5 minutes de lecture
Un gros cœur pas comme les autres
Publié le lundi 15 juillet 2024
Mr M, âgé de 61 ans, est hospitalisé en cardiologie pour dyspnée et altération de l’état général. Découvrez ses antécédents médicaux, résultats d'examens, le diagnostic et la manière dont son cas a été géré.
Contexte clinique
Enquête
Il a comme antécédents :
- Œdème de Quincke à l’AUGMENTIN
- Il n’a pas de facteurs de risque cardiovasculaires
- Ancien militaire, fraichement retraité
- Il dit être essoufflé depuis 2 mois dans les suites d’une infection à SARS Cov
- Aggravation de la dyspnée depuis quelques jours, NYHA 3
- Il présente une asthénie marquée, et n’arrive plus à sortir de son domicile
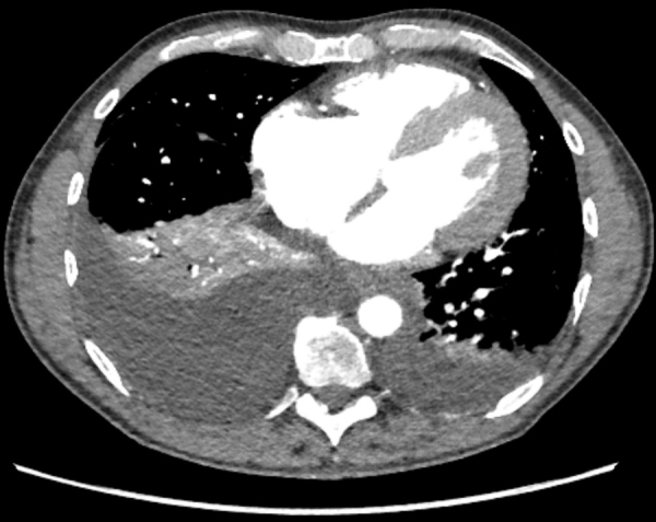
Scanner thoracique injecté en ville pour bilan de dyspnée : mise en évidence d’une cardiomégalie, d’une HVG et des épanchements pleuraux bilatéraux (Figure1).
Examen clinique (Figure2) :
- Hémodynamique conservée
- Décompensation cardiaque globale à prédominance gauche
- Macroglossie
- Perte du goût et de l’appétit
Figure 1 : scanner thoracique
Figure 2 : examen clinique
L’ECG
Rythme sinusal, onde Q en antéro-septal, repolarisation plate, microvoltage périphérique (Figure3).
Biologie :
- Hb 12.9 g/dl
- Plaquettes 120 G/L
- Créatinine 107 mol/l (DFG 34 ml/min/m²), urée 10 nmmol/l
- Na 129 mmol/l
- Nt pro BNP 20 000 ng/l
- Troponine 120 ng/l puis 143 ng/l (Norme < 14 ng/l)
Figure 3 : ECG
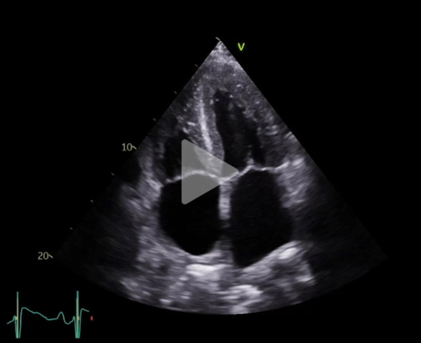
Vidéo 1
Figure 4
Vidéo 2
Vidéo 3
Figure 5
Figure 6
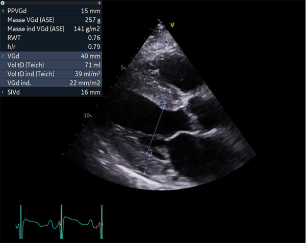
FEVG 40% en Simpson biplan, 45-50% visuellement. GLS -7%. Hypokinésie des bases et hyperkinésie de l'apex. VG non dilaté (DTDVG = 35mm, VTDVG =54ml/m2), hypertrophié (SIV = 18.5mm, PPVG = 19mm).
- DC = 3l/min, IC = 1.6l/min/m2 avec CCVG = 21mm et ITV sous Ao = 8cm
- OG dilatée à 40mL/m² (21cm2). OD dilatée à 19cm2
- Valve aortique tricommissurale, fine, pas de sténose ou fuite. Valve mitrale épaissie, pas sténose ou fuite
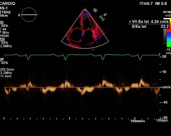
- Profil mitral restrictif, pressions de remplissage VG élevées (E/A =2.6, E/e’ moy = 22)
- Cavités droites non dilatées (Anneau tric =35mm)
- Fonction VD altérée (TAPSE = 7.7mm, S tric = 5.9cm/s)
- PAPS estimée sur IT modérée à 30 + 15mmHg (TAP 82ms)
- VCI dilatée ( 22mm), non compliante
- Lame péricardique minime
Vidéo 4
Figure 7
Vidéo 5
Une coronarographie est réalisée devant la cinétique de troponine, la dysfonction VG et les anomalies ECG : Normale
Diagnostic final
Pour étayer le diagnostic les examens suivants ont été réalisés :
- Scintigraphie osseuse
- Dosage chaines légères, et électrophorèse des protéines plasmatiques
Scintigraphie osseuse
Figure 8 : score de PERUGUINI : 0 - Scintigraphie normale
Electrophorèse des protéines plasmatiques : Hypogammaglobulinémie 6 g/l.
