5 minutes de lecture
Un infarctus mais pas du myocarde
Publié le mardi 30 juillet 2024
Pierre Robert et Benoit Lattuca
CHU de Nîmes
Étudiez étapes par étapes le cas d’un patient de 49 ans admis pour une dyspnée aiguë secondaire à une embolie pulmonaire nous amenant à discuter les différentes stratégies de traitement.
Contexte clinique
Présentation du cas
- Un homme de 49 ans est admis aux urgences pour une détresse respiratoire aiguë associée à une syncope
- Ses facteurs de risque et antécédents sont : tabagisme actif, surpoids, thrombose veineuse profonde ancienne post immobilisation sans séquelle
Examens du patient à l’admission
Examen clinique : patient dyspnéique avec balancement thoraco-abdominal, saturation O2=92% sous 6L au masque TA=110/60mmHg
Biologie : tropo US = 180 (N<14), NT-Pro BNP=5000, lactates artériels 1.2 mmol/L, creatinine 78 pour clairance à 72, CRP 8, Hb=13.1, GDS avec PH 7.35, PO2 67 mmHg et PCO2 29 mmHg.
ECG : tachycardie sinusale à 100 bpm, bloc de branche droit, ondes T négatives V1-V3.
L'ECG est le suivant
Figure 1 : électrocardiogramme
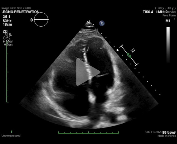
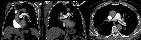
Imagerie : échographie transthoracique et scanner thoracique
(Vidéo 1, Figures 2 et 3)
- FEVG 60%, dilatation VD sévère, PAPs=65mmHg
- Paramètres VD : TAPSE=11 - Onde S=8 - Diamètre anneau=42mm - Strain VD=-11,9%
- Volumineuse masse thrombotique proximale bilatérale « moulant » la carène
Vidéo 1 : échographie transthoracique
Figure 2 : ETT - Strain VD
Figure 3 : angio - TDM thoracique initial
Évolution clinique
La bonne réponse était : C - EP à risque intermédiaire haut
Évolution clinique
Il s’agit d’une embolie pulmonaire à risque intermédiaire haut devant le retentissement ventriculaire droit et l’élévation des biomarqueurs.
Il s’agit d’une forme grave en rapport avec une volumineuse masse thrombotique et une syncope initiale mais on ne doit pas parler de haut risque devant l’absence d’instabilité hémodynamique.
Figure 4 : évaluation du risque
Figure 5 : évaluation du risque
Après 24h d’anticoagulation curative par HNF, le patient ne s’améliore pas avec une oxygéno-dépendance à 8L au masque à haute concentration.
Sa tension est à 124/60mmHg.
À la biologie, la troponine et le BNP sont en plateau, les lactates toujours négatifs.
Les bonnes réponses était : A, C et D
- A. Poursuite HNF IVSE
- C. Thrombectomie percutanée avec système Flowtriever
- D. Thrombolyse in situ avec système Ekos
Figure 6 : rappel des recommandations
Figure 7 : rappel des recommandations dans l’EP à risque intermédiaire haut
Évolution clinique et procédure
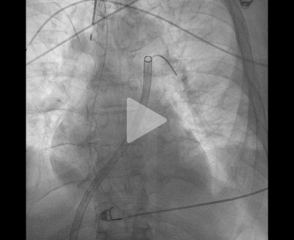
Après discussion collégiale, devant la sévérité du tableau initial et l’absence d’amélioration malgré 24h de traitement anticoagulant bien conduit, il est proposé la réalisation d’une thrombectomie percutanée (dispositif Flowtriever).
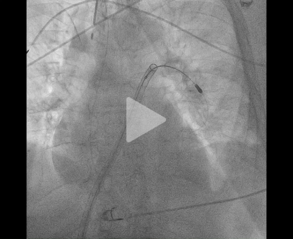
Il s’agit d’une procédure réalisable sous anesthésie locale, par voie fémorale écho-guidée (introducteur de grand diamètre – 24F) et sous monitoring de l’efficacité de l’héparinothérapie. Une cathétérisation sélective des 2 branches de l’artère pulmonaire est réalisée permettant la confirmation d’une hypertension pulmonaire initiale (mesurée à ici à 67mmHg pour la PAPs) (Figure 8), la mise en place d’un cathéter dédié de thromboaspiration permettant de ramener le thrombus (Vidéos 2, 3 et 4). À visée d’épargne sanguine, chaque aspiration est filtrée pour permettre une réinjection du sang.
