3 minutes de lecture
Partie de flipper dans l’oreillette
Publié le lundi 8 janvier 2024
Dr Romain Didier
CHU Dijon
Dr Jean-Christophe Eicher
CHU Dijon
Analysez, étape par étape, le cas de cette patiente de 80 ans admise aux urgences de son hôpital initialement pour des douleurs thoraciques et dyspnée, avant de découvrir le diagnostic posé !
Contexte clinique
Présentation du cas
Mme T., 80 ans
29/06/2022 : adressée au Centre de Compétences Cardiomyopathies pour bilan de CMH
Anamnèse:
- 2008 : coronarographie diagnostique pour troubles de la repolarisation ECG : normale
- 1er AVC ischémique en 2012 sur FA paroxystique, Traitement par warfarine
- Récidive d’AVC en 2017, FA permanente, INR infra-thérapeutiques
- Ischémie subaiguë du membre inférieur droit en 2018 suite à un arrêt des anticoagulants en raison d’une hémorragie digestive haute
- Échocardiogramme : hypertrophie septale à 21 mm, découverte d’une akinésie apicale
- Infarctus splénique et rénal droit en 2021 découverts suite à des douleurs abdominales
- Bilan d’amylose (scintigraphie aux diphosphonates et recherche de gammapathie monoclonale) négatif
- Mise sous Rivaroxaban
- Récidive d'AVC ischémique en janvier 2022
- ETO : thrombus auricule gauche
- IRM : séquelle d'infarctus apical associée à une hypertrophie myocardique prédominant au niveau du septum médian, à une dilatation bi-atriale majeure, et présence d'un thrombus dans l'auricule gauche et au sein de l'anévrisme apical
- Traitement de sortie : warfarine + aspirine
Électrocardiogramme
Figure 1 : VASALVA
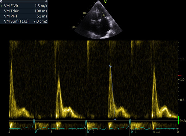
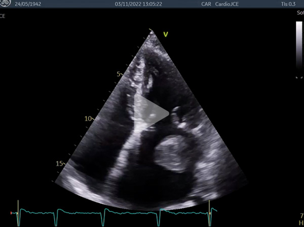
Échocardiographie
Figure 2 : profil restrictif, onde L
Figure 3 : altération du strain basal dyskinésie apicale
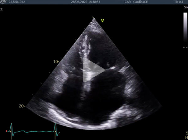
Vidéo 1 : HVG concentrique, petite cavité VG, dilatation biatriale sévère
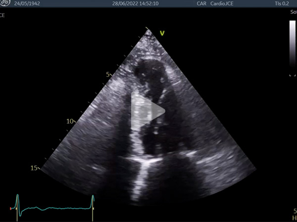
Vidéo 2 : anévrysme apical
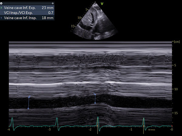
Figure 4 : VCI dilatée non compliante
Diagnostic final
Les hypothèses :
Cardiomyopathie restrictive et séquelle d’infarctus :
Hypothèse la plus probable
- Phénotype typique : petite cavité VG, hypertrophie modérée, dilatation OG sévère, profil mitral, VCI dilatée
- Accidents emboliques artériels multiples évoquant une possible embolie coronaire
Cardiomyopathie hypertrophique apicale compliquée d’anévrysme apical :
Possible:
- Apex difficile à visualiser dans les incidences conventionnelles, notion de troubles de la repolarisation ayant motivé une coronarographie : une CMH apicale a pu être méconnu
Mais moins probable:
- Anévrysmes apicaux décrits dans les CMH, mais généralement associés à des obstructions médio-ventriculaires 1
- ECG peu évocateur
- Encore une fois l’aspect écho est typique d’une CMR
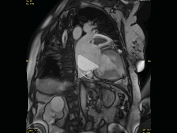
A. ciné-IRM
Vidéos 3 et 4 : Petite cavité VG, oreillettes dilatées - Anévrysme apical - Thrombus apex et auricule
Vidéo 3
Vidéo 4
B : post-gadolinium
Figure 5 : réhaussement tardif transmural apical et sous-endocardique latéral
C : T1 mapping
Figure 6 : T1 natif légèrement augmenté dans le septum et la paroi latérale (fibrose)
Figure 7 : T1 post-contraste diminué à l’apex (nécrose)
Résultats de l'analyse génétique du 28/06/2022
