5 minutes de lecture
Bilan d’HVG : et si ce n’était pas si simple que ça…
Publié le dimanche 16 avril 2023
Raphaël Mirailles
Interne de Cardiologie (Master 2 Imagerie)
Service de Cardiologie, CHU Lariboisière, APHP, Paris
Dr. Trecy Gonçalves
Cardiologue imageur
Service de Cardiologie et de Radiologie,
CHU Lariboisière, APHP, Paris
Dr. Théo Pezel
Cardiologue imageur
Service de Cardiologie et de Radiologie,
CHU Lariboisière, APHP, Paris
Imagerie cardiaque : cas cliniques en direct de Lariboisière
L'imagerie cardiovasculaire multimodale suscite votre intérêt ?
Étudiez, étape par étape, le cas d'un patient de 78 ans qui consulte aux urgences du CHU de Lariboisière, pour asthénie et dyspnée d’apparition progressive depuis 2 mois. Prononcez-vous avant de découvrir son diagnostic final !
Contexte clinique
Patient de 78 ans qui consulte aux urgences du CHU Lariboisière pour asthénie et dyspnée d’apparition progressive depuis 2 mois.
Il n’a aucun antécédent cardiovasculaire, en dehors de la pose d’un pacemaker pour dysfonction sinusale il y a quelques années.
À l’examen clinique, le patient présente des signes d’insuffisance cardiaque globale avec des crépitants aux bases et des œdèmes des membres inférieurs.
Son ECG d’entrée est en fibrillation atriale à 109 / min, avec un bloc de branche gauche.
Biologie :
- Hémoglobine = 14,2 g/dL
- NT-proBNP = 9 821 ng/L
- Créatininémie = 129 micromol/L
- Ionogramme sans particularité
- CRP négative
Le patient est hospitalisé en salle de cardiologie du CHU Lariboisière pour bilan et traitement par diurétiques.
Devant la visualisation d’une hypertrophie ventriculaire gauche à l’ETT, une IRM cardiaque est réalisée sur l’hospitalisation.
Résultats de l’IRM cardiaque
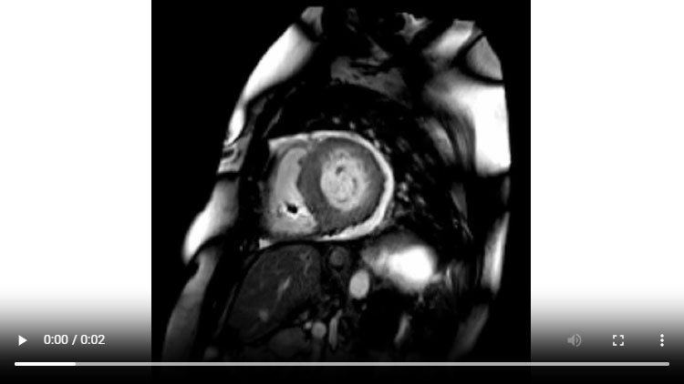
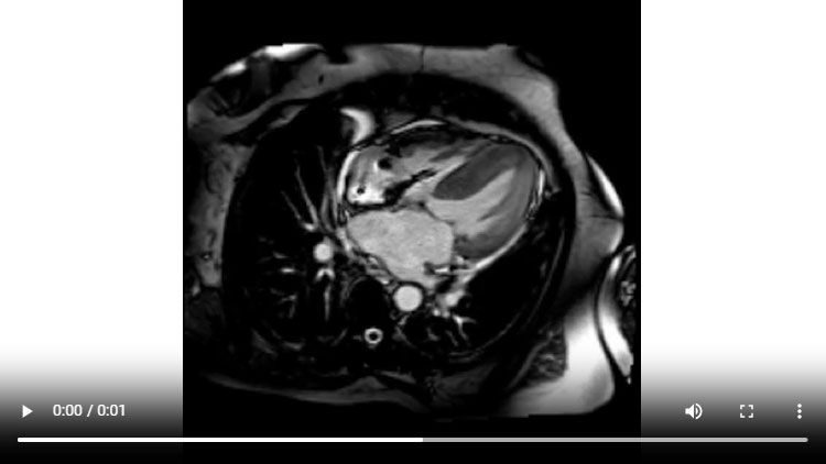
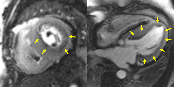
Figure 1A : Séquence Ciné-IRM - Coupes petit-axe basal
Figure 1B : Séquence Ciné-IRM - Coupes petit-axe médian
Figure 1C : Séquence Ciné-IRM - Coupes petit-axe apical
Figure 1D : Séquence Ciné-IRM - Coupes 2-cavités
Figure 1E : Séquence Ciné-IRM - Coupes 3-cavités
Figure 1F : Séquence Ciné-IRM - Coupes 4-cavités
Figure 2 : Cartographie T1 pré et post injection de gadolinium
Coupes petit-axe basal, médian et apical
La mesure de l’hématocrite permet de calculer la formule du volume extracellulaire (ECV) mesuré à 41 %.