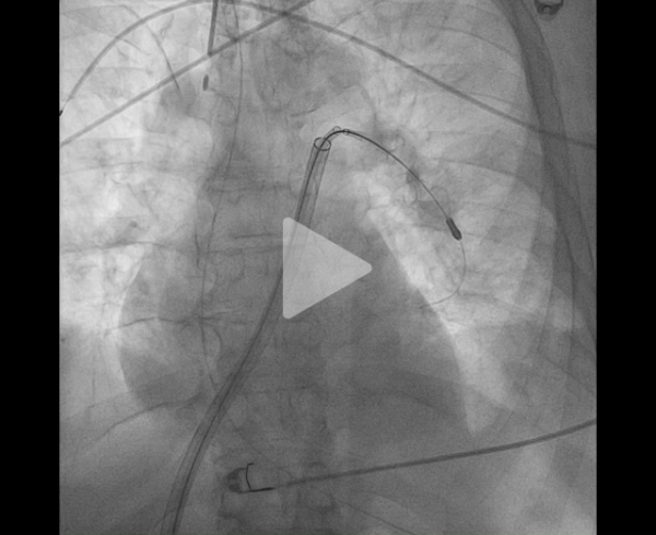
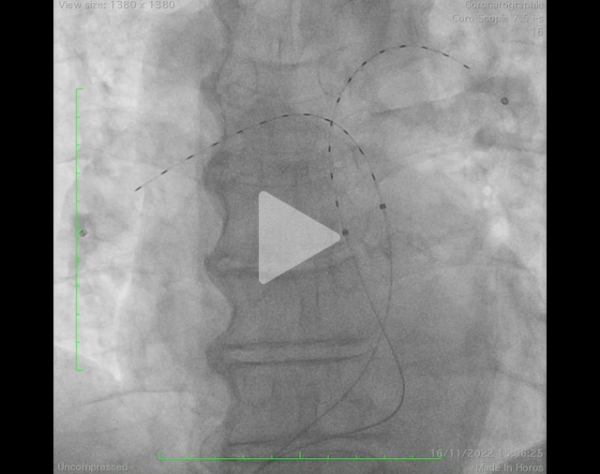
La procédure peut être complétée de l’utilisation de disques intra-artériels pour fragmenter le thrombus et faciliter son aspiration (Figure 9, Vidéos 5, 6 et 7).
Procédure Thrombectomie
Figure 8 : évaluation initiale des PAPS
Vidéo 2 : angiographie initiale
Vidéo 3 : persistance thrombus occlusif troncus antérieur après aspiration
Vidéo 4 : contrôle après aspiration
Procédure - Support des disques pour faciliter l’aspiration
Figure 9 : disques intra-artériels
Vidéo 5 : angiographie sélective
Vidéo 6 : disques mis en place en aval du thrombus
Vidéo 7 : retrait des disques
Évolution clinique et procédure
Comme présentées dans les figures ci-dessous, un important matériel thrombotique (Figure 10) est aspiré permettant une évolution clinique favorable rapide avec un arrêt de l’oxygénothérapie le jour même, une amélioration des paramètres échographiques (Vidéo 8) et une sortie possible à domicile au 4e jour sous AOD.
Le bilan étiologique retrouvera secondairement une mutation du facteur V Leyden amenant à proposer une anticoagulation au long cours pour ce patient qui reste asymptomatique après 6 mois de suivi.
Figure 10 : résultat de l’aspiration
Vidéo 8 : résultats ETT/TDM à 48h
Discussion et perspectives
Les premières études observationnelles ont démontré une amélioration significative des paramètres échographiques sur la dilatation et la fonction ventriculaire droites après thrombectomie percutanée en comparaison à une anticoagulation seule. Bien qu’il ne s’agisse que de données observationnelles, l’étude FLAME présentée en 2023 a parallèlement montré un signal clinique très positif avec une réduction significative de la mortalité chez les patients traités par thrombectomie percutanée comparativement aux patients ayant bénéficié d’une anticoagulation seule ou d’une thrombolyse.
Suite à ces premières données, le remboursement du dispositif Flowtriever est désormais acté en France depuis la fin du mois de janvier 2024.
