4 minutes de lecture
Une amylose AL précoce
Publié le lundi 8 janvier 2024
Dr Théo Laroche
CHU de Toulouse - Rangueil
Analysez, étape par étape, le cas de ce patient, sportif professionnel de 36 ans, qui présente une intolérance respiratoire à l'effort, avant de statuer sur son diagnostic !
Présentation du cas
Monsieur X., patient âgé de 36 ans, sportif professionnel dans le domaine du trail (>15h de sport et 150 km/ semaine), présente une intolérance respiratoire à l’effort à plus de 2 mois d’une infection à Covid-19.
Il consulte le service de médecine du sport en raison d’une baisse de ses performances sportives ...
Les symptômes sont donc représentés par une baisse de ses performances en endurance, avec intolérance respiratoire (toux, fatigue).
Initialement attribué à une infection virale à Covid-19, survenue il y a maintenant 2 mois.
- Pas d’antécédents notables
- Pas de facteurs de risques cardiovasculaires personnels ou familiaux
- Examen clinique sans particularité, BDC réguliers sans souffle perçu, auscultation pulmonaire normale
➔ Décision d’une épreuve d’effort couplée à l’étude des échanges gazeux
VO2 max
- Spirométrie dans les limites de la normale
- Epreuve d’effort maximale menée sur tapis roulant, vitesse max soutenue 18 km/h ; FC max 170 bpm soit 92 % FMT ; réponse tensionnelle adaptée
- VO2 pic 47 ml/min/kg soit 128 % de la théorique
- Cinétique du pouls d’O2 peu ascendante, stagnant dès le 1er seuil ventilatoire, 21 mL/batts soit 120 % théorique
- ECG à acmé de l’effort retrouvant une extrasystolie ventriculaire polymorphe retard gauche et retard droit, trigéminisme, un triplet en récupération active ; sous décalage latéral supra-millimétrique ascendant
Figure 1 : résultats VO2 max
Deux hypothèses :
- Limitation ventilatoire dans les suites de son infection à Covid-19 « long » ?
- Origine cardiaque ? Possible myocardite post virale ou autre cardiopathie sous-jacente ?
➔ Orientation vers un cardiologue pour bilan cardiovasculaire
Figure 2
Figure 3
Bilan cardiovasculaire CH périphérique
- ECG : RSR normocarde normoaxé. PR normal, aspect de BBD incomplet. Sus ST millimétrique V1/V2 aspécifique, HVG électrique et pseudo onde Q de nécrose
- ETT : HVG concentrique septum 13 mm, FEVG conservée sans anomalie segmentaire ; pas de valvulopathie mitro-aortique, VD normal, pas d’HTAP
- Holter ECG : 1 salve de TVNS 4 complexes, extrasystolie ventriculaire avec doublets/ triplets
- Coroscanner : Etat coronarien sain, réseau non calcifié
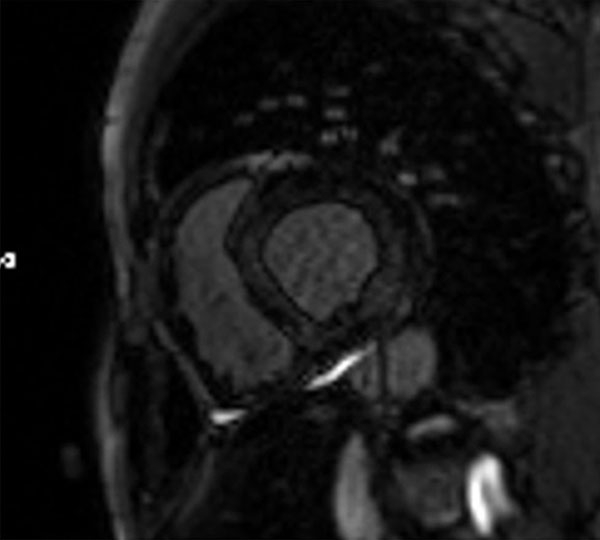
- IRM myocardique : Cardiopathie hypertrophique gauche à prédominance septale. SIV 14 mm et PPVG 12 mm ; masse 106 mg/m² non dilaté 88 mL/m². Pas d’anomalie VD
➔ Anomalie claire gadolinium patchy diffuse intra-myocardique, évoquant fibrose assez étendue diffuse non systématisée à un territoire coronaire
Figure 4
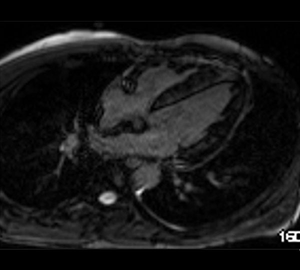
Figures 5 et 6 : temps de rehaussements tardifs à l’IRM
Figure 5
Figure 6
Diagnostic final
Hospitalisation rapide en centre expert cardiomyopathie CHU Rangueil :
ETT :
- Hypertrophie ventriculaire gauche à prédominance septale (SIVd 12 mm, PPVG 12 mm) sans obstruction de repos, de fonction systolique conservée à 60 % en Simpson biplan. Cinétique homogène, SLG altéré à - 16 % en cocarde
- Profil mitral restrictif
- VD fin de bonne fonction longitudinale
- Pas de dilatation du massif atrial
- Pas de valvulopathie mitroaortique significative. Aorte ascendante non dilatée
- Veine cave inférieure fine respirante. Péricarde sec
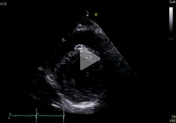
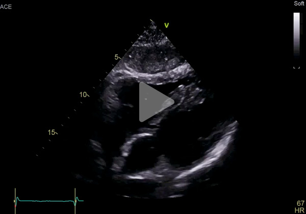
Vidéo 1 : PSGA
Vidéo 2 : PSPA
Vidéo 3 : 4 cavités
