3 minutes de lecture
CMH - Pourquoi rechercher l’obstruction latente à l’effort ?
Publié le lundi 11 septembre 2023
Pr Patricia Réant
Cardiologue
CHU de Bordeaux
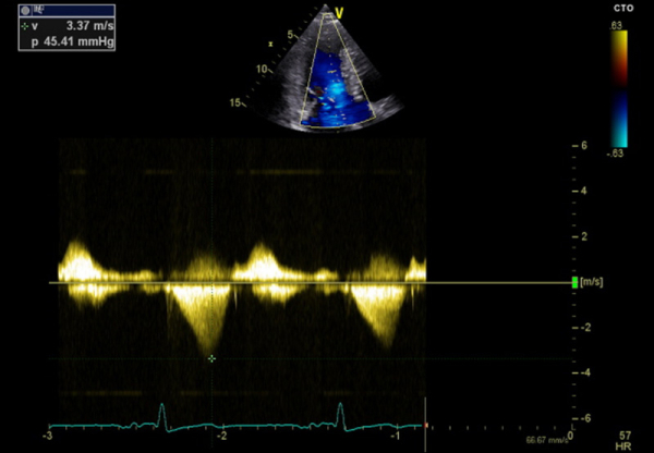
L’échocardiographie d’effort est l’examen de choix qui permet d’évaluer le patient porteur de CMH, à la fois sur le plan fonctionnel, tout en permettant d’objectiver une obstruction absente à l’échocardiographie de repos (latente)(Figure 1) et son mécanisme (Figure 2). Si la prévalence de l’obstruction de repos est de l’ordre de 25 % à 40 % dans la CMH sarcomérique, une obstruction provocable à l’effort physique est observée chez 62 % des autres patients avec CMH symptomatique1.
Figure 1 : Gradient d’obstruction intra-VG provoqué à l’effort.
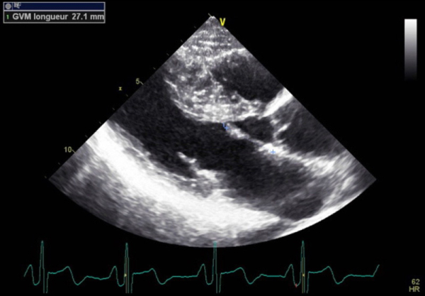
Figure 2 : Mécanisme de la dyspnée d’effort : obstruction latente sur élongation de la grande valve mitrale (supérieur ou égale à 27 mm) associée à la CMH sarcomérique
Par ailleurs, lorsqu’un patient présente une hypertrophie ventriculaire gauche (HVG), la recherche d’une obstruction provocable (plutôt évocatrice d’une origine sarcomérique) peut contribuer, avec d’autres éléments phénotypiques éventuellement associés à l’échocardiographie de repos, à préciser l’étiologie de la CMH, permettant d’en adapter la prise en charge. En l’absence d’obstruction provocable à l’effort (et en post-effort), elle peut amener à considérer plutôt un diagnostic différentiel, comme le cœur de sportif, les maladies de surcharge (amyloses, Fabry, etc.), qui peuvent relever d’une prise en charge thérapeutique spécifique, ou encore orienter vers une cardiopathie post-hypertensive. En fonction du diagnostic étiologique suspecté, des analyses génétiques et un dépistage familial ou d’autres examens complémentaires peuvent être recommandés (recommandation ESC de niveau I)2.
Quelle que soit l’étiologie retenue au final, la recherche d’obstruction à l’effort en cas d’HVG peut nous permettre de mieux comprendre les symptômes présentés par les patients : dyspnée d’effort, oppressions thoraciques douloureuses, lipothymies, voire syncopes à l’effort. En effet, ces différents symptômes peuvent parfois être la conséquence d’une obstruction dynamique à l’effort, alors qu’elle n’est pas présente chez le patient au repos ou en réalisant la manœuvre de Valsalva. En effet, Maron et al. ont montré que la manœuvre de Valsalva ne permettait de démasquer l’obstruction d’effort latente que dans 40 % des cas3.
