8 minutes de lecture
Un cœur musclé : si fatigué qu’il arrive tard !
Publié le vendredi 24 novembre 2023
Dr Chahinez Abdelbaki
Service cardiologie
Groupe Hospitalier du Havre
Analysez, étape par étape, le cas de ce patient de 88 ans, habituellement actif, qui se présente en consultation pour dyspnée d’aggravation progressive, avec apparition d’orthopnée, avant de statuer sur son diagnostic !
Présentation du cas et évaluation non-invasive
Examen clinique initial
Vous recevez en consultation un patient âgé de 88 ans, habituellement actif, pour dyspnée d’aggravation progressive, avec apparition d’orthopnée.
Il est ancien ouvrier dans le bâtiment, déclaré en maladie professionnelle dans le cadre d’une exposition asbestosique.
Il a comme antécédents:
- HTA sous Enalapril
- FA anticoagulée par Rivaroxaban, ralentie par Digoxine
- Artériopathie distale sénile des membres inférieurs
- Intoxication tabagique minime
Son médecin traitant a instauré chez lui un traitement par bronchodilatateur inhalé et Furosémide, permettant une amélioration de la symptomatologie.
Réalisation de TDM thoracique retrouvant un syndrome interstitiel bilatéral sous pleural et une cardiomégalie avec calcifications coronaires.
Il a été vu en pneumologie, avec réalisation des EFR en faveur d’un syndrome restrictif (avec altération de la CV) en rapport avec sa maladie asbestosique.
L’examen clinique retrouve un patient dyspnéique au repos, avec cyanose des extrémités sans signes de choc, discret souffle systolique aortique, OMI avec turgescence jugulaire, pression artérielle à 179/76 mmhg.
Le patient pèse 71 kg et mesure 179 cm.
Voici son électrocardiogramme, qui révèle une fibrillation atriale à 82 bpm, axe inférieur, HBPG, BBD complet (Figure 1).
Figure 1 : Électrocardiogramme d'entrée
Le patient est admis en salle de cardiologie pour déplétion par FUROSEMIDE IV et exploration de sa cardiopathie.
La biologie retrouve :
- un taux de NT pro BNP 6338 ng/L
- une créatinémie à 135 umol/L avec DFG 40 ml/min/m²
- HB 16 g/dl
Échocardiographie transthoracique (ETT) :
(Vidéos 1 à 5, Figures 2 à 4) :
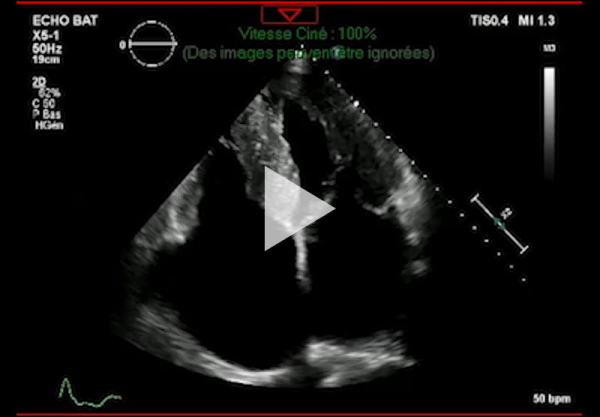
Vidéo 1 - Échocardiographie 2D en incidence parasternale grand axe
Vidéo 2 - Échocardiographie 2D en incidence parasternale grand axe couleur
Vidéo 3 - Échocardiographie 2D en incidence parasternale petit axe
Vidéo 4 - Échocardiographie 2D en incidence apicale 4 cavités
Vidéo 5 - Échocardiographie 2D en incidence apicale 2 cavités
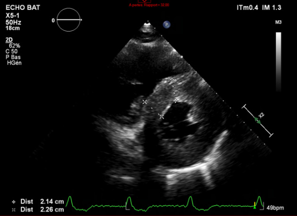
Figure 2 : Échocardiographie 2D Coupe parasternale petit axe (mesure des parois VG)
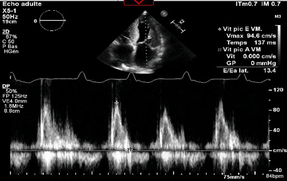
Figure 3 : Mesure du flux transmitral au doppler pulsé (évaluation PRVG)
Figure 4 : Strain longitudinal global altéré à -14% avec gradient apico-basal (aspect en cocarde)
Conclusion ETT :
- Ventricule gauche non dilaté, hypertrophie concentrique symétrique majeure non-obstructive, hypokinésie globale, aspect scintillant du myocarde
- FEVG 45- 50 %
- Pressions de remplissage VG probablement élevées
- Dilatation bi-atriale marquée (OG 54 ml/m²)
- Fuite mitrale centrale modérée, épaississement des valves
- Ventricule droit non dilaté modérément hypertrophique
- Fonction systolique VD diminuée
- Hypertension pulmonaire peu probable (Vmax IT 2,85 m/s)
- Décollement péricardique minime inférieur
Traitement et gestion réels du cas
Au vu des premiers éléments dont vous disposez, le premier examen diagnostique à solliciter était : l'électrophorèse des protéines sériques, avec recherche de chaînes légères, car devant son HVG et l’aspect du strain longitudinal, on peut suspecter une amylose.
