6 minutes de lecture
Imagerie diagnostique de l’amylose cardiaque, une échographie évocatrice ?
Publié le vendredi 9 juin 2023
Patricia Réant
Cardiologue
CHU de Bordeaux,
GH Sud Haut-Lévêque Hôpital Cardiologique
Imagerie cardiaque : cas clinique en direct du CHU de Bordeaux
L'imagerie cardiovasculaire multimodale suscite votre intérêt ?
Une patiente de 72 ans consulte pour une dyspnée d’effort et une fatigue générale évoluant depuis 3 mois environ.
Prononcez-vous avant de découvrir son diagnostic final !
Contexte clinique
Cette patiente de 72 ans présente comme antécédents :
- de l’arthrose;
- un syndrome du canal carpien bilatéral opéré il y a une dizaine d’années;
- une rupture de la coiffe des rotateurs de l’épaule droite il y a 5 ans.
Elle marche régulièrement et ne présente pas de facteurs de risques cardiovasculaires hormis son âge. Pas d’autres symptômes. Pas d’antécédent familial particulier.
Voici son ECG
Figure 1 : électrocardiogramme
Voici son échocardiographie
Vidéo 1 : échocardiographie 2D en incidence parasternale grand axe
Vidéo 2 : échocardiographie 2D en incidence apicale des 4 cavités
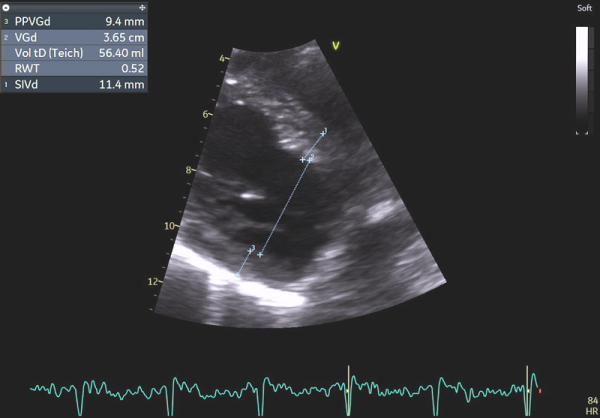
Image 1 : échocardiographie 2D en incidence parasternale grand axe : mesures des parois du ventricule gauche (VG)
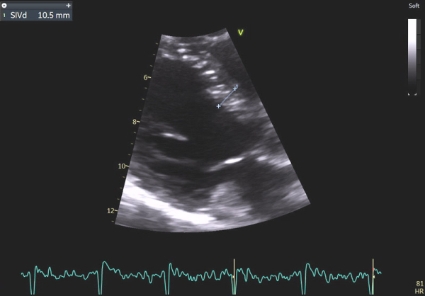
Image 2 : échocardiographie 2D en incidence parasternale grand axe : mesure du septum inter-ventriculaire
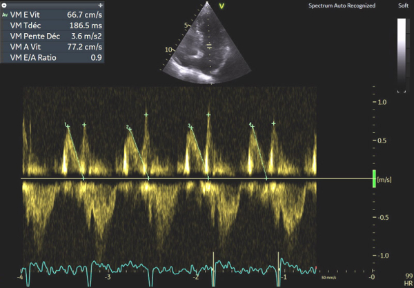
Image 3 : échocardiographie, flux Doppler pulsé transmitral
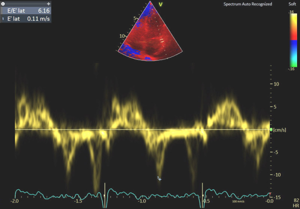
Image 4 : échocardiographie Doppler tissulaire à l’anneau mitral latéral
Image 5 : échocardiographie Doppler tissulaire à l’anneau tricuspide
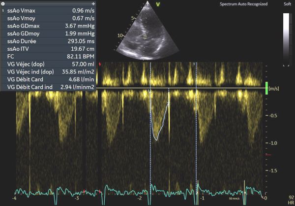
Image 6 : échocardiographie Doppler pulsé sous aortique avec estimation du débit cardiaque
Image 7 : échocardiographie strain longitudinal global (SLG) avec image en bull's eye
Image 8 : échocardiographie 2D, calcul du volume indexé de l’oreillette gauche (OG)
Image 9 : échocardiographie 2D en incidence sous-costale, mesure de l’épaisseur de la paroi du ventricule droit (VD)
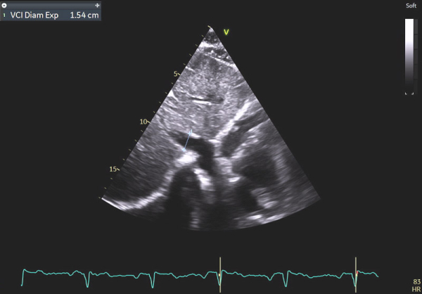
Image 10 : échocardiographie 2D en incidence sous-costale, mesure du diamètre de la veine cave inférieure
Prise en Charge et évolution
Nous avons opté pour la réalisation en priorité d’un bilan sanguin et urinaire (recherche protéinurie de Bence Jones) incluant une électrophorèse des protéines sériques, une immunofixation et le dosage des chaines légères libres d’Ig, couplé à la réalisation d’une scintigraphie corps entier au DPD (99mTc-3,3-diphosphono-1,2-propanodicarboxylic acid).
