5 minutes de lecture
Le mystérieux
Publié le jeudi 11 janvier 2024
Dr Chahreddine Hadjseyd
Service SICAT
Hospices Civils de Lyon
Monsieur B âgé de 73 ans se présente aux urgences cardiologiques en 2015 pour tableau de décompensation cardiaque globale associée à une tachycardie atriale.
Voyez au fil des étapes, le diagnostic posé et la prise en charge réalisée.
Présentation du cas
Contexte clinique
- Pas d’ATCD cardiovasculaires.
- Facteurs de risque cardiovasculaires : âge, sexe.
Enquête
Symptômes : Dyspnée stade IV NYHA, pas de douleur thoracique, palpitations, pas de syncope
Examen clinique :
- TA 110/70 mmhg Fc 120 bpm SAO2 91 % AA
- Crépitants au 1/3 inferieurs des deux champs pulmonaires, OMI bilatéraux prenant le godet
ECG d’admission : Tachycardie atriale à 130 bpm +HVG
ETT dans le cadre d’urgence : Dilatation biventriculaire, FEVG 25 % sur une hypokinésie diffuse, pas de valvulopathies significatives, péricarde libre
Patient stabilisé à USIC :
- Cardioversion faite à J3 avec retour en rythme sinusal
- Introduction du traitement de l’insuffisance cardiaque + lancement d’un bilan d’exploration ( coronarographie, ETT de contrôle, IRM cardiaque, bilan biologique et génétique )
ECG de contrôle post cardioversion
Figure 1
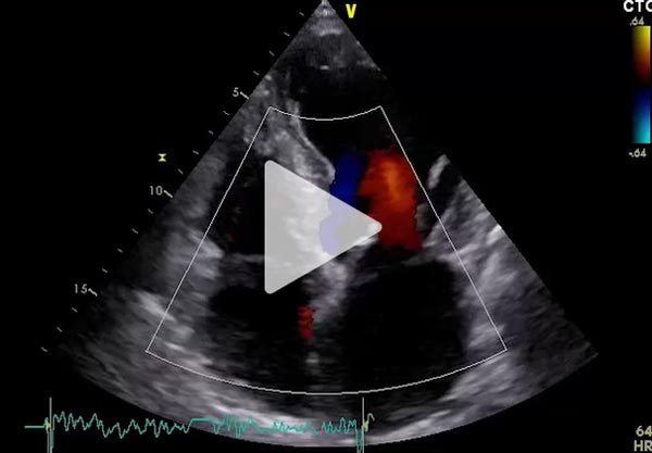
ETT de contrôle après cardioversion à USIC
- VG dilaté ( DTD 65 mm VTD 89 ml/m² ), hypertrophié ( SIV 14 mm PP 11 mm ),
- FEVG 33% en SP, hypokinésie diffuse plus marquée en antérieur et antérolatéral
- Débit cardiaque modérément abaissé
- IM modérée stable, pas de valvulopathie aortique significative
- Cavités droites dilatées normokinétiques
- PAPS 42 mmHg et POD 5mmHg
- Péricarde sec
Vidéo 1
Bilan biologique d’exploration
- Hb : 148 g/l
- NA : 141 mmol/l, K : 4,1 mmol/l, durée : 6 mmol/l, créat : 84 Mmol/l
- Troponine : 62 ng/l, BNP : 1162 ng/l, NTPROBNP : 7584 ng/l
- TSH : 1,9 mui/l, ferritinémie : 124 Mg/l
- Carnitine, selinium, vitamine B1 normales
- Pas de déficit en activité alpha-galactosidase A
- Bilan génétique en cours
Coronarographie diagnostic
Vidéo 2 : réseau coronaire gauche sans lésion significative
Vidéo 3 : coronaire droite sans lésion significative
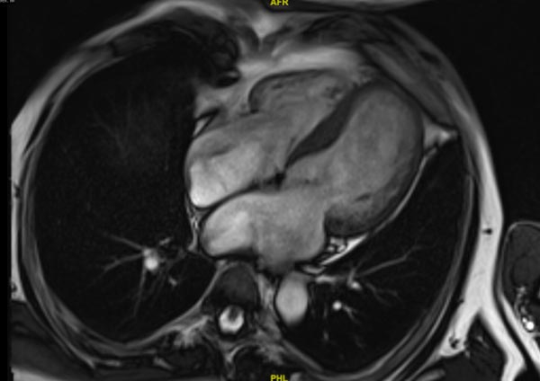
IRM cardiaque
- FEVG mesurée à 30 %.