L’échocardiographie d’effort peut aussi aider à faire la part des choses avec d’autres mécanismes physiopathologiques pouvant conduire à ces symptômes, comme une dysfonction diastolique, une hypertension artérielle pulmonaire, une ischémie myocardique ou une insuffisance mitrale, démasqués également à l’effort. En fonction du ou des mécanisme(s) physiopathologique(s) et des symptômes présentés par le patient, la prise en charge pourra être différente.
Si la définition de l’obstruction sous-aortique est retenue devant un gradient maximal du flux Doppler continu > ou égal à 30 mmHg, on considère que, pour qu’elle soit significative en termes de retentissement hémodynamique, le gradient maximal (en Doppler continu) doit être > ou égal à 50 mmHg.
Si, après optimisation thérapeutique médicamenteuse et mesures hygiéno-diététiques (bonne hydratation, éviction de la prise d’alcool, activité physique modérée régulière pour améliorer le retour veineux et reconditionner à l’effort), le patient présente toujours des symptômes d’effort et une obstruction hémodynamiquement significative non expliquée par une autre cause (anémie, dysthyroïdie, pathologie pulmonaire, surpoids, etc), il est recommandé de modifier la stratégie thérapeutique qui, à terme, peut aller jusqu’à une prise en charge interventionnelle (chirurgie de myectomie, alcoolisation coronaire septale thérapeutique, stimulation double chambre).
Comme les patients avec une obstruction intra-ventriculaire ont un moins bon pronostic que les autres en termes de mortalité4, d’évolution vers l’insuffisance cardiaque et de survenue de fibrillation atriale, il est souhaitable d’améliorer cette obstruction dès lors qu’elle entraîne un retentissement fonctionnel. Il faut noter toutefois qu’il n’est pas recommandé d’utiliser le gradient maximal d’obstruction à l’effort pour le calcul du score de risque rythmique de mort subite, car ce score n’a pas été établi avec cette donnée, mais uniquement avec l’obstruction maximale de repos ou obtenue au Valsalva (car il s’agissait de données rétrospectives multicentriques).
En conclusion, l’échocardiographie d’effort présente un triple intérêt dans la CMH sarcomérique : diagnostique, thérapeutique et pronostique.
Références :
- Shah JS, Esteban MT, Thaman R, Sharma R, Mist B, Pantazis A, Ward D, Kohli SK, Page SP, Demetrescu C, Sevdalis E, Keren A, Pellerin D, McKenna WJ, Elliott PM. Prevalence of exercise-induced left ventricular outflow tract obstruction in symptomatic patients with non-obstructive hypertrophic cardiomyopathy. Heart. 2008 Oct; 94(10):1288-94. doi: 10.1136/hrt.2007.126003. Epub 2007 Nov 21. PMID: 18032461
- Elliott PM et al. 2014 ESC Guidelines on diagnosis and management of hypertrophic cardiomyopathy. The Task Force for the Diagnosis and Management of Hypertrophic Cardiomyopathy of the European Society of Cardiology (ESC) Eur Heart J. 2014
- Maron MS, Olivotto I, Zenovich AG, Link MS, Pandian NG, Kuvin JT, Nistri S, Cecchi S, Udelson JE, Maron BJ. Hypertrophic cardiomyopathy is predominantly a disease of left ventricular outflow tract obstruction. Circulation 2006;114(21):2232-9. doi: 10.1161/CIRCULATIONAHA.106.644682. PMID: 17088454
- Maron BJ, Nishimura RA. Surgical septal myectomy versus alcohol septal ablation: assessing the status of the controversy in 2014. Circulation 2014;130(18):1617-24. doi: 10.1161/CIRCULATIONAHA.114.011580. PMID: 25462821
Retrouvez l'intégralité du dossier spécial « CMH obstructive : comment rechercher et mesurer l’obstruction en pratique clinique ? »
Ce contenu vous est proposé avec le soutien institutionnel de Bristol Myers Squibb
Dans la même thématique
Articles les plus lus
Diagnostic de la cardiomyopathie hypertrophique : sarcomérique ou pas ?
Publié le 28 février 2023
Obstruction intraventriculaire gauche : définitions et conséquences
Publié le mardi 28 février 2023
La stratification et la prise en charge du risque rythmique de mort subite
Publié le mardi 28 février 2023
La prise en charge de l’obstruction intra-ventriculaire gauche
Publié le mardi 28 février 2023