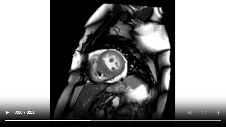
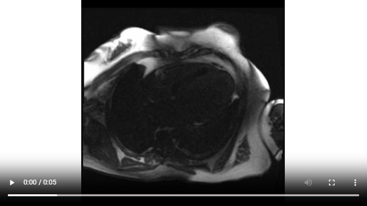
Figure 3A : Séquence de perfusion premier-passage au repos - Coupes petit-axe basal
Figure 3B : Séquence de perfusion premier-passage au repos - Coupes petit-axe médian
Figure 3C : Séquence de perfusion premier-passage au repos - Coupes petit-axe apical
Figure 3D : Séquence de perfusion premier-passage au repos - Coupes 2-cavités
Figure 3E : Séquence de perfusion premier-passage au repos - Coupes 4-cavités
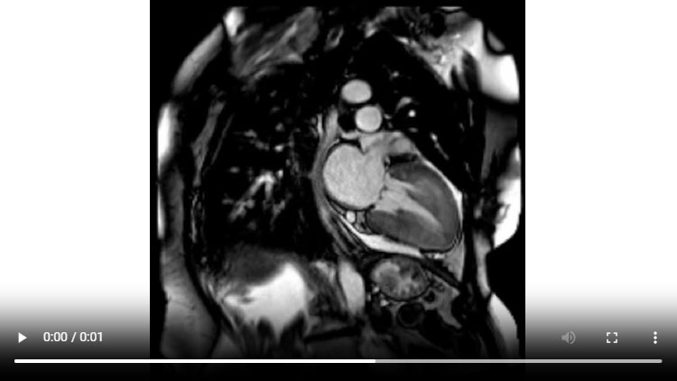
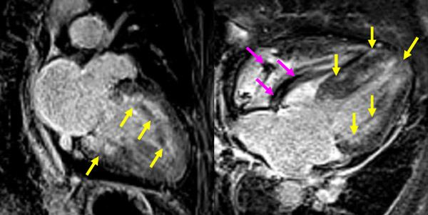
Figure 4A : Séquence de rehaussement tardif - Coupes petit-axe
Figure 4B : Séquence de rehaussement tardif - Coupes long-axe 4 cavités et 2 cavités
La bonne réponse était amylose cardiaque.
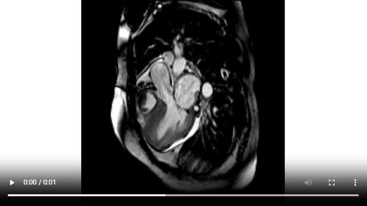
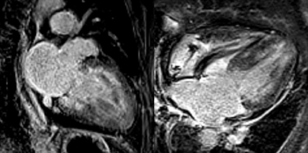
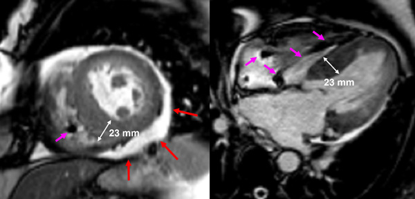
Figure 5 : Séquence Ciné-IRM
- Présence d’une hypertrophie ventriculaire gauche (HVG) asymétrique à prédominance septale mesurée au maximum à 23 mm.