- Les volumes indexés sont mesurés à 86 ml/m² en télédiastole et 62 ml/m² en télésystole
- Hypertrophie au niveau septale avec SIV à 13-14 mm
- L’étude de rehaussement tardif met en évidence une prise de contraste intra myocardique au niveau du septum
Figure 2
Vidéo 4 : Argus Ventricule gauche
Vidéo 5 : Ciné Truefisp 4 cavités
Vidéo 6 : Tfi Psir single shot 8sl petit axe Psir
Vidéo 7 : Tfi Psir single shot 8sl 4 cavités Psir
Diagnostic
Une discussion collégiale concernant le diagnostic et la suite de prise en charge a été faite en RCP et on a adopté le diagnostic de décompensation cardiomyopathie à coronaires saines associée à une tachycardie atriale, le patient est sortie sous traitement d’insuffisance cardiaque et suivi régulier tous les 6 mois.
L’évolution a été marquée par une amélioration FEVG, disparition des signe d’insuffisance cardiaque.
Ablation tachycardie atriale faite à 4 mois de la sortie.
Bilan de contrôle à 06 mois : NTPROBNP : 914 ng/l, créatinine : 105 Mmol/l.
- L’analyse génétique a mis en évidence une variation pathogène à l’état hétérozygote au niveau du gène MYBPC3.
ETT de contrôle à 6 mois
- VG dilaté (DTDVG 58mm, VTDVG 78mL/m²) hypertrophié ( SIV 14mm ), FEVG modérément altérée, SBP 42%
- Petite IM centrale, pas de valvulopathie aortique
- PRVG normales, profil mitral en trouble de relaxation onde E 0.4m/s
- OG sévèrement dilatée
- VD non dilaté normokinétique
- PAPS estimées à 25mmHg, POD basse VCI fine compliante
- Péricarde sec
Vidéo 8 : incidence apicale 4 Cavités
Vidéo 9 : incidence apicale 4 Cavités
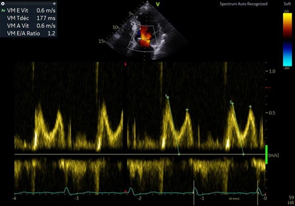
Figure 3 : profil mitral normal
Discussion
Cette variation du gène MYBPC3 est généralement associée au développement de cardiopathies hypertrophiques mais a déjà été décrite dans certaines cardiomyopathies dilatées.
Il ne s’agit donc pas d’une manifestation classique mais son caractère pathogène déjà authentifié permet de proposer un diagnostic pré-symptomatique chez les apparentés du premier degré.
Arguments pour absence de distinction
La prise en charge thérapeutique de la CMD et CMH en dysfonction VG systolique proposée dans les recommandations de l’ESC se rejoignent sous l’entête du traitement de l’insuffisance cardiaque.
Figure 4
Arguments pour la distinction entre les cardiomyopathies quelque soit la FEVG est importante dans les différents stades :
Dans la prise en charge
Dans le suivi de CMH sarcomérique : il est recommandé de prévoir un holter ECG de 48H à la recherche des troubles de rythme ou de conductions, il est aussi recommandé chez les patients symptomatiques de réaliser une échocardiographie d’effort.
Figure 5
Figure 6
Dans la stratification du risque rythmique
La stratification du risque rythmique est différente entre CMH sarcomérique et CMD, la pose de DAI pourrait être discutable dans le cas de notre patient si on avait initialement adopté le diagnostic de CMH sarcomérique.
Figure 7 : stratification du risque rythmique en cas de CMH sarcomérique
Figure 8 : stratification du risque rythmique en cas de CMD
Les recommandations concernant la pratique sportive sont aussi différentes entre les cardiomyopathies dilatées et cardiomyopathies hypertrophiques surtout concernant les sports de compétitions.