Vidéo 4 : Sous costale
Figure 7 : E' latéral 7,8
Figure 8 : profil mitral type 3
Figure 9
Biologie
- Troponinémie 38 ng/l, NT pro BNP 708 pg/mL
- Ferritinémie normale, Alpha-galactosidase négative
- EPS : Hypogammaglobulinémie modérée avec présence de chaines légères libre monoclonales Lambda à l’immunofixation sans pic à l’EPP
- Chaines lambda libres de départ 231 mg/l, avec ratio Kappa/ Lambda 0,06
- Protéinurie 0,46 g/g avec fonction rénale normale
- Myélogramme 4 % de plasmocytes
- BGSA : Dépôts extracellulaires, éosinophiles, coloré par le Rouge Congo avec une biréfringence jaune/ vert en lumière polarisé. Immunofluorescence Kappa + Lambda +++. Typage par immunomarquage en faveur d’une amylose AL lambda
Traitement et gestion réels du cas
- Présenté en RCP d’hématologie pour discuter d’une prise en charge par chimiothérapie urgente
- Thérapie initiée 6 cycles DARATUMUMAB – VELCADE CYCLOPHOSPHAMIDE DEXAMETHASONE, en néphrologie.
- Très bonne réponse biologique initiale, après 1 cure CL Lambda libres 8,33 mg/l contre 200 mg/l avant première injection.
- Rémission biologique totale, chimiothérapie de de clôture par DARA-VD 2 cycles.
- Nouvelle visite de contrôle médecine du sport avec une épreuve d’effort avec étude des échanges gazeux pour une reprise progressive de sa pratique sportive
- Une IRM de contrôle sans réversibilité de l’hypertrophie VG, légère dégradation FEVG 48 %, pas d’évolution de la fibrose
Discussion
- Ne jamais différer un diagnostic d’Amylose AL, simple à éliminer avec une biologie, véritable urgence diagnostique et thérapeutique.
- Un diagnostic extrêmement précoce, grâce à un suivi rapproché de ses performances, ayant permis une prise en charge rapide devant une maladie au pronostic effroyable.
- IRM myocardique ➔ Mauvaise qualité due à l’atteinte myocardique amyloïde diffuse rendant du fait de l’absence de myocarde sain, difficile le réglage du temps d’inversion pour l’obtention de rehaussements tardifs exploitables.
- Un intérêt pour la VO2 max grandissant concernant l’exploration des symptômes !
Conclusion
- Une Amylose AL dépistée sur une VO2 max pathologique, une prise en charge efficace avec une communication rapide CH périphérique/ CHU, entre néphrologues, hématologues et cardiologue
- Pronostic transformé ces dernières années avec l’apparition d’une thérapie ciblée par Daratumumab.
- Traitement lui-même cardiotoxique, nécessitant une coordination entre hématologue et cardiologue, apparition nécessaire de services hybrides pour réalisation de chimiothérapie avec monitoring en milieu spécialisé dans les centres de référence.
- Equipe pluridisciplinaire ++ d’autant plus que l’amylose AL est une maladie systémique avec atteintes possibles de plusieurs organes !
Références
1. 2023 ESC Guidelines for the management of cardiomyopathies, ESC Clinical Practice Guidelines
2. Bianchi G, Zhang Y, Comenzo RL. AL Amyloidosis: Current Chemotherapy and Immune Therapy Treatment Strategies: JACC: CardioOncology State-of-the-Art Review. JACC CardioOncol. oct 2021;3(4):467‑87
3. Villesuzanne C, Jaccard A, Nicol M. Amylose AL, du diagnostic au traitement [AL amyloidosis, from diagnosis to treatment]. Rev Prat. 2020 Dec;70(10):1137-1141. French. PMID: 33739663
Clause de non-responsabilité
Ce cas ne représente pas l’opinion de la SFC ni de Cardio-online, et n’engage pas leur responsabilité.
Articles les plus lus
Imagerie cardiaque : cas clinique "Attention infarctus du myocarde méchant !"
Publié le 23 octobre 2022
Imagerie cardiaque : cas clinique "Toutes les hypertrophies ventriculaires gauches ne se valent pas !"
Publié le mardi 26 juillet 2022