- Visualisation de la sonde de PM avec artéfacts métalliques modérés au niveau du ventricule droit (flèches roses).
- Présence d’un épanchement péricardique de moyenne abondance (flèches rouges).
Figure 6 : Cartographie T1 pré et post injection de gadolinium - Coupes petit-axe basal, médian et apical
Valeur d’ECV mesurée à 41 %.
- La mesure du T1 mapping à 1 070 ms n’est pas très élevée pour l’âge du patient (norme < 1 100 ms pour cet âge).
- Par contre, la mesure du volume extracellulaire (ECV) est franchement élevée à 41 % (norme < 27 %).
- À noter que cette divergence entre T1 mapping normal et ECV élevé peut notamment être décrite chez les patients avec amylose cardiaque.
Figure 7 : Séquence de perfusion premier-passage au repos
Présence d’une hypoperfusion sous-endocardique diffuse (flèches jaunes) correspondant à des troubles de la microcirculation décrits sur les modèles animaux d’amyloses cardiaques.
Figure 8A : Séquence de rehaussement tardif - Coupes petit-axe
Figure 8B : Sequence de rehaussement tardif - Coupes long-axe 4 cavités et 2 cavités
Point technique
Les séquences de rehaussement tardif visualisées ici sont des séquences PSIR et non des séquences de rehaussement tardif en magnitude du fait d’une difficulté fréquente à la détermination du temps d’inversion (Ti) en cas d’amylose cardiaque.
- Présence d’un rehaussement tardif diffus sous-endocardique circonférentiel à l’ensemble du VG (flèches jaunes). Notez également le rehaussement tardif marqué de la paroi de l’oreillette gauche (OG) visible en 2 et 4 cavités.
- De plus, on visualise la présence d’un épanchement péricardique de moyenne abondance qui apparait toujours en noir sur des séquences PSIR (flèches rouges).
- À noter, la visualisation de la sonde de PM avec artéfacts métalliques modérés au niveau du ventricule droit (flèches roses).
Conclusion
L’ensemble des résultats de l’IRM cardiaque est fortement évocateurs d’une amylose cardiaque :
- HVG importante
- Rehaussement tardif diffus sous-endocardique circonférentiel très évocateur
- Rehaussement tardif diffus de la paroi de l’OG
- Élévation importante de l’ECV avec une valeur de T1 mapping peu élevée.
- Épanchement péricardique de moyenne abondance
Pour information, les résultats de la scintigraphie osseuse (Stade Perugini II) et l’absence de chaine légères ont permis de poser le diagnostic d’amylose TTR chez ce patient.
Cependant, il est important de préciser quelques points clés pour le diagnostic d’amylose :
|
Fiche de synthèse de l'ESC
Référence
- EACVI Cardiovascular Magnetic Resonance Pocket Guidelines. Théo Pezel, Jérôme Garot et al. French version, edition 2022. available: https://www.escardio.org/Sub-specialty-communities/European-Association-of-Cardiovascular-Imaging-(EACVI)/Research-and-Publications/CMR-Pocket-Guides
Articles les plus lus
Imagerie cardiaque : cas clinique "Une coronarographie surprenante"
Publié le 18 septembre 2022
Imagerie cardiaque : cas clinique "Attention infarctus du myocarde méchant !"
Publié le dimanche 23 octobre 2022
Imagerie cardiaque : cas clinique "Toutes les hypertrophies ventriculaires gauches ne se valent pas !"
Publié le mardi 26 juillet 2022


