Le premier diagnostic à éliminer est ensuite une amylose AL, qui est une urgence thérapeutique !
Nous avons donc opté pour la réalisation, en priorité, d’une électrophorèse des protéines sériques et urinaires avec immunofixation et dosage des chaînes légères libres d’IG.
Cet examen ne retrouve pas d’argument pour une gammapathie monoclonale.
Nous optons ensuite pour une coronarographie devant sa symptomatologie de dyspnée, ses facteurs de risque cardiovasculaires et la présence d’hypokinésie du VG, en faveur d’une lésion monotronculaire avec sténose significative de la première marginale, laissée au traitement médical.
Boucles de coronarographie jointes :
- Réseau coronaire gauche (Vidéo 6)
- Réseau coronaire droit (Vidéo 7)
Vidéo 6 - Réseau coronaire gauche
Vidéo 7 - Réseau coronaire droit
Il existe plusieurs types d’amylose cardiaque ; après l’élimination d’une amylose AL, au vu de l'âge et de la clinique du patient, nous recherchons une amylose à transthyrétine.
En suivant l’algorithme diagnostic de l’ESC, nous avons réalisé une scintigraphie aux bisphosphonates (Figure 5).
Figure 5 : Résultats de scintigraphie corps entier au DPD montrant une hyperfixation cardiaque avec extinction de la trame osseuse = stade PERUGUINI 3
Le score de PERUGUINI utilisé dans l’amylose permet une évaluation semi-quantitative de l’intensité de fixation du traceur osseux dans le myocarde1 (Figure 6).
- Grade 0 : absence de fixation cardiaque du traceur
- Grade 1: fixation cardiaque faible < au signal des côtes
- Grade 2: fixation cardiaque = au signal des côtes
- Grade 3: fixation cardiaque > au signal des côtes associée à une diminution de la fixation globale osseuse du traceur
Figure 6 : Scintigraphie osseuse
Diagnostic final retenu et suivi du patient
Au vu de ces résultats, selon l’algorithme diagnostique de l’ESC (cf discussion), a été retenu chez ce patient le diagnostic d’amylose cardiaque à transthyrétine à un stade avancé, sans argument biologique pour une gammapathie.
N.B: IRM cardiaque et biopsie non réalisées chez notre patient, car non-indiquées dans ce cas selon l’algorithme de l’ESC (cf discussion)
1ère consultation de suivi
Notre patient a été revu en consultation deux semaines après sa sortie : les résultats des examens lui ont été communiqués, avec explication sur la maladie, et la contre-indication aux bêtabloquants, aux IEC et aux autres traitements hypotenseurs.
Son traitement par Digoxine et Enalapril a par conséquent été suspendu, tandis que la dose de diurétiques a été majorée devant la persistance de signes congestifs.
2ème consultation de suivi
Il a ensuite été revu après un mois :
- Nette amélioration clinique, avec perte de 4 kg, régression de la cyanose et signes congestifs
- Sa biologie retrouve : DFG à 38 ml/min/m², avec un pro BNP à 7337 ng/L
- Introduction d’un traitement ralentisseur de la maladie par TAFAMIDIS, bien toléré
Apparition d’une nouvelle symptomatologie
Il rapporte lors de cette consultation des épisodes de malaises avec chutes, sans perte de connaissance.
Sachant que, pendant son hospitalisation, la surveillance scopée retrouve plusieurs épisodes de fibrillation atriale ralentie, sans pause, nous réalisons un enregistrement Holter ECG, qui retrouve plusieurs épisodes de FA ralentie à 29 bpm (Figure 7).
Figure 7 : ECG de la consultation en FA lente à 40 bpm
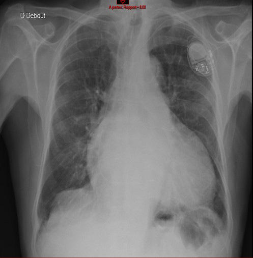
Décision d’implantation de stimulateur cardiaque simple chambre au niveau du SIV (échec de stimulation branche gauche au vu de la dilatation majeure de l’oreillette droite) (Figure 8).
Fréquence de stimulation réglée à 80 bpm afin d’améliorer l’hémodynamique (au vu d’une dyspnée importante à l’effort).
Les troubles conductifs et troubles du rythme sont fréquents dans l’amylose cardiaque.
Figure 8 : Implantation de stimulateur cardiaque
Pour la suite:
Analyse génétique programmée, après accord du patient, pour recherche d’une mutation génétique (qui serait en faveur d’une amylose TTR mutée), et voir si nécessité de dépistage de la descendance.
