6 minutes de lecture
La maladie de Fabry chez la femme
Publié le mercredi 8 mars 2023
Pr Patricia Réant
CHU de Bordeaux
Introduction
La maladie de Fabry est une maladie chronique héréditaire rare et grave, liée à la présence d’une mutation pathogène sur le gène GLA situé sur le chromosome X. Sa prévalence est de 1/40 000 to 1/117 000. Elle engendre une activité sanguine de l’enzyme alphagalactosidase A anormalement abaissée et/ou déficiente, entraînant une maladie de surcharge lysosomale en glycosphyngolipides.
La maladie de Fabry et l'homme
Chez l’homme, qui n’a qu’un seul X, l’atteinte des organes est généralement multiple (95 % des cas) et peut toucher le rein (protéinurie, insuffisance rénale, dialyse/transplantation) et le système nerveux central et/ou périphérique, mais également le cœur, avec une cardiomyopathie hypertrophique évolutive, biventriculaire et diffuse, à laquelle peuvent s’associer des troubles conductifs, une insuffisance chronotrope et des arythmies supra-ventriculaires et ventriculaires. Cette atteinte cardiaque apparaît classiquement à partir de l’âge de 30 ans, ou un peu plus tardivement dans les formes cardiaques isolées (5 % des cas, « variant cardiaque »).
Le pronostic de cette maladie est sévère et principalement relié à l’atteinte cardiaque. Un diagnostic précoce est donc crucial afin de mettre en place le plus tôt possible un traitement spécifique et freiner l’évolution. Chez les hommes, le traitement spécifique est recommandé systématiquement dès l’âge de 18 ans, voire plus tôt en cas d’atteinte d’organe.
La maladie de Fabry et la femme
Chez la femme, l’atteinte cardiaque est également possible, malgré la protection relative conférée par l’autre chromosome X sain et fonctionnel. Le dosage de l’alphagalactosidase A normal n’exclut pas la maladie chez une femme porteuse de cardiomyopathie hypertrophique (normale dans 50-60 % cas). En cas de suspicion diagnostique, la recherche de mutation sur le gène GLA est impérative. Classiquement, l’atteinte cardiaque chez la femme apparait vers 40 ans et est relativement moins sévère. Cependant, il peut exister des formes sévères également chez les femmes.
D’après le registre FOS, l’âge moyen d’apparition des atteintes chez la femme est de 16 ans pour les atteintes neurologiques, de 37 ans pour les atteintes rénales, et de 34 ans pour les atteintes cardiaques. Donc finalement, c’est dès l’âge de 30 ans que le diagnostic de maladie de Fabry devrait être suspecté devant une CMH inexpliquée chez une femme, et l’atteinte cardiaque traquée même avant l’âge de 40 ans chez les femmes porteuses de la maladie (génotype GLA positif).
Chez la femme, l’initiation d’un traitement spécifique est indiqué dès le signe le plus précoce d’une atteinte d’organe, et la prise en charge peut être guidée par le résultat de l’étude de l’activation de l’X. Sur le plan neurologique, un AIT précoce, des acroparesthésies ou des douleurs abdominales résistantes aux antalgiques sont considérées comme une atteinte organique précoce de la maladie et indiquent une prise en charge thérapeutique spécifique. Une IRM cérébrale est recommandée en complément pour rechercher des anomalies silencieuses. Sur le plan rénal, une microalbuminurie (ou un rapport microalbuminurie/créatininurie > 30) est considérée comme une atteinte rénale débutante.
