4 minutes de lecture
Un bilan d’ischémie aiguë de membre supérieur
Publié le lundi 29 janvier 2024
Dr Emily McDonnell
Service de cardiologie
CHU de Rouen
Analysez, étape par étape, le cas de ce patient de 53 ans qui consulte aux urgences pour une paralysie de la main droite, il rapporte un épisode de palpitations la veille, avant de statuer sur son diagnostic !
Présentation du cas
Contexte clinique :
Patient de 53 ans consulte aux urgences pour une paralysie de la main droite. Il rapporte un épisode de palpitations la veille.
- Il a pour facteurs de risque cardiovasculaire une hypertension artérielle et une hypercholestérolémie. Il n’a pas d’autre antécédent particulier.
- Sa mère aurait fait deux AVC dont l’âge n’a pas pu être précisée. Il ne rapporte pas d’autre antécédent familial.
- Son traitement comprend du KARDEGIC, du PERINDOPRIL et de l’ATORVASTATINE.
Cliniquement :
- Hémodynamique stable.
- Dyspnée NYHA 1 à 2 d’installation progressive depuis un an.
- Bruits du cœur réguliers sans souffle. Pas de signe d’insuffisance cardiaque.
- Examen neurologique normal, notamment régression du déficit moteur du membre supérieur droit.
L’angioscanner montre un défaut d’opacification des artères radiales et cubitales droites confirmant le diagnostic d’ischémie aigue de la main droite.
L'ECG est le suivant (Figure 1):
Figure 1 : Électrocardiogramme (ECG)
Biologie :
- Insuffisance rénale aigue avec créatinine à 157 μmol/l
- Protéinurie à 0.6 g/24 heures (normale < 0.3 g/24 heures)
- Bilan immunologique normal
- NT-proBNP 869 ng/l (normale inférieure à 400 ng/l)
Holter-ECG des 24 heures : salves d’extrasystoles supra ventriculaires de 5 à 10 complexes.
Une échographie cardiaque est demandée dans le bilan étiologique et devant l’aspect ECG (Vidéos 1 et 2, et Figure 2):
Vidéo 1 - Coupe parasternale grand axe (ETT)
Vidéo 2 - Coupes 4 cavités (ETT)
Figure 2 - Strain longitudinal global du ventricule gauche (ETT)
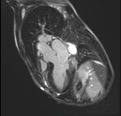
Vidéo 3 - Séquence Ciné-IRM coupe 4 cavités
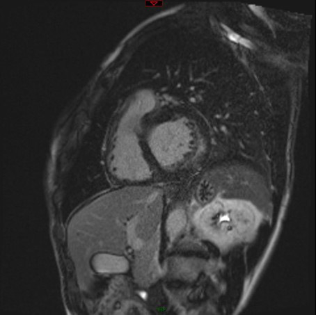
Vidéo 4 - Séquence Ciné-IRM coupe 2 cavités
Vidéo 5a - Séquence Ciné-IRM coupe petit-axe basal
Vidéo 5b - Séquence Ciné-IRM coupe petit-axe médian
Vidéo 5c - Strain longitudinal global du ventricule gauche (ETT)
Figure 3 - Séquence T1 mapping pré-injection, coupes petit-axe
Figure 4 - Séquence T2*
Figure 5a - Séquences de rehaussement tardif, coupes 3 cavités et petit axe basal
Figure 5b - Séquences de rehaussement tardif, coupes 3 cavités et petit axe basal
Diagnostic final
La bonne réponse était "Maladie de Fabry".
L’ECG montre un PR court et une HVG électrique avec des troubles de repolarisation en inféro-apico-latéral.
Le PR court est classique dans la maladie de Fabry en l’absence de voie accessoire due à la surcharge en sphingolipides myocardiques. L’HVG électrique et les troubles de repolarisation en inféro-latéral sont également habituels.
L’échographie cardiaque montre:
- Hypertrophie circonférentielle de 17 mm (Figure 6)
- Diminution du strain de la paroi postéro-latérale évocatrice d’une maladie de Fabry sans élément pour une amylose (notamment pas de gradient base-apex) (Figure 2)
- Dilatation à 44 mm du sinus de Valsalva
Figure 6 : Mode TM – coupe parasternale grand axe
Aspects ETT évocateurs de maladie de Fabry:
- Remodelage VG concentrique ou HVG sans obstruction intra-VG à l’état de base
- Hypo- voire akinésie de la paroi inféro-latérale du VG (en rapport avec la fibrose) et altération du strain, particulièrement au niveau du segment inféro-latéral
- Aspect épaissi, infiltré des valves mitrale et aortique, avec régurgitation légère à modérée
- Hypertrophie du VD et des muscles papillaires
- Dilatation légère à modérée du sinus de Valsalva et de l’aorte ascendante dans les formes avancées de la maladie.
