4 minutes de lecture
L’échocardiographie : de la suspicion diagnostique au suivi du patient
Publié le lundi 11 octobre 2021
Auteur :
Pr Patricia Réant
CHU de Bordeaux
Combinée à l’électrocardiogramme, l’échocardiographie est l’examen de choix pour évoquer en premier lieu le diagnostic de cardiomyopathie amyloïde et ensuite en assurer le suivi.
EN SAVOIR PLUS
A tout cardiologue, la présence d’une hypertrophie ventriculaire concentrique ou diffuse inexpliquée (par exemple par une HTA ou une valvulopathie aortique significative) même si elle est modérée, doit faire évoquer en premier lieu une maladie de surcharge ou infiltrative comme l’amylose, surtout en présence d’autres éléments cliniques associés évocateurs. Ces étiologies (amyloses AL, amylose à TTR, maladie de Fabry, etc…) peuvent relever d’un traitement spécifique qui est à instaurer le plus tôt possible pour éviter les complications souvent sévères. Il est donc crucial pour le pronostic du patient d’éviter l’errance diagnostique qui est encore relativement fréquente.
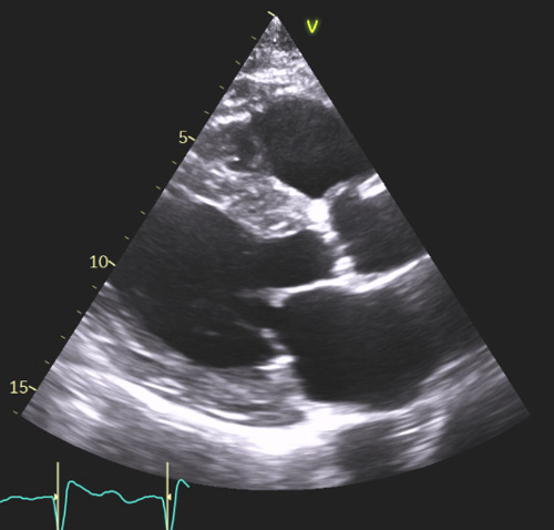
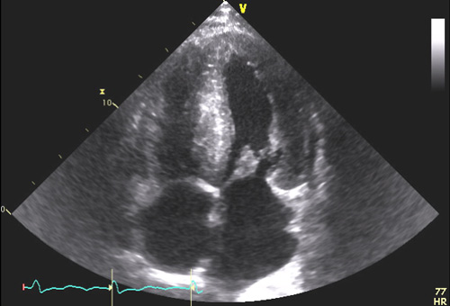
L’atteinte cardiaque secondaire à une amylose se présente généralement sous forme d’hypertrophie biventriculaire avec une hypertrophie ventriculaire gauche le plus souvent concentrique ou diffuse (Figure 1a), qui peut cependant parfois être modérée (12-13 mm). Généralement non obstructive, cette hypertrophie peut prédominer au niveau du septum interventriculaire et même prendre parfois l’aspect d’une cardiomyopathie hypertrophique sarcomérique. Il convient donc de la suspecter devant toute hypertrophie ventriculaire gauche (VG), surtout si celle-ci est concentrique ou diffuse, et si elle s’associe à d’autres éléments comme une hypertrophie de la paroi du ventricule droit (VD) (épaisseur de paroi >5 mm lors de la mesure réalisée en incidence sous-costale) (Figure 1b) avec dysfonction systolique assez fréquente sans être systématique.
Figure 1 : Aspects morphologiques échocardiographiques typiques d’amylose cardiaque
a- HVG concentrique diffuse avec dilatation biatriale
b- Hypertrophie VD mesurée à 9 mm en incidence sous-costale
Un aspect hyperéchogène voire scintillant du septum interventriculaire peut être observé mais il n’est finalement pas spécifique de l’amylose.
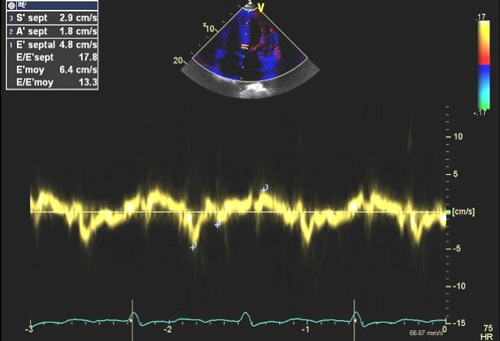
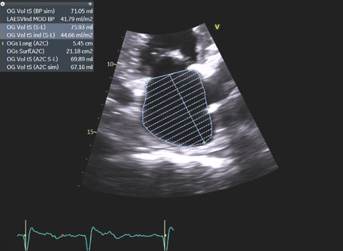
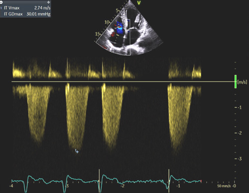
La dilatation des oreillettes est fréquente et s’associe à une dysfonction diastolique. Les pressions de remplissages VG sont souvent élevées (Figure 2) sauf à un stade préclinique chez certains patients a- ou peu symptomatiques. L’étude de la fonction diastolique ventriculaire gauche est basée sur une approche multiparamétrique intégrant le Doppler pulsé mitral, le DTI à l’anneau mitral, le volume de l’oreillette gauche (>32-34 ml/m² SC) et la Vmax du flux d’IT (>2.8 m/s) permettant également d’estimer les pressions artérielles pulmonaires (PAPS).
