3 minutes de lecture
Toutes les hypertrophies ventriculaires gauches ne se valent pas !
Publié le mardi 26 juillet 2022
Dr. Théo Pezel
Unité d'imagerie cardiovasculaire multimodale
CHU Lariboisière, APHP, Paris
Imagerie cardiaque : cas cliniques en direct de Lariboisière
L'imagerie cardiovasculaire multimodale suscite votre intérêt ?
Étudiez, étape par étape, le cas d'un patient de 52 ans hospitalisé en juin 2022 pour syncope d’effort sans prodrome avec traumatisme modéré, présenté en 2 parties, et prononcez-vous avant de découvrir son diagnostic final !
Contexte clinique
Son ECG réalisé aux urgences de Lariboisière retrouve un rythme sinusal et régulier à 88/min avec une HVG électrique importante (Sokolov = 41 mm) associée à des ondes T négatives de V3 à V6.
L’ETT réalisée rapporte une HVG asymétrique à prédominance septale mesurée à 19 mm au maximum avec une FEVG préservée à 58 % en mesure de FE 3D. Présence d’une obstruction intra-VG mesurée à 32 mmHg de gradient maximum associée à une insuffisance mitrale minime à modérée.
Une IRM cardiaque est donc réalisée pour bilan de CMH révélée par une syncope d’effort.
Focus sur l’IRM cardiaque
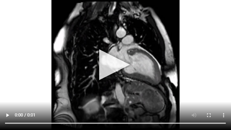
Vidéo 1 : Séquence Ciné-IRM coupe 2 cavités
Vidéo 2 : Séquence Ciné-IRM coupe 3 cavités
Vidéo 3 : Séquence Ciné-IRM coupe 3 cavités
Vidéo 4 : Séquence Ciné-IRM coupe petit-axes
Figure 1 : Séquence T2 STIR, coupes 2 cavités (A) 3 cavités (B) et 4 cavités (C)
Figure 2 : Séquence T1-mapping pré-injection, coupes petit-axe
Figure 3 : Séquence de Réhaussement tardif
Coupes petit-axe
Figure 4 : Séquence de Réhaussement tardif
Coupes long-axe 4 cavités et 2 cavités
Cardiomyopathie hypertrophique sarcomérique est le diagnostic le plus probable.
Cependant, le diagnostic de cardiopathie hypertensive ne peut pas être éliminé.
Figure 5 : Séquence Ciné-IRM réalisée après injection de Gadolinium
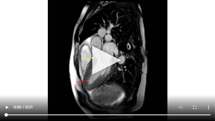
Vidéo 5 : Ciné 3 Cavités
Présence de cryptes myocardiques dans la région septo-apicale (flèche). Ces cryptes peuvent aider à définir les porteurs de mutations de CMH ne présentant pas d’hypertrophie du VG.
Astuces pratiques : retenez que les cryptes myocardiques peuvent facilement être manquées sur les vues petit axe (ce qui est aussi le cas pour ce cas clinique) en raison d’un effet de volume partiel qui fait disparaitre la crypte.
Figure 6 : Séquence T2 STIR, coupes 2 cavités (A) 3 cavités (B) et 4 cavités (C)
Figure 7 : Séquence T1-mapping pré-injection, coupes petit-axe
Figure 8 : Séquence de Réhaussement tardif, coupes long-axe 4 cavités et 2 cavités
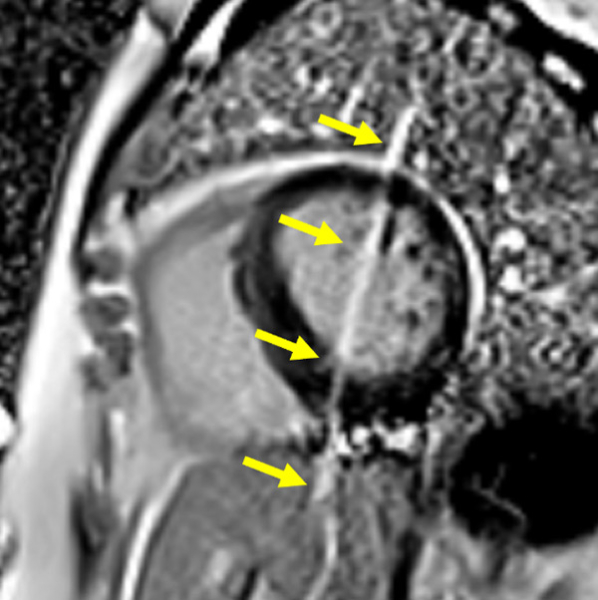
Bonus pour aller plus loin : savoir identifier des artéfacts de mouvement
Présence d’un artéfact de mouvement lié à la respiration (bande blanche signalée par les flèches jaunes) visible au niveau de la 2e image des coupes petit-axe en PSIR. Cet artéfact est appelé « ghosting » ou « image fantôme » et correspond à un dédoublement du signal de la paroi thoracique du patient.
Conclusion
Cardiomyopathie hypertrophique (CMH) sarcomérique à FEVG préservée avec :
- Obstruction intra-VG sous-aortique
- Systolic anterior motion (SAM) partiel
- Nodules de fibrose dense aspécifique dans les régions hypertrophiées apicales
Pour comprendre :
- La topographie centro-myocardique du rehaussement tardif correspond à une fibrose dense aspécifique qui ne serait pas liée à une cardiopathie ischémique (sinon le rehaussement tardif aurait été sous-endocardique), ou à un processus inflammatoire type myocardite (sinon le rehaussement tardif aurait été sous-épicardique).
- La présence de l’obstruction intra-VG et du SAM partiel invite à optimiser le traitement médical de la CMH.
- La présence des nodules de fibrose dense aspécifique traduit un risque de troubles du rythme ventriculaire plus élevé à prendre en compte dans la prise en charge ; a fortiori chez ce patient hospitalisé pour syncope d’effort…
Fiche de synthèse
Référence
- EACVI Cardiovascular Magnetic Resonance Pocket Guidelines. Théo Pezel, Jérôme Garot et al. French version, edition 2022. available: https://www.escardio.org/Sub-specialty-communities/European-Association-of-Cardiovascular-Imaging-(EACVI)/Research-and-Publications/CMR-Pocket-Guides
Articles les plus lus
Imagerie cardiaque : cas clinique "Une coronarographie surprenante"
Publié le 18 septembre 2022
Imagerie cardiaque : cas clinique "Attention infarctus du myocarde méchant !"
Publié le dimanche 23 octobre 2022
Imagerie cardiaque : cas clinique "Et si on stressait un pontage complexe ?"
Publié le dimanche 20 novembre 2022

