Le bilan sanguin et urinaire réalisé a permis d’éliminer chez cette patiente un pic monoclonal et un déséquilibre des chaines légères d’Ig, ce qui n’est donc pas en faveur, chez elle, d’une amylose à chaînes légères (AL).
En effet, c’était le diagnostic à éliminer en priorité devant les symptômes présentés par la patiente avec un ECG légèrement microvolté et des éléments évocateurs d’une amylose cardiaque à l’échocardiographie : hypertrophie VG très minime mais > 10 mm chez une femme (> 11 mm chez un homme) (cf Vidéo 1 et Image 1), hypertrophie VD à 6 mm (>5 mm) (cf Image 9) et l’altération des strains longitudinaux basaux à l’AFI après valeurs préservées à l’apex (cf Image 7).
En cas d’atteinte précoce d’amylose cardiaque, ce sont en effet les premières anomalies à pouvoir être objectivées et il peut ne pas y avoir encore d’altération marquée du SLG (cf Image 7), de signe de dysfonction diastolique VG (cf Images 3 et 4), de dilatation de l’OG (cf Image 8), de dysfonction systolique du VD (cf Image 5) et les pressions peuvent être normales.
Ayant éliminé une amylose AL, l’examen complémentaire à réaliser permettant de rechercher une amylose cardiaque à transthyrétine (TTR) a été en priorité la scintigraphie corps entier au DPD ou au HMDP.
Figure 2 : scintigraphie corps entiers au DPD aux temps tardifs objectivant une hyperfixation cardiaque sans extinction de la trame osseuse (stade 2 de Perugini)
Figure 3 : coupes tomographiques cardiaques couplées à la scintigraphie corps entiers au DPD, confirmant l’hyperfixation du myocarde (et non pas du pool sanguin intracardiaque comme parfois observé en cas de ralentissement du flux sanguin).
Comme vous le voyez, les images de la scintigraphie, réalisées aux temps tardifs, mettent en évidence chez la patiente une hyperfixation de l’aire cardiaque sur les vues corps entier (Figure 2). L’évaluation est semi-quantitative et classée par le médecin nucléariste stade 2 de Perugini. Cette hyperfixation myocardique très caractéristique est ensuite confirmée sur les coupes tomographiques (Figure 3). Ceci est primordial car l’une des causes possibles de faux positif est la fixation du pool sanguin intracardiaque en cas de ralentissement du flux sanguin.
Comme souvent dans les atteintes précoces d’amyloses cardiaques à TTR, les anomalies prédominent ici au niveau de la paroi septale du VG et en latéral basal.
Commentaires
Il existe plus de 27 types d’amyloses différentes, dépendant de la protéine amyloïde en cause. Globalement, les 2 amyloses les plus fréquentes en cas d’atteinte cardiaque sont l’amylose à chaînes légères (AL) et l’amylose à transthyrétine (TTR). Cette dernière peut être soit héréditaire (10-15 % des cas), soit sauvage (liée à l’âge).