Patient suivi pendant 6 ans régulièrement tous les 6 mois sans aucune hospitalisation ni de décompensation jusqu’à janvier 2023, le patient consulte son médecin traitant qui l’oriente aux urgences cardiologiques.
L’examen clinique retrouve : une dyspnée stade III NYHA, pas de palpitations, vertiges, une syncope.
TA 98/60 mmhg Fc 55 bpm, SAO2 95% AA.
OMI prenant le godet.
Notion d’intolérance aux médicaments décrite par son médecin traitant et confirmée par le patient.
Évolution
La prise en charge du patient a été assurée au service d’insuffisance cardiaque avec diurétisation IV permettant l’amélioration clinique et la régression des signes de surcharges.
Une surveillance télémétrique objective un trouble conductif équivalent BAVc avec alternance entre BBG et BBD, l’indication de poser a un pacemaker a été retenue par les rythmologues.
Plusieurs tentatives pour la reprise du traitement cardiotropes même à des petites doses mais sans succès avec intolérance clinique type hypotension, vertiges et hypotension orthostatique.
Nouvelle découverte
Le patient a été stabilisé sur le plan insuffisance cardiaque.
Devant ce tableau on décide de lancer un bilan d’exploration d’amylose cardiaque :
Bilan immunologique négatif :
- Electrophorèse des protéines normale.
- Dosage des chaines légères sériques retrouve un Ratio Kappa/Lambda normale 2,4 dans un contexte d’insuffisance rénale.
- La recherche de la protéinurie de Bences Jones est négative.
ECG
Figure 9 : microvoltage périphérique non connue
Figure 10 : ancien ECG
Une nouvelle réévaluation écho cardiographique
- VG dilaté (DTD 62 mm VTD 89 ml/m²) hypertrophie SIV 15 mm
- FEVG altérée 20% ,SLG altérée -15% avec un gradient base-apex >1 et septum basal-apical > 2,1
- IM modérée
- Décollement péricardique minime en regard du VG
Vidéo 10
Figure 11 : SLG altérée -15% avec un gradient base-apex > 1 et septum basal-apical > 2,1
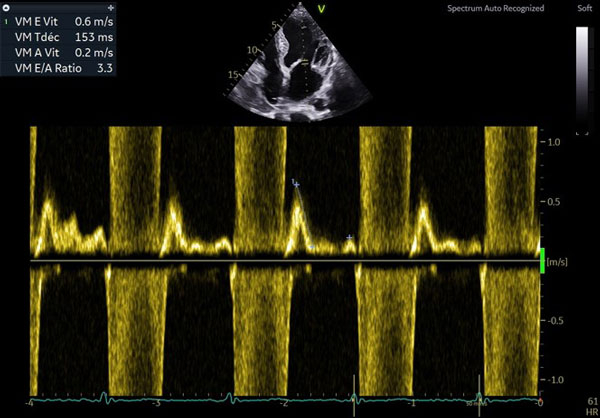
Figure 12 : profil mitral type III restrictif
Scintigraphie osseuse à la recherche d’amylose cardiaque
Figure 13 : hyperfixation cardiaque supérieure à la fixation costale avec score Perugini = 2
Conclusion
Le diagnostic et la prise en charge des cardiomyopathies surtout hypertrophiques est un grand chalenge qui nécessite plus d’investigations en cas de formes litigieuses et une réflexion minutieuse devant toute évolution atypique pouvant évoquer une infiltration amyloide.
Références
1. 2023 ESC Guidelines for the management of cardiomyopathies : Developed by the task force on the management of cardiomyopathies of the European Society of Cardiology (ESC)
2. Charron et aL ,Circulation 1998
Articles les plus lus
Imagerie cardiaque : cas clinique "Attention infarctus du myocarde méchant !"
Publié le 23 octobre 2022
Imagerie cardiaque : cas clinique "Une coronarographie surprenante"
Publié le dimanche 18 septembre 2022