- Variant pathogène (c.772G>A) au sein du gène MYBPC3
13/10/2022 admission aux urgences de son hôpital d’origine pour douleurs thoraciques et dyspnée
- ECBU positif à Proteus Mirabilis, mise en route d’un traitement par Cefixime
- INR à 4 motivant la baisse de la dose d’AVK
- Transfert dans le service de cardiologie local, constatation d’un INR à 1,4
- Échocardiogramme transthoracique : volumineux thrombus de 40 mm de diamètre au toit de l’OG
- Patiente mise sous héparine intraveineuse et transférée au CHU
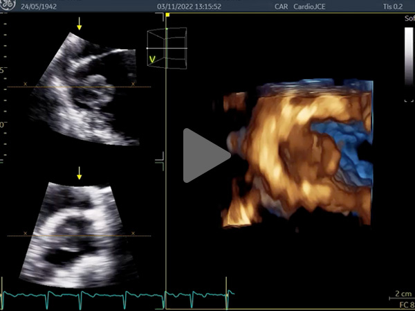
Images supplémentaires
Vidéos 5 à 7 et figure 9 : Masse arrondie de 43 mm de diamètre flottant librement dans l’oreillette gauche avec enclavement périodique dans l’orifice mitral : « ball thrombus »
Vidéo 5
Vidéo 6
Vidéo 7
Figure 8
Traitement et gestion réels du cas
- Extraction chirurgicale
- Ligature de l’auricule et résection de l’anévrysme apical
Figure 9 : ball thrombus
Figure 10 : thrombus auricule
Courtesy of Pr. Olivier BOUCHOT
Discussion et conclusion :
Le « ball thrombus », ou « free floating thrombus » :
- Forme rare, souvent rapportée dans un contexte de RM ou prothèse mitrale avec fibrillation atriale permanente
- Seulement 3 cas associés à une cardiomyopathie hypertrophique ou restrictive sans pathologie mitrale ont été rapportés dans la littérature 1
- Taille moyenne dans la littérature (40 mm)
- Mouvement tournoyant et les collisions avec la valve expliquent probablement l’acquisition d’une forme sphérique
Les mutations sarcomériques (MYBPC3 dans ce cas) :
- Cardiomyopathies de phénotypes différents : hypertrophique le plus souvent, mais aussi restrictive. Frontières entre les différentes formes de cardiomyopathies 2
L’anévrysme apical : complication possible des CMH avec obstruction médio-ventriculaire ou apicale, associé à un risque élevé de mort subite rythmique et évènements thrombo-emboliques 3 :
- Dans notre cas l’hypothèse d’une embolie coronaire, en l’absence de notion d’obstruction ou de souffle
Multiplicité des épisodes emboliques et des territoires impliqués + 2 sites de thrombose, l’auricule, et l’apex ventriculaire :
- La résection chirurgicale de ces sites était la seule décision logique malgré l’âge, avec des suites heureusement simples
Références
1. Karim F, Sharma P, Bahl A. Left atrial ball valve thrombus in restrictive cardiomyopathy and normal mitral valve: Loose cannon in heart. Indian Heart J. 2015 Dec; 67 Suppl 2:S58-612. Olivotto I, d’Amati G, Basso C, Van Rossum A, Patten M, Emdin M, Pinto Y, Tomberli B, Camici PG, Michels M. Defining phenotypes and disease progression in sarcomeric cardiomyopathies: contemporary role of clinical investigations. Cardiovasc Research 2015; 105:409–423 3. Rowin EJ, Maron BJ, Haas TS, Garberich RF, Wang W, Link MS, Maron MS. Hypertrophic Cardiomyopathy With Left Ventricular Apical Aneurysm: Implications for Risk Stratification and Management. J Am Coll Cardiol 2017; 69:761-773
Articles les plus lus
Imagerie cardiaque : cas clinique "Attention infarctus du myocarde méchant !"
Publié le 23 octobre 2022
Imagerie cardiaque : cas clinique "Toutes les hypertrophies ventriculaires gauches ne se valent pas !"
Publié le mardi 26 juillet 2022


















