Coherence Tomography-Guided or Intravascular Ultrasound-Guided Percutaneous Coronary Intervention: The OCTIVUS Randomized Clinical Trial. Circulation, 2023. 148(16): p. 1195-1206.
12. Ali, Z.A., et al., Optical Coherence Tomography-Guided versus Angiography-Guided PCI. N Engl J Med, 2023. 389(16): p. 1466-1476.
13. Holm, N.R., et al., OCT or Angiography Guidance for PCI in Complex Bifurcation Lesions. N Engl J Med, 2023. 389(16): p. 1477-1487.
14. Romagnoli, E., et al., Definition of Optimal Optical Coherence Tomography-Based Stent Expansion Criteria: In-Stent Minimum Lumen Area Versus Residual Stent Underexpansion. Circ Cardiovasc Interv, 2022. 15(9): p. e011496.
Articles les plus lus
Imagerie cardiaque : cas clinique "Une coronarographie surprenante"
Publié le 18 septembre 2022
Imagerie cardiaque : cas clinique "Attention infarctus du myocarde méchant !"
Publié le dimanche 23 octobre 2022
Imagerie cardiaque : cas clinique "Toutes les hypertrophies ventriculaires gauches ne se valent pas !"
Publié le mardi 26 juillet 2022
Imagerie cardiaque : cas clinique "Et si on stressait un pontage complexe ?"
Publié le dimanche 20 novembre 2022














