3 minutes de lecture
La peste et le choléra
Publié le lundi 15 juillet 2024
Justine FORT
Hôpital Louis Pradel - Lyon
Patient de 66 ans adressé par un cardiologue de ville pour bilan étiologique et génétique d’une CMH asymétrique avec troubles de conduction.
Contexte clinique
Enquête
Patient sans antécédent personnel en dehors d’une hypoacousie avec acouphènes non appareillée, sportif (8000 km de vélo/an). Mort subite à 78 ans de l’oncle maternel, sans autre antécédent familial.
Découverte fortuite en 2017 lors d’un certificat de non contre-indication à la pratique du sport d’une CMH asymétrique :
- IRM myocardique : FEVG 60%, épaisseur septale 17mm, absence de fibrose myocardique
- Coronarographie : athérome léger
- Biologie : Absence de gammapathie monoclonale
Décision de surveillance simple dans un premier temps.
Syncopes récidivantes à l’été 2021 avec troubles de conduction à l’ECG (BAV1 et HBAG)
Exploration électrophysiologique : intervalle HV normal, implantation Holter sous-cutanée.
Figure 1 : ECG
02/2023: Mise en évidence d’épisodes de FA persistante au Holter sous cutanée et de BAV 3 nocturne avec pauses > 6 secondes
- Implantation PM double chambre
- Introduction d’un traitement anticoagulant oral direct par APIXABAN
Prélèvement génétique :
- Mutation pathogène sur le gène MYBPC3
- Mutation de signification indéterminée sur le gène de l’alpha galactosidase
À ce stade pour différencier une origine sarcomérique d’une cardiopathie de Fabry, les examens à préconiser sont les suivants :
- Une IRM myocardique avec cartographie T1
- Un bilan biologique avec bilan rénal et dosage de l’activité enzymatique de l’alpha-galactosidase
Diagnostic final
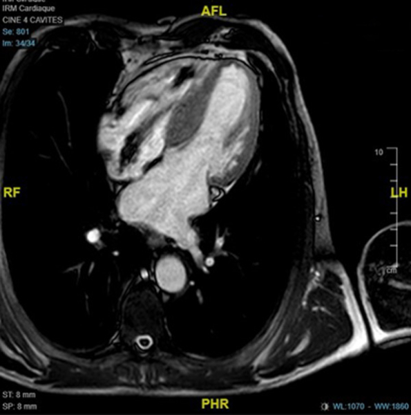
ETT
Figure 2
Vidéo 1
Figure 3
Figure 4
Conclusion de l'ETT :
- CMH asymétrique à prédominance septale (épaisseur maximale 19mm); FEVG préservée et cinétique homogène
- Accélération sous aortique, sans obstruction significative de repos; y compris après Valsalva
- Absence de valvulopathie significative, OG dilatée (56mL/m2); aorte non dilatée
- VD non dilaté, non hypertrophié, de bonne fonction systolique
Bilan biologique:
- Diminution de l’activité enzymatique de l’alpha galactosidase
- Augmentation modérée du Lyso-Gb3
- Nt pro BNP 472ng/L
Bilan néphrologique complet:
- DFG par la clairance de l’iohexol à 80mL/min/1,73m2
- Rapport protéinurie/créatininurie à 7,5mg/mmol (N<20)
- Rapport albuminurie/créatininurie à 0,57mg/mmol (N<3)
Scintigraphie osseuse :
- Score PERUGINI 0
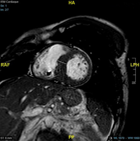
IRM
Figure 5
Figure 6
Figure 7
Figure 8 : Cartographie T1 N = 1000ms sur l’IRM 1,5 T
Conclusions de l’IRM :
- Cardiomyopathie hypertrophique asymétrique à prédominance septale (épaisseur maximale 19mm), sans atteinte VD
- Cinétique segmentaire homogène
- Zone de fibrose punctiforme inféro-septo-médiale isolée
- Absence d’allongement du T1
Traitement et gestion du cas
Diagnostic final retenu, après discussion en RCP spécialisée ++
CMH asymétrique sarcomérique devant :
- Hypertrophie à prédominance septale; avec zone de fibrose septale, altération du strain prédominant en septal
- Absence d’allongement du T1 en IRM
- Absence d’anomalie de cinétique/strain en territoire latéral (en ETT et en IRM)
- Absence d’atteinte rénale associée de la maladie de Fabry, en faveur d’une maladie peu sévère
Score HCM 1,7%, sans indication de défibrillateur en prévention primaire.
Pas d’indication retenue à une thérapie enzymatique substitutive dans un premier temps
Discussion
Diagnostic de Maladie de Fabry chez l’Homme (maladie liée à l’X) :
Dans un centre de compétence ++
- Dosage de l’activité enzymatique de l’alpha galactosidase
- Génotypage du gène GLA --> Indispensable au diagnostic. Intérêt pronostique, pour le conseil génétique/dépistage familial/database génétique, et thérapeutique (molécule chaperon)
Diagnostic retenu si :
- Diminution de l’activité enzymatique de l’alpha galactosidase (< 3% dans les formes classiques; entre 1 et 20% dans les formes plus tardives)
ET
- Mise en évidence d’un variant pathogène du gène GLA
NB: en cas de variant de signification indéterminée: RCP en centre de compétence
IRM myocardique dans la maladie de Fabry :
- Diminution du T1 (Seuil < 940 ms sur 1,5T) = Signe précoce (avant apparition HVG)
- HVG concentrique > HVG asymétrique, rarement obstructive; parfois HVD
- Dysfonction diastolique VG, précoce; dysfonction systolique VG tardive et plus rare
- Réhaussement tardif intra mural, segments basaux et médians latéraux avec épargne du septum interventriculaire; pseudo normalisation du T1 dans les zones fibrosées
- Possible élévation des valeurs de T2 (inflammation)
- Dilatation aorte thoracique ascendante associée fréquente
Conclusion
Intérêt de l’imagerie multimodalité (IRM ++) et de la génétique dans le diagnostic étiologique des CMH.
Collaboration indispensable avec les centres de compétence et laboratoires spécialisés.
Diagnostic de maladie de Fabry chez l’Homme qui repose sur le dosage sanguin de l’activité enzymatique de l’alpha-galacotosidase et le génotypage du gène GLA.
Racourcissement du T1 en IRM = signe précoce (parfois avant apparition de l’HVG) et évocateur de Maladie de Fabry.
En cas de mutation de signification indéterminée du gène GLA, discussion nécessaire en RCP spécialisée.
- Fabry disease, Germain DP. Orphanet J Rare Dis 2010;5:30 2. Identification and asPNDsessment of Anderson-Fabry disease by cardiovascular magnetic resonance noncontrast myocardial T1 mapping, Sado et al. Circ Cardiovasc Imaging. 2013 May 1;6(3):392-83. Protocole national de diagnostic et de soins PNDS Maladie de Fabry. Novembre 2010
Ce cas ne représente pas l’opinion de la SFC ni de Cardio-online, et n’engage pas leur responsabilité.
Articles les plus lus
Imagerie cardiaque : cas clinique "Attention infarctus du myocarde méchant !"
Publié le 23 octobre 2022
Imagerie cardiaque : cas clinique "Toutes les hypertrophies ventriculaires gauches ne se valent pas !"
Publié le mardi 26 juillet 2022