Dosage des chaines légères libres sériques : Lambda 239 mg/l (N : 5,7-26,3), Kappa 12 mg/l (N : 3,3-19,4), Chaines Kappa/Lambda 0.05 (norme 0.26-1.65).
Protéinurie sur 24h : 0,9 g/l, protéinurie à chaines légères lambda.
Biopsie des glandes salivaires retrouvant des dépôts amyloïdes sans typage possible.
Nouvelle biopsie des glandes salivaires normale.
Myélogramme : 14% plasmocytes atypiques clonaux, chaines légères lambda.
Le diagnostic évoqué :
- Myélome à chaines légères
- Très probable Amylose AL cardiaque
Devant l’absence de preuve histologique, réalisation d’une biopsie myocardique, retrouvant un aspect compatible avec une amylose AL de monotypie Lambda.
Myélome à chaines légères Lambda compliqué d’une amylose AL stade 3.
Traitement
RCP d’hématologie : indication à un traitement par chimiothérapie comportant DARATUMUMAB, VELCADE, ENDOXAN à J1, J8, J15, J22 (cycle de 28 jours) et surveillance chaines légères.
Dégradation après la première cure de chimiothérapie, avec décompensation cardiaque. Mauvaise réponse aux diurétiques, et apparition d’une défaillance hémodynamique avec un foie cardiaque.
Initiation d’un traitement par Dobutamine et Noradrénaline, permettant une déplétion efficace. Sevrage des amines 6 jours plus tard.
Poursuite de la chimiothérapie.
Initiation d’un bilan pré transplantation :
- Insuffisance rénale : créatinine jusqu’à 168 umol/l
Cathétérisme cardiaque droit :
- HTAP post capillaire : AP (s/d-m) 33/21-25 mmHg, Pcap moy 24mmHg
- POD (a/v-moy) 17/14 – 16 mmHg
- Résistance vasculaires pulmonaires 0,5 UI Wood
- Bas débit cardiaque (DC 2L/min, 1,1 L/min/m2)
- SVO2 44% diminuée
Bonne réponse à la chimiothérapie, avec diminution des chaines légères sous chimiothérapie :
- J2 : Kappa 8,23 mg/l et Lambda 150,44 mg/l, K/L 0,05
- J28 : Kappa 6,1 mg/l, Lambda 42,04 mg/l, K/L 0,15
Staff de néphrologie ne posant pas l’indication à une transplantation rénale combinée.
Inscription sur liste de greffe
Transplantation 15 jours plus tard :
- La greffe a été réalisée sans induction mono ou polyclonale en raison du risque infectieux et de la fragilité du patient
- Insuffisance rénale aigue post greffe, ayant nécessité une épuration extra-rénale durant 48h
- Il est sorti d’hospitalisation 30 jours après la greffe en SSR rééducation cardiaque
- Poursuite de la chimiothérapie avec une bonne réponse hématologique
- Depuis 1 an, la surveillance rapprochée n’a pas montré de rejet. Il a été hospitalisé pour une réactivation CMV
Discussion
L’amylose AL est une pathologie complexe, avec atteinte multi-organe nécessitant une discussion multi-disciplinaire pour la prise en charge.
Le pronostic de l’amylose AL est sombre. La mortalité est supérieure à 50%/an suivant la première décompensation cardiaque.
Il faut prendre en compte en cas de discussion de transplantation :
- du risque infectieux (immunodépression par hypogammaglobulinémie)
- de l’état hémodynamique
- de la réversibilité de l’atteinte cardiaque sous traitement. A-t-on le temps d’attendre la réversibilité ? (La réversibilité peut être longue)
- de la réponse à la chimiothérapie et la cinétique des chaines légères
La transplantation peut être envisagée en l’absence d’autre atteinte d’organe. Une transplantation combinée cœur/rein peut être envisagée.
Dans ce cas décision de transplantation devant :
- Bas débit cardiaque
- Surcharge hydrosodée (Hyponatrémie, syndrome cardio-rénal) ne répondant pas à de fortes doses de diurétiques
- Le pronostic était engagé à court terme
Guendouz S. et al. ont montré dans une étude rétrospective publiée en 2023, une survie de 70% a 1 an et 65% à 2 ans post transplantation cardiaque pour atteinte amyloïde AL. Ces résultats sont comparables à la survie des transplantés sans amylose.
Dans la littérature, la survie médiane post transplantation dans l’amylose AL est évaluée à 10,2 ans (contre 12,5 ans post transplantation en l’absence d’amylose).
Conclusion
Devant un aspect d’amylose, il est indispensable de différencier l’amylose AL et l’amylose à TTR.
L’amylose AL est une urgence diagnostique et thérapeutique, avec un pronostic sombre.
L’atteinte peut être multi-organes et il faut savoir la rechercher.
Il est nécessaire d’évaluer rapidement la gravité et d’évoquer la transplantation en cas d’atteinte cardiaque sévère.
Une discussion pluridisciplinaire est indispensable.
Ce cas ne représente pas l’opinion de la SFC ni de Cardio-online, et n’engage pas leur responsabilité.
Articles les plus lus
Imagerie cardiaque : cas clinique "Attention infarctus du myocarde méchant !"
Publié le 23 octobre 2022
Imagerie cardiaque : cas clinique "Toutes les hypertrophies ventriculaires gauches ne se valent pas !"
Publié le mardi 26 juillet 2022