Résultats de l’IRM cardiaque:
- Fonctions systoliques bi-ventriculaires conservées avec dilatation tétra-cavitaire
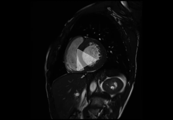
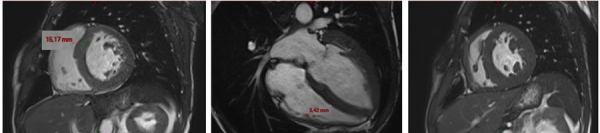
- HVG concentrique (masse VG à 128 g/m2 pour une normale < 90 g/m2) avec épaisseur maximale à 15 mm en antéro-septo-basal (Figure 7)
- Hypertrophie VD avec épaisseur diastolique à 5 mm (Figure 8)
- Hypertrophie des piliers mitraux (Figure 9) et trabéculations bi-ventriculaires
Figures 7, 8 et 9 (de gauche à droite)
Figure 3 : Diminution de la relaxométrie T1 de façon diffuse avec valeur moyenne à 850 ms
Figure 4 : Relaxométries T2* normales: pas d’argument pour une hémochromatose
Figure 5a et 5b :Réhaussement tardif typique médiopariétal inféro-latéro-basal du VG = fibrose
Traitement et gestion réels du cas
L’IRM cérébrale montre plusieurs anomalies classiques de la maladie de Fabry (lacunes ischémiques des centres semi-ovales et leucopathie vasculaire modérée, hyper-T1 et hypo-T2 des thalami en lien avec de probables dépôts calciques, dolicho-ectasie du polygone de Willis).
Maladie de Fabry confirmée avec atteinte cardiaque, rénale et cérébrale : alpha-galactosidase abaissée à 0,61 µmol /L/h et la recherche de mutation génétique retrouve le variant C.1118G>A, variant pathogène de classe V dans les formes classiques de maladie de Fabry.
Patient non éligible à une thérapie par molécule chaperonne du fait de sa mutation. Introduction d’une enzymothérapie substitutive par agalsidase alfa (REPLAGAL) à la posologie de 0,2 mg/kg toutes les deux semaines, sans complication et avec une stabilité échocardiographique et rénale à 6 mois.
Introduction d’une anticoagulation curative devant les épisodes de TSV évocateurs de fibrillation atriale paroxystique et le CHADS2-VASc à 2 maintenant.
Arbre généalogique :
- Le patient n’a pas pu transmettre la maladie à ses deux fils compte-tenu du mode de transmission lié à l’X.
- Indication au dépistage de la mère.
Figure 10 : Arbre généalogique
Discussion
Aspects IRM évocateurs de maladie de Fabry :
Toute CMH, surtout si elle concentrique et si elle touche aussi le ventricule droit, doit amener à rechercher une maladie de Fabry ou une amylose cardiaque
T1 mapping abaissé (T1 < 940 ms) doit faire évoquer deux diagnostics:
- 1) Maladie de Fabry (accumulation intracellulaire de sphingolipides)
- 2) Hémochromatose (accumulation de fer)
T2* abaissé < 20 ms signe une surcharge ferrique → Donc, T1 < 940 ms + T2* normal = en faveur d’une maladie de Fabry
Rehaussement tardif latéro-basal = fibrose. Localisation typique mais pas d’explication physiopathologique à ce jour.
Figure 11 : Maladie de Fabry
EACVI Cardiovascular Magnetic Resonance Pocket Guidelines. Théo Pezel, Jérôme Garot et al. French version, édition 2022
Conclusion
La maladie de Fabry peut être évoquée devant:
- À l’ECG: PR court associé à une HVG électrique et à des troubles de repolarisation en inféro-latéral
- En ETT: HVG, surtout concentrique, associée à des troubles de cinétique et/ou à une altération du strain en inféro-latéral
En IRM cardiaque :
- Toute CMH, surtout si elle concentrique et si elle touche aussi le ventricule droit, doit amener à recherche une maladie de Fabry ou une amylose cardiaque
- T1 abaissé < 940 ms + T2* normal
- Réhaussement tardif typique médiopariétal inféro-latéro-basal du VG
Références
- PNDS de la maladie de Fabry, novembre 2021, disponible: consulter
- 2. EACVI Cardiovascular Magnetic Resonance Pocket Guidelines. Théo Pezel, Jérôme Garot et al. French version, edition 2022, available: consulter
Ce cas ne représente pas l’opinion de la SFC ni de Cardio-online, et n’engage pas leur responsabilité
Articles les plus lus
Imagerie cardiaque : cas clinique "Attention infarctus du myocarde méchant !"
Publié le 23 octobre 2022
Imagerie cardiaque : cas clinique "Une coronarographie surprenante"
Publié le dimanche 18 septembre 2022
Imagerie cardiaque : cas clinique "Toutes les hypertrophies ventriculaires gauches ne se valent pas !"
Publié le mardi 26 juillet 2022


