Des études randomisées sont en cours ou vont débuter pour tâcher d’apporter plus de données et stratifier la place de ce dispositif : l’une dans l’EP intermédiaire haute en comparaison à une anticoagulation curative seule (PEERLESS II), l’autre dans l’EP à haut risque en comparaison à la thrombolyse. Ces 2 études s’intéresseront au risque clinique d’aggravation et à la mortalité.
Parallèlement, un 2e dispositif percutané est disponible en France, il s’agit du système EKOS (Figure 11). Placé au niveau du thrombus dans les branches de l’artère pulmonaire, il associe la diffusion locale d’ultrasons pour faciliter la dissolution des ponts de fibrine et donc du thrombus et d’un thrombolytique à faible dose sur une durée prolongée de 12h pour réduire le risque hémorragique.
Dispositif en revanche contre-indiqué en cas de contre-indication habituelle à la thrombolyse systémique. Les premières données observationnelles sont là aussi très encourageantes avec une amélioration significative du rapport VD/VG et de la fonction ventriculaire droite en échographie chez les patients traités par ce dispositif.
Une étude randomisée internationale (Hi-Peitho) est actuellement en cours pour tâcher de démontrer un impact sur les événements cliniques de cette technique en comparaison à une anticoagulation seule chez les patients pris en charge pour une EP à risque intermédiaire haut.
Figure 11 : dispositif EKOS - Thrombolyse in situ
Vidéo 9 : cathéters EKOS mis en place de manière bilatérale
- Cathéters 6F introduits par voie veineuse fémorale, jugulaire ou brachiale échoguidée
- Infusion ACTILYSE (dose divisée par 4 à 5 par rapport à la thrombolyse systémique) sur 12h avec émission d’impulsions ultrasonores
- Angiographie illustrant les cathéters mis en place au niveau des 2 branches de l’artère pulmonaire (Vidéo 9)
Conclusion
L’embolie pulmonaire est une pathologique fréquente avec près de 100 000 cas par an en France et associée à un risque évolutif important avec un risque de mortalité jusqu’à 30% pour les formes les plus graves.
La thrombolyse garde une place centrale chez les patients à haut risque avec instabilité hémodynamique mais il existe désormais une alternative chez les patients à risque intermédiaire haut avec l’utilisation de dispositifs percutanés de thrombo-aspiration ou de thrombolyse in situ en association à l’anticoagulation curative ayant démontré une amélioration significative des paramètres ventriculaires droits.
Plusieurs études randomisées sont en cours pour confirmer l’intérêt de ces stratégies sur les événements cliniques et stratifier au mieux les patients pouvant en bénéficier.
Références
Meyer G, Vicaut E, Danays T, et al. Fibrinolysis for patients with intermediate-risk pulmonary embolism. N Engl J Med 2014;370:1402—11.Konstantinides SV, Meyer G, Becattini C. et al. 2019 ESC Guidelines for the diagnosis and management of acute pulmonary embolism developed in collaboration with the European Respiratory Society (ERS). Eur Heart J. 2020 Jan 21;41(4):543-603.Tu T, Toma C, Tapson VF et al. A Prospective, Single-Arm, Multicenter Trial of Catheter-Directed Mechanical Thrombectomy for Intermediate-Risk Acute Pulmonary Embolism: The FLARE Study. JACC Cardiovasc Interv. 2019 May 13;12(9):859-869. Efthymios D Avgerinos , Wissam Jaber, Joan Lacomis et al.Randomized Trial Comparing Standard Versus Ultrasound-Assisted Thrombolysis for Submassive Pulmonary Embolism: The SUNSET sPE Trial. Jacc interventions. 2021: 28;14(12):1364-1373.Mitchell J Silver, C Michael Gibson, Jay Giri, et al. Outcomes in High-Risk Pulmonary Embolism Patients Undergoing FlowTriever Mechanical Thrombectomy or Other Contemporary Therapies: Results From the FLAME Study. Circulation interventions. 2023 Oct;16(10):e013406.Kucher N, Boekstegers P, Müller OJ et al. Randomized, controlled trial of ultrasound-assisted catheter-directed thrombolysis for acute intermediate-risk pulmonary embolism. Circulation. 2014 Jan 28;129(4):479-86.
Clause de non-responsabilité
Ce cas ne représente pas l’opinion de la SFC ni de Cardio-online, et n’engage pas leur responsabilité






