D’un point de vue cardiaque, il peut s’agir de différentes anomalies :
- ECG : PR court, anomalies de la repolarisation, HVG électrique, troubles de la conduction (plus souvent tardifs dans l’évolution de la maladie) ;
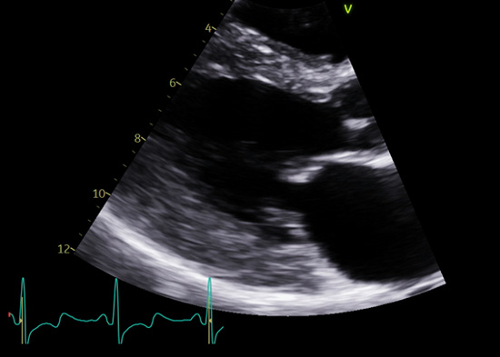
- Échocardiographiques : une hypertrophie VG (≥11-12 mm) (Figure 1) éventuellement associée à une hypertrophie VD, un strain longitudinal abaissé typiquement notamment en inféro-latéral dans les stades précoces (Figure 2). L’hypertrophie est généralement plutôt concentrique, mais parfois, elle prédomine en latéral ou en septal, et parfois, l’atteinte peut être une CMH apicale, et plus exceptionnellement une dilatation ventriculaire (CMD) ou une hypertrabéculation VG excessive (non compaction). Généralement, la FEVG est préservée. On peut observer une dysfonction diastolique, une élévation des pressions, des valvulopathies modérées ;
Figure 1 : hypertrophie ventriculaire gauche concentrique modérée (13,5 mm en latéral) en échocardiographie en cas de maladie de Fabry chez une femme âgée de 40 ans
Figure 2 : anomalies du strain longitudinal typiquement abaissé en latéral initialement dans la maladie de Fabry
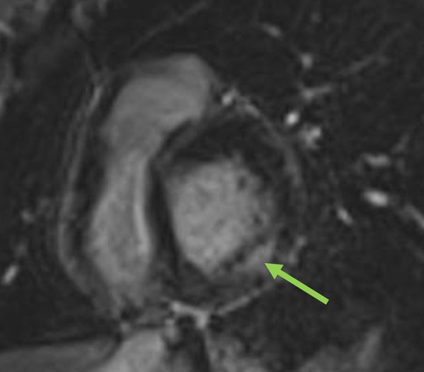
- IRM cardiaque : une hypertrophie biventriculaire, la présence de fibrose myocardique mésomyocardique inféro-latérale basale (Figure 3) mais plus précocement encore on peut simplement observer un abaissement du signal T1 sur les cartographies myocardiques < 950 ms (et parfois une élévation du T2). À noter que, chez la femme tout particulièrement, la fibrose myocardique (RT) peut précéder l’hypertrophie VG dans 40 à 50 % des cas, d’où l’importance de sa réalisation avec injection et des cartographies de mapping T1 (et T2) systématiques. L’aorte initiale peut être dilatée du fait de la maladie ;
Figure 3 : présence de fibrose myocardique mésomyocardique inféro-latérale typiquement observée en IRM cardiaque (10 min après injection de Gadolinium) dans la maladie de Fabry,
ici chez une femme Fabry avec HVG mesurée à seulement 11-12 mm
- Biomarqueurs : une élévation du NT-proBNP ou de la troponinémie ultrasensible peuvent être révélatrices également et conforter l’hypothèse d’une atteinte cardiaque débutante.
Conclusion
En résumé, l’atteinte cardiaque initiale de la maladie de Fabry chez la femme est possible, souvent plus atypique que chez l’homme ; l’HVG est inconstante malgré la présence d’une atteinte cardiaque (fibrose, surcharge lipidique myocardique), qui doit être recherchée en IRM et par une évaluation globale très complète dans un centre expert, car il s’agit d’une maladie rare de pronostic sévère qui peut être freinée par un traitement spécifique à condition de le débuter le plus précocement possible.
