5 minutes de lecture
Une coronarographie surprenante
Publié le dimanche 18 septembre 2022
Dr Antoine Léquipar
(CCA)
Service de Cardiologie
CHU Lariboisière, APHP, Paris
Dr Emmanuel Gall
(Docteur Junior Cardiologie interventionnelle)
Service de Cardiologie
CHU Lariboisière, APHP, Paris
Imagerie cardiaque : cas cliniques en direct de Lariboisière
L'imagerie cardiovasculaire multimodale suscite votre intérêt ?
Étudiez, étape par étape, le cas d'un patient de 51 ans hospitalisé en mai 2022 pour douleur thoracique de repos, constrictive. Prononcez-vous avant de découvrir son diagnostic final !
Contexte clinique
Patient de 51 ans, hospitalisé en mai 2022 au CHU de Lariboisière pour douleur thoracique de repos, constrictive, survenue après avoir soulevé une charge lourde lors d’un déménagement.
Il n’a pas de facteur de risque cardiovasculaire.
Son ECG retrouve un rythme sinusal, des QRS fins, sans trouble de la repolarisation ventriculaire.
Le bilan biologique retrouve une troponinémie à 8000 ng/l (N < 34 ng/l).
L’ETT est sans particularité.
Une coronarographie est réalisée dans le cadre de ce syndrome coronaire aigu sans sus décalage du segment ST.
Focus sur la coronarographie
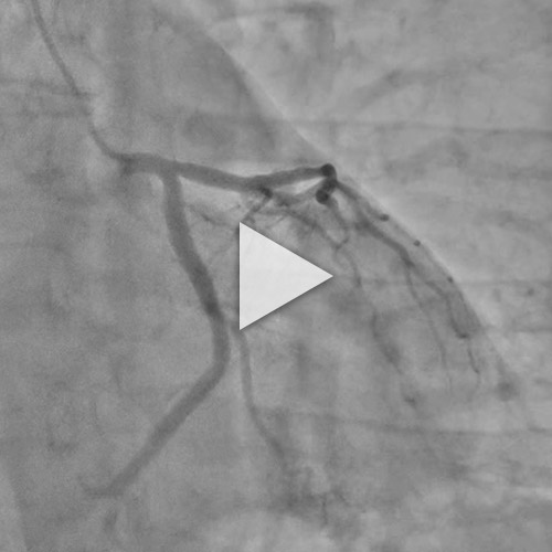
Figure 1A : Réseau coronaire gauche : incidence caudale
Figure 1B : Réseau coronaire gauche : incidence apicale (10/40)
Figure 1C : Réseau coronaire droit : incidence oblique gauche
Au vu de l’aspect angiographique, la dissection coronaire spontanée est le diagnostic le plus probable.
Cependant, le diagnostic de sténose serrée d’origine athéromateuse ou celui de spasme coronaire ne peuvent pas être formellement écartés. L’aspect angiographique n’est pas évocateur de thrombus (qui aurait eu une composante plus hétérogène).
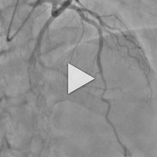
Figure 2 : Coronarographie : réseau coronaire gauche - incidence apicale (10/40)
Les incidences caudales permettent de visualiser correctement le réseau latéral avec l’artère circonflexe et ses marginales. Les incidences crâniales permettent de bien dérouler l’IVA et ses branches de division (artères diagonales et septales).
La coronarographie met en évidence un réseau gauche dominant, non athéromateux, avec des artères plutôt « lisses », hormis sur l’incidence crâniale « 10°/40° » (pour 10° d’oblique antérieure droite et 40° de crânial) où l’on met en évidence une sténose d’allure significative de l’IVA distale, qui persiste après injection de dérivé nitré. Il existe une réduction de calibre homogène qui débute et qui se termine en regard de petites branches de bifurcation, avec un aspect dit de « phasme ». Le flux coronaire est préservé, TIMI 3. Il n’y a pas de thrombus visible sur cette coronarographie. Cet aspect évoque en premier lieu une dissection coronaire spontanée.
Bonus pour aller plus loin : savoir identifier et caractériser une dissection coronaire spontanée à la coronarographie
1- Identifier les patterns de dissection spontanée et connaître la classification
Figure 3A : Classification des dissections coronaires spontanées illustrées
Figure 3B : Classification angiographique des dissections coronaires spontanées. Type 1 (A), Type 2A (B), Type 2B (C), Type 3 (D), Type 4 (E), intermédiaire entre Type1/2 (F).
- Type 1 : image classique en double lumière linéaire avec l’identification d’un flap radio transparent, fréquemment associé à une rétention de produit de contraste dans la fausse lumière.
- Type 2 : réduction de calibre diffus. Le type 2A est délimité en amont et en aval de la lésion par des segments de calibre normal. Le type 2B est défini par la réduction de calibre s’étendant jusqu’à la partie terminale de l’artère coronaire.