Figure 2 : Pressions de remplissage VG élevées souvent élevées en cas d’amylose cardiaque évolutive.
Exemple de pressions de remplissages élevées chez un patient avec amylose cardiaque : E/A >2, E/E’ moyen = 13, volume biplan indexé de l’OG > 34 ml/m² SC, Vmax de l’IT proche de 2.8 m/s
Les valves mitrales et aortiques peuvent également être infiltrées par les dépôts amyloïdes, épaissies avec une régurgitation qui est le plus souvent légère à modérée. Les lésions valvulaires aortiques sténosantes sont fréquemment associées également. Il faut penser à rechercher l’amylose devant toute HVG disproportionnées pour un rétrécissement valvulaire aortique et en cas de persistance des signes congestifs après TAVI ou chirurgie valvulaire.
La présence d’une sténose valvulaire aortique modérée ou sévère ne permet pas en soit d’écarter l’hypothèse d’amylose (surtout si l’HVG est importante >15-16 mm) car l’association avec l’amylose à TTR sauvage est fréquente. De même, il faut y penser devant toute insuffisance cardiaque notamment à fraction d’éjection préservée et en cas de cardiomyopathie hypertrophique surtout si le diagnostic est fait après 50-60 ans.
La fraction d’éjection du VG peut être conservée même à un stade avancé. L’analyse des déformations (strain) longitudinales est importante à réaliser en complément systématique, comme devant toute HVG ou toute suspicion de cardiomyopathie. En cas d’aspect typique « en cocarde », du fait d’une altération du strain prédominant sur les segments basaux et médians, alors que les déformations de l’apex sont initialement préservées (Figure 3), le diagnostic de maladie de surcharge et donc d’amylose est à considérer en priorité. Cette présentation n’est cependant pas systématique, on ne la retrouve pas souvent aux stades débutants ou à l’inverse très avancés de l’atteinte amyloïde (dans ce cas les déformations sont altérées de manière très diffuse). Un strain longitudinal global abaissé en dessous de -12% est un élément pronostic péjoratif.
Un épanchement péricardique peut être associé, surtout en cas d’amylose AL.
Figure 3 : Aspect caractéristique du strain longitudinal VG “en cocarde” évocateur de cardiopathie infiltrative et donc d’amylose en premier lieu
Si l’échocardiographie est l’examen qui permet en premier l’évocation du diagnostic, elle va aussi être en première ligne pour assurer facilement un suivi régulier de l’évolution du patient comme il est recommandé dans le dernier consensus d’experts européens qui conseille de la répéter au minimum une fois par an en cas d’amylose à TTR et tous les 6 mois en cas d’amylose AL.
Références :
- Habib G, Bucciarelli-Ducci C, Caforio ALP, Cardim N, Charron P, Cosyns B, Dehaene A, Derumeaux G, Donal E, Dweck MR, Edvardsen T, Erba PA, Ernande L, Gaemperli O, Galderisi M, Grapsa J, Jacquier A, Klingel K, Lancellotti P, Neglia D, Pepe A, Perrone-Filardi P, Petersen SE, Plein S, Popescu BA, Reant P, Sade LE, Salaun E, Slart RHJA, Tribouilloy C, Zamorano J; EACVI Scientific Documents Committee; Indian Academy of Echocardiography. Multimodality Imaging in Restrictive Cardiomyopathies: An EACVI expert consensus document In collaboration with the "Working Group on myocardial and pericardial diseases" of the European Society of Cardiology Endorsed by The Indian Academy of Echocardiography. Eur Heart J Cardiovasc Imaging. 2017;18:1090-1121.
- Phelan D, Collier P, Thavendiranathan P, Popović ZB, Hanna M, Plana JC, Marwick TH, Thomas JD. Relative apical sparing of longitudinal strain using two-dimensional speckle-tracking echocardiography is both sensitive and specific for the diagnosis of cardiac amyloidosis. Heart. 2012;98:1442-8.
- Buss SJ, Emami M, Mereles D, Korosoglou G, Kristen AV, Voss A, Schellberg D, Zugck C, Galuschky C, Giannitsis E, Hegenbart U, Ho AD, Katus HA, Schonland SO, Hardt SE. Longitudinal left ventricular function for prediction of survival in systemic light-chain amyloidosis: incremental value compared with clinical and biochemical markers. J Am Coll Cardiol. 2012;60:1067-76.
- Garcia-Pavia P, Bengel F, Brito D, Damy T, Duca F, Dorbala S, Nativi-Nicolau J, Obici L, Rapezzi C, Sekijima Y, Elliott PM. Expert consensus on the monitoring of transthyretin amyloid cardiomyopathy. Eur J Heart Fail. 2021;23:895-905.
Retrouvez l'intégralité du dossier spécial "Prise en charge de l'amylose cardiaque en 2021"
Ce contenu vous est proposé avec le soutien institutionnel de Pfizer Maladies Rares