Références
- PNDS Fabry Protocole National de Diagnostic et de Soins (PNDS) sur la maladie de Fabry, 2021, lien : https://www.has-sante.fr/upload/docs/application/pdf/2021-11/pnds_de_la_maladie_de_fabry_-_version_finale_-_20211115.pdf
- Seydelmann N, Wanner C, Störk S, Ertl G, Weidemann F. Fabry disease and the heart. Best Pract Res Clin Endocrinol Metab. 2015;29:195-204. doi: 10.1016/j.beem.2014.10.003. Epub 2014 Oct 16. PMID: 25987173Linhart A et al., Eur Heart J 2007;28:1228-35
- Linhart A, Kampmann C, Zamorano JL, Sunder-Plassmann G, Beck M, Mehta A, Elliott PM; European FOS Investigators. Cardiac manifestations of Anderson-Fabry disease: results from the international Fabry outcome survey. Eur Heart J. 2007;28:1228-35. doi: 10.1093/eurheartj/ehm153. Epub 2007 May 5. PMID: 17483538
- Weidemann F, Breunig F, Beer M, Sandstede J, Störk S, Voelker W, Ertl G, Knoll A, Wanner C, Strotmann JM. The variation of morphological and functional cardiac manifestation in Fabry disease: potential implications for the time course of the disease. Eur Heart J. 2005;26:1221-7. doi: 10.1093/eurheartj/ehi143. Epub 2005 Feb 23. PMID: 15728649
- Baig S, Edward NC, Kotecha D, Liu B, Nordin S, Kozor R, Moon JC, Geberhiwot T, Steeds RP. Ventricular arrhythmia and sudden cardiac death in Fabry disease: a systematic review of risk factors in clinical practice. Europace. 2018;20(FI2):f153-f161. doi: 10.1093/europace/eux261. PMID: 29045633
- Hagège A, Réant P, Habib G, Damy T, Barone-Rochette G, Soulat G, Donal E, Germain DP. Fabry disease in cardiology practice: Literature review and expert point of view. Arch Cardiovasc Dis. 2019;112:278-287. doi: 10.1016/j.acvd.2019.01.002. Epub 2019 Feb 28. PMID: 30826269
- Liu D, Oder D, Salinger T, Hu K, Müntze J, Weidemann F, Herrmann S, Ertl G, Wanner C, Frantz S, Störk S, Nordbeck P. Association and diagnostic utility of diastolic dysfunction and myocardial fibrosis in patients with Fabry disease. Open Heart. 2018;5:e000803. doi: 10.1136/openhrt-2018-000803. eCollection 2018. PMID: 30018776
- Niemann M, Herrmann S, Hu K, Breunig F, Strotmann J, Beer M, Machann W, Voelker W, Ertl G, Wanner C, Weidemann F. Differences in Fabry cardiomyopathy between female and male patients: consequences for diagnostic assessment. JACC Cardiovasc Imaging. 2011;4:592-601. doi: 10.1016/j.jcmg.2011.01.020. PMID: 21679893
- Nordin S, Kozor R, Medina-Menacho K, Abdel-Gadir A, Baig S, Sado DM, Lobascio I, Murphy E, Lachmann RH, Mehta A, Edwards NC, Ramaswami U, Steeds RP, Hughes D, Moon JC. Proposed Stages of Myocardial Phenotype Development in Fabry Disease. JACC Cardiovasc Imaging. 2019 (8 Pt 2):1673-1683. doi: 10.1016/j.jcmg.2018.03.020. Epub 2018 May 16. PMID: 29778854
- Germain DP, Altarescu G, Barriales-Villa R, Mignani R, Pawlaczyk K, Pieruzzi F, Terryn W, Vujkovac B, Ortiz A. An expert consensus on practical clinical recommendations and guidance for patients with classic Fabry disease. Mol Genet Metab. 2022;137:49-61. doi: 10.1016/j.ymgme.2022.07.010. Online ahead of print. PMID: 35926321 Review
- Réant P, Testet E, Reynaud A, Bourque C, Michaud M, Rooryck C, Goizet C, Lacombe D, de-Précigout V, Peyrou J, Cochet H, Lafitte S. Characterization of Fabry Disease cardiac involvement according to longitudinal strain, cardiometabolic exercise test, and T1 mapping. Int J Cardiovasc Imaging. 2020;36:1333-1342. doi: 10.1007/s10554-020-01823-7. Epub 2020 May 8. PMID: 32385539
Retrouvez l'intégralité du dossier spécial "Coeur et femmes"
Ce contenu vous est proposé avec le soutien institutionnel d'Organon et de Sanofi, particulièrement impliqués dans la cardiologie au féminin.
Cliquez sur les logos de nos partenaires pour en savoir plus !
Dans la même thématique
Articles les plus lus
Dépistage et évaluation de la neuropathie amyloïde familiale à transthyrétine
Publié le 25 octobre 2023
Traiter les conséquences cardiologiques des amyloses
Publié le mercredi 25 octobre 2023
Cardiopathie amyloïde : les sujets âgés particulièrement concernés
Publié le jeudi 9 novembre 2023
Prise en charge thérapeutique de la neuropathie amyloïde familiale à transthyrétine
Publié le mercredi 25 octobre 2023