- Type 3 : sténose focale ou tubulaire (< 20 mm en général), presque non distinguable à l’angiographie d’une sténose secondaire à une lésion athérosclérotique.
- Type 4 : occlusion complète de la lumière par le faux chenal compressif
2- Rechercher des arguments indirects en faveur d’une dissection coronaire spontanée parmi :
- Artères coronaires tortueuses
- Prédilection particulière pour les segments distaux des artères coronaires (à contrario de l’atteinte athéromateuse)
- Une atteinte prédominante de l’IVA est souvent rapportée dans la littérature
- La fausse lumière commence et se termine à une branche de bifurcation
- Artères coronaires lisses par ailleurs sur le reste du réseau
- Maladie du tissu conjonctif ou fibrodysplasie connue
Figure 4A : Séquence d’imagerie endocoronaire par OCT
Figure 4B : Vidéo de séquence d’imagerie endocoronaire par OCT
L’imagerie endocoronaire n’est pas obligatoire pour le diagnostic de dissection coronaire spontanée. Elle peut s’avérer utile lorsqu’un doute diagnostic persiste, ou pour guider le traitement interventionnel. Très souvent, l’OCT (Optical Coherence Tomography) est préférée à l’IVUS (Intravascular Ultrasound) pour sa haute résolution spatiale (résolution axiale de 15mm). Le choix de notre équipe a été de réaliser une imagerie endocoronaire par OCT en phase aiguë.
Sur cet OCT, on peut visualiser l’hématome disséquant avec aspect en croissant de la fausse lumière. Ici, la fausse lumière, composée d’hématome intramural, enveloppe et comprime la vraie lumière. Il n’y a pas de porte d’entrée retrouvée sur cet examen. À noter qu’en amont et en aval de cette zone, on retrouve une artère sans plaque athéromateuse avec ses trois tuniques bien individualisables (intima, media et adventice).
En l’absence d’ischémie myocardique persistante, nous avons opté pour un traitement conservateur.
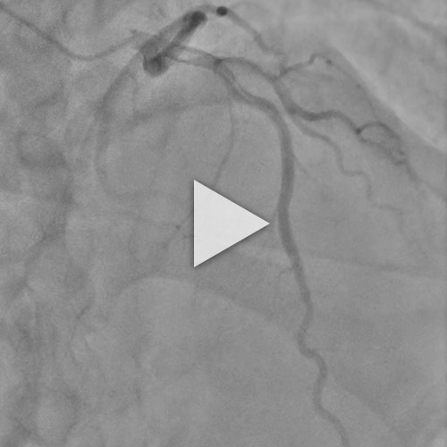
Figure 5 : Suivi du patient - vidéo de coronarographie de contrôle à 3 mois
Le suivi peut s’envisager soit par coronarographie, soit par coroscanner, soit purement clinique.
Nous avons fait le choix de réaliser une coronarographie de contrôle à 3 mois, qui montre une franche régression de cet aspect d’hématome disséquant.
Conclusion
Dissection coronaire spontanée de type IIA :
- Chez un homme jeune sans facteurs de risque cardio-vasculaire
- Avec un facteur déclenchant mécanique identifié (port d’une charge lourde)
- Responsable d’un syndrome coronaire aigu
- Flux coronaire TIMI 3 sans ischémie myocardique persistante
- Autorisant un traitement conservateur
Pour comprendre :
- Pathologie sous diagnostiquée. 2-4 % des SCA tout venant. Prédominance chez la femme.
- Facteurs prédisposants parmi : sexe féminin, la grossesse, maladie du tissu ou fibrodysplasie, facteur déclenchant (émotionnel, physique), inflammation systémique et susceptibilité génétique
- Diagnostic : l’angiographie suffit dans la plupart des cas. L’imagerie endocoronaire n’est pas obligatoire pour le diagnostic. Elle peut guider le traitement interventionnel.
- Traitement conservateur à favoriser. Risque de complications graves si stratégie interventionnelle.
Fiche de synthèse
Références
- Hayes SN, Tweet MS, Adlam D, Kim ESH, Gulati R, Price JE, et al. Spontaneous Coronary Artery Dissection: JACC State-of-the-Art Review. J Am Coll Cardiol. 25 août 2020;76(8):961‑84.
- Adlam D, Alfonso F, Maas A, Vrints C, Writing Committee. European Society of Cardiology, acute cardiovascular care association, SCAD study group: a position paper on spontaneous coronary artery dissection. Eur Heart J. 21 sept 2018;39(36):3353‑68.
Articles les plus lus
Imagerie cardiaque : cas clinique "Attention infarctus du myocarde méchant !"
Publié le 23 octobre 2022
Imagerie cardiaque : cas clinique "Toutes les hypertrophies ventriculaires gauches ne se valent pas !"
Publié le mardi 26 juillet 2022
Imagerie cardiaque : cas clinique "Et si on stressait un pontage complexe ?"
Publié le dimanche 20 novembre 2022













24 commentaires
Pour ajouter un commentaire, vous devez être connecté. Se connecter