5 minutes de lecture
Attention infarctus du myocarde méchant !
Publié le dimanche 23 octobre 2022
Dr. Théo Pezel
Service de Cardiologie et de Radiologie,
CHU Lariboisière, APHP, Paris
Imagerie cardiaque : cas cliniques en direct de Lariboisière
L'imagerie cardiovasculaire multimodale suscite votre intérêt ?
Étudiez, étape par étape, le cas d'un patient de 59 ans hospitalisé en unités de soins intensifs de cardiologie (USIC) début septembre 2022 au CHU Lariboisière pour douleur thoracique constrictive typique à domicile depuis plus de 24h, présenté en 2 parties, et prononcez-vous avant de découvrir son diagnostic final !
Contexte clinique
A son arrivée en USIC, le patient n’a plus de douleur.
Son ECG retrouve un rythme sinusal et régulier à 98/min avec un sus-décalage du ST et une onde Q de nécrose de V1 à V5.
L’ETT réalisée rapporte une large akinésie antéro-septo-apicale avec une FEVG évaluée à 35%.
Une coronarographie diagnostique est réalisée le jour même mettant en évidence une occlusion thrombotique de l’IVA proximale qui sera revascularisée par deux stents actifs.
Lors de l’échocardiographie de contrôle à 2 semaines, le cardiologue a un doute sur la présence d’un thrombus intra-VG au niveau apical.
Une IRM cardiaque est donc réalisée pour recherche de thrombus-intra VG à deux semaines de l’épisode aigu.
Focus sur l’IRM cardiaque
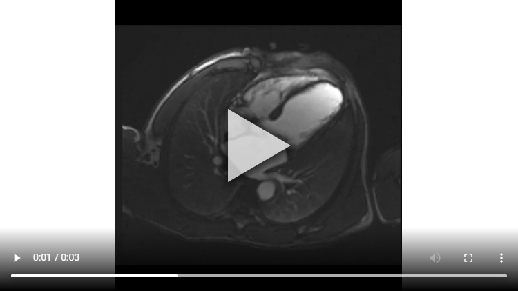
Figure 1A : Séquence Ciné-IRM - Coupes petit-axe médian
Figure 1B : Séquence Ciné-IRM - Coupe 2 cavités
Figure 2A : Séquence de perfusion premier-passage au repos - Coupes petit-axe médian
Figure 2B : Séquence de perfusion premier-passage au repos - Coupes 2-cavités
Figure 2C : Séquence de perfusion premier-passage au repos - Coupes 4-cavités
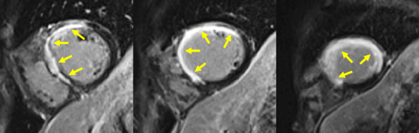
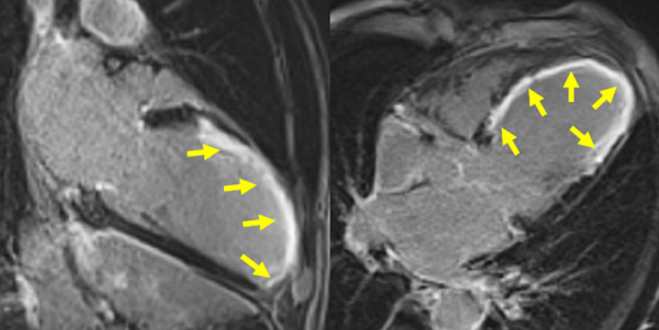
Figure 3A : Séquence de rehaussement tardif - coupe petits-axe
Figure 3B : Séquence de rehaussement tardif - coupes long-axe 4 cavités et 2 cavités
C’est la proposition « On peut conclure que l’infarctus du myocarde identifié n’est pas viable » qui est fausse, et toutes les autres propositions sont justes.
Focus : évaluation de la viabilité myocardique à la phase aiguë d’un infarctus du myocarde
Il est important de retenir que l’évaluation de la viabilité en IRM cardiaque repose sur les séquences de réhaussement tardif avec l’analyse du pourcentage de transmuralité :
- si transmuralité du rehaussement tardif < 50% (autrement dit < 50% d’hypersinal blanc dans l’épaisseur de la paroi myocardique) : IDM viable
- si transmuralité du rehaussement tardif entre 50% et 75% : IDM possiblement viable (analyser aussi l’épaisseur de paroi, la cinétique…)
- si transmuralité du rehaussement tardif ≥ 75% : IDM non viable
Cependant, il faut retenir que si l’IRM cardiaque est réalisée dans les 4 semaines qui suivent la phase aiguë de l’IDM, la zone de rehaussement tardif peut correspondre à une partie de vraie fibrose de la cicatrice d’infarctus du myocarde mais aussi à une partie d’œdème myocardique lié à la réaction inflammatoire de la phase aiguë.
Ainsi : on ne peut pas conclure à l’absence de viabilité dans les 4 premières semaines d’un IDM !