Si l’analyse ne retrouve pas de mutation précise, nous retenons la diagnostic d’amylose TTR sauvage ou sénile.
Suivi cardiologique régulier.
Discussion: Rappels sur l'amylose
- L'amylose cardiaque est une maladie infiltrative grave et progressive, provoquée par le dépôt de fibrilles amyloïdes au niveau cardiaque.
- Sa prévalence est difficile à estimer, puisqu’on parle de maladie rare, mais les données récentes suggèrent qu’elle est largement sous-diagnostiquée.
- Bien que neuf types d’amylose cardiaque soient connus, AL et ATTR représentent actuellement la grande majorité des amyloses cardiaques.
Quand la suspecter ?
- Evoquer une amylose cardiaque devant toute HVG ⩾ 12mm + « red flags »2 (Figure 9)
- Aucun signe n’est spécifique, mais l’association de la majorité de ces signes doit faire penser au diagnostic (Figure 10)
Figure 9 : "Red flags" permettant d'évoquer une amylose cardiaque
- Devant une suspicion d’amylose, il faut éliminer en priorité une amylose AL par le bilan sanguin et urinaire (EEP sériques et urinaires + immunofixation + recherche de chaînes légères libres et urinaires (protéinurie de Bence jones)).
- La recherche étiologique comporte la réalisation de scintigraphie corps entier au DPD ou HMDP.
- La réalisation d’une IRM cardiaque est indiquée en cas de discordance dans la recherche étiologique mais reste moins sensible aux stades précoces de la maladie.
- Le recours à la biopsie est indiqué dans des situations particulières.
Figure 10 : Algorithme diagnostic de l’amylose cardiaque proposé par l’ESC
Traitements
- Le traitement de l’amylose AL comporte le traitement de l’hémopathie et la prise en charge de l’insuffisance cardiaque.
- Pour l'amylose ATTR: l’arsenal thérapeutique comprend des molécules stabilisantes de la TTR (TAFAMIDIS) et des inhibiteurs de synthèse (PATISIRAN et INOTERSEN) selon l’organe atteint.
- Amylose cardiaque TTR : TAFAMIDIS est actuellement le seul médicament qui a montré son efficacité dans un essai randomisé chez des patients atteints d'ATTRwt et d'ATTRv avec cardiomyopathie, et doit être envisagé chez les patients avec une survie attendue raisonnable. Des essais sont néanmoins en cours pour une autre molécule (ACORAMIDIS).
Évaluation pronostique
Différents scores pronostiques de l'amylose cardiaque sont proposés, basés essentiellement sur des biomarqueurs2 (Figure 11)
Figure 11 : Différents scores pronostiques de l'amylose cardiaque
Si on avait réalisé une IRM cardiaque chez ce patient, quels signes auraient été évocateurs d’une amylose (Figure 12) ?
- Réhaussement tardif sous-endocardique ou transmural diffus
- Cinétique anormale du gadolinium (annulation du signal du myocarde avant celui du sang sur la séquence Ti scout)
- ECV ≥ 0,40 % (fortement favorable, mais non essentielle/diagnostique)
Figure 12 : Intérêt de l’imagerie multimodalité3
Conclusion
- L’amylose cardiaque est une maladie grave, qu’il faut évoquer devant toute hypertrophie ventriculaire gauche inexpliquée chez le sujet de plus de 65 ans.
- Devant une suspicion d’amylose, il est nécessaire d’éliminer l’amylose AL par un dosage sanguin et urinaire, car c’est une urgence thérapeutique.
- L'amylose cardiaque une maladie complexe aux manifestations multiples (maladie infiltrative, troubles de rythme et conductifs, la dénervation cardiaque, manifestation précoce et fréquente, souvent méconnue…).
- Un traitement ralentisseur de la maladie a été validé, et la présence de nouvelles molécules est en cours d’essai.
Références
- Hyafil F, Lairez O. Médecine Nucléaire. 2021. 45; 2 : 93-7. Doi : 10.1016/j.mednuc.2020.11.001
- Eur Heart J, Volume 42, Issue 16, 21 April 2021, Pages 1554–1568
- Martinez-Naharro, A., Baksi, AJ, Hawkins, PN et al. Imagerie diagnostique de l’amylose cardiaque. Nat Rev Cardiol 17 , 413-426 (2020).
Pourquoi « Un cœur musclé : si fatigué qu’il arrive tard ! »
Car selon les scores pronostiques (cf discussion), notre patient arrive à un stade avancé de la maladie.
Clause de non-responsabilité
Ce cas ne représente pas l’opinion de la SFC ni de Cardio-online, et n’engage pas leur responsabilité.
Articles les plus lus
 
                                                        
                        
                                                Une CMH toujours symptomatique
Publié le 19 septembre 2025
Imagerie cardiaque : cas clinique "Attention infarctus du myocarde méchant !"
Publié le dimanche 23 octobre 2022
 
                 
                


