Les bilans sanguin et urinaire incluant le dosage des chaînes légères d’Ig couplés à la réalisation d’une scintigraphie corps entier au DPD sont en effet les examens à réaliser en priorité en cas de suspicion d’amylose cardiaque d’après le consensus d’expert européen (Figure 4).1
Figure 4 : Algorithme diagnostique en cas de suspicion d’amylose cardiaque.
D’après Garcia-Pavia P. et al European Journal of Heart failure 2021 : ESC position paper.
L’IRM cardiaque peut-être réalisée en cas de discordance des examens sur l’étiologie de l’HVG et à visée pronostique (surtout chez les patients les plus jeunes) mais elle est relativement moins sensible que la scintigraphie pour détecter des atteintes amyloïdes TTR précoces.2,3
Diagnostic final
Au vu de ces résultats, a été retenu chez cette patiente le diagnostic d’amylose cardiaque à transthyrétine (TTR) à un stade précoce. En effet, les biomarqueurs pronostiques (NT-proBNP, troponémie ultra-sensible et débit de filtration glomérulaire (DFG)) étaient normaux chez la patiente (stade NAC 1 d’après le New York Cardiac Amyloidosis Center staging), également en faveur d’une atteinte précoce.
Un traitement spécifique a été initié, après demande de prise en charge à 100 % par le médecin généraliste.
Des analyses génétiques moléculaires TTR ont été réalisées (comme systématiquement recommandé quel que soit l’âge du patient), celles-ci n’ont pas retrouvé de variant pathogène connu sur ce gène et la forme « sauvage » d’amylose TTR a été retenue.
Un Holter ECG a été demandé en complément pour traquer les troubles conductifs de haut grade nécessitant l’implantation d’un pacemaker, et d’autre part les arythmies atriales ou ventriculaires.
Un avis neurologique avec électromyogramme a été conseillé chez cette patiente relativement jeune.
Un suivi cardiologique régulier tous les 6 à 12 mois a été recommandé.
Ce cas clinique vous est proposé avec le soutien institutionnel de GE Healthcare et Pfizer
Références
- Garcia-Pavia P, Rapezzi C, Adler Y, Arad M, Basso C, Brucato A, Burazor I, Caforio ALP, Damy T, Eriksson U, Fontana M, Gillmore JD, Gonzalez-Lopez E, Grogan M, Heymans S, Imazio M, Kindermann I, Kristen AV, Maurer MS, Merlini G, Pantazis A, Pankuweit S, Rigopoulos AG, Linhart A. Diagnosis and treatment of cardiac amyloidosis: a position statement of the ESC Working Group on Myocardial and Pericardial Diseases. Eur J Heart Fail. 2021 Apr;23(4):512-526. doi: 10.1002/ejhf.2140. Epub 2021 Apr 7. PMID: 33826207
- Martinez-Naharro A, Treibel TA, Abdel-Gadir A, Bulluck H, Zumbo G, Knight DS, Kotecha T, Francis R, Hutt DF, Rezk T, Rosmini S, Quarta CC, Whelan CJ, Kellman P, Gillmore JD, Moon JC, Hawkins PN, Fontana M. Magnetic Resonance in Transthyretin Cardiac Amyloidosis. J Am Coll Cardiol. 2017 Jul 25;70(4):466-477. doi: 10.1016/j.jacc.2017.05.053. PMID: 28728692
- Martinez-Naharro A, Kotecha T, Norrington K, Boldrini M, Rezk T, Quarta C, Treibel TA, Whelan CJ, Knight DS, Kellman P, Ruberg FL, Gillmore JD, Moon JC, Hawkins PN, Fontana M. Native T1 and Extracellular Volume in Transthyretin Amyloidosis. JACC Cardiovasc Imaging. 2019 May;12(5):810-819. doi: 10.1016/j.jcmg.2018.02.006. Epub 2018 Mar 14. PMID: 29550324
Articles les plus lus
Imagerie cardiaque : cas clinique "Attention infarctus du myocarde méchant !"
Publié le 23 octobre 2022
Imagerie cardiaque : cas clinique "Une coronarographie surprenante"
Publié le dimanche 18 septembre 2022
Imagerie cardiaque : cas clinique "Toutes les hypertrophies ventriculaires gauches ne se valent pas !"
Publié le mardi 26 juillet 2022



