Il faudra alors répéter l’examen à plus de 4 semaines pour être certain d’analyser uniquement cicatrice d’infarctus du myocarde à l’aide des séquences de rehaussement tardif sans aucune composante œdémateuse !
Présence d’un VG dilaté avec VTD VG mesuré à 119 ml/m2 associé à une large hypokinésie sévère, voire akinésie dans certains segments, de toute la paroi antéro-septo-apicale et débordant sur la paroi apico-latérale.
Altération de la FEVG mesurée à 33% après segmentation VG.
Aucun thrombus intra-VG n’est visualisé sur ces séquences de ciné-IRM.
Figure 2A : Séquence de perfusion premier-passage au repos - Coupes petit-axe médian
Figure 2B : Séquence de perfusion premier-passage au repos - Coupes 2-cavités
Figure 2C : Séquence de perfusion premier-passage au repos - Coupes 4-cavités
Présence d’une hypoperfusion sous-endocardique de toute la paroi antéro-septo-apicale débordant sur la paroi apico-latérale. Cette hypoperfusion correspond à la zone de l’infarctus.
Aucun thrombus intra-VG n’est visualisé sur ces séquences de perfusion de premier passage de repos. En effet, un thrombus serait apparu sous la forme d’une masse apicale en hyposignal (noire) avec un produit de contraste qui aurait moulé le thrombus.
Figure 3A : Séquence de rehaussement tardif - Coupes petit-axe
Figure 3B : Séquence de rehaussement tardif - Coupes long-axe 4 cavités et 2 cavités
Présence d’un large rehaussement tardif sous-endocardique de 8 à 9 segments sur 17 avec un réhaussement transmural (100% de transmuralité) dans la quasi-totalité des segments. Ainsi, si l’IRM cardiaque avait été réalisée à plus de 4 semaines de la phase aiguë nous aurions pu conclure avec certitude à une absence de viabilité.
Cependant, le fait d’être à seulement 2 semaines de la phase aiguë ne nous permet pas de conclure avec certitude à la non-viabilité de cet IDM
Enfin, bien que l’amincissement de la paroi (< 6 mm dans les recommandations en échocardiographie) et l’akinésie soit très en faveur d’une absence de viabilité, plusieurs études ont montré que certains patients pouvaient malgré tout présenter un IDM viable (avec alors un rehaussement tardif < 50% sur l’IRM réalisée à plus de 4 semaines de la phase aiguë).
Aucun thrombus intra-VG n’est visualisé sur ces séquences de rehaussement tardif. Un thrombus serait apparu sous la forme d’une masse en hyposignal (noire) au niveau de l’apex VG par exemple.
Conclusion
Patient de 59 ans présentant un large infarctus du myocarde de toute la paroi antéro-septo-apicale et débordant sur la paroi apico-latérale (8 à 9 segments sur 17).
Absence de thrombus-VG visualisé sur l’ensemble des séquences d’intérêt pour rechercher le thrombus : ciné-IRM, perfusion de premier passage et rehaussement tardif.
Présence d’un rehaussement tardif transmural plutôt en faveur d’une absence de viabilité. Cependant, le fait de réaliser cet examen dans les 4 premières semaines de l’IDM ne permet pas de conclure avec certitude à l’absence de viabilité chez ce patient.
Prise en charge pour le patient
De toute façon, l’artère occluse a été revascularisée par stents actifs d’emblée et donc cette évaluation de la viabilité myocardique ne changera rien sur le plan thérapeutique immédiat pour ce patient. L'IRM cardiaque permet d'exclure la suspicion de thrombus VG avec certitude.
Il sera simplement important de suivre l’évolution du remodelage VG et de la FEVG de ce patient par échocardiographie dans les prochaines semaines et prochains mois pour adapter les traitements de l’insuffisance cardiaque à FEVG réduite, et éventuellement poser l’indication d’un défibrillateur ± resynchronisation cardiaque.
Fiche de synthèse : Infarctus du myocarde avec thrombus intra-VG et évaluation de la viabilité myocardique
Référence
- EACVI Cardiovascular Magnetic Resonance Pocket Guidelines. Théo Pezel, Jérôme Garot et al. French version, edition 2022. available: https://www.escardio.org/Sub-specialty-communities/European-Association-of-Cardiovascular-Imaging-(EACVI)/Research-and-Publications/CMR-Pocket-Guides
Articles les plus lus
Imagerie cardiaque : cas clinique "Une coronarographie surprenante"
Publié le 18 septembre 2022
Imagerie cardiaque : cas clinique "Toutes les hypertrophies ventriculaires gauches ne se valent pas !"
Publié le mardi 26 juillet 2022
Imagerie cardiaque : cas clinique "Et si on stressait un pontage complexe ?"
Publié le dimanche 20 novembre 2022
















