3 minutes de lecture
Amylose cardiaque : l’échocardiographie, outil diagnostic déterminant et d’alerte dès une HVG ≥ 12 mm !
Publié le mardi 5 juillet 2022
Pr Erwan Donal
Service de cardiologie
Rennes
Dr Guillaume L'Official
Service de cardiologie
Rennes
En échocardiographie, une augmentation d’épaisseur septale dès 12 mm doit alerter et faire pratiquer une étude Doppler tissulaire à l’anneau mitral et un strain global longitudinal avec recherche d’un aspect en cocarde (Figure 1) avec déformations à l’apex beaucoup moins pathologiques que les déformations à la base aux segments moyens.
Figure 1 : Amylose TTR héréditaire . 64 ans
Cet aspect est fréquent, évocateur mais pas pathognomonique du diagnostic ; de plus, si la coupe apicale est de mauvaise qualité, si le ventricule gauche est tronqué, il y aura un aspect en cocarde, mais uniquement parce que l’apex n’est pas dans l’image ! La rigueur des acquisitions des coupes apicales en échocardiographie transthoracique est donc fondamentale.
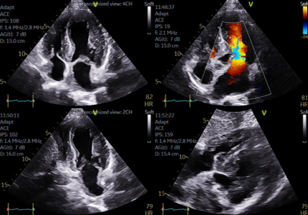
Il faut aussi étudier le ventricule droit, qui est souvent hypertrophié (comme le septum inter atrial et parfois les valves) et les oreillettes qui sont dilatées (mais pas extrêmement alors que leur fonction est souvent effondrée) (Figure 2).
Figure 2 : Paramètres échocardiographique pour évaluer les pressions de remplissage
L’échocardiographie permet aussi le suivi avec :
- Évaluation des pressions de remplissage (Figure 3), qui permet d’aider à adapter les doses de diurétiques ;
- Évaluation de la fonction ventriculaire gauche par étude du strain global longitudinal et de son évolution sous traitement ; un strain global longitudinal < 10.4 % implique un pronostic plus sombre, même si la FEVG est préservée ;
- Évaluation du cœur droit (dilatation, strain, épaisseur paroi libre) et des oreillettes : une dysfonction ventriculaire droite (strain de la paroi libre < 17 %) est un critère pronostique péjoratif fort ;
- Étude du strain atrial gauche, qui, < 13 % pendant la systole ventriculaire (phase réservoir), est aussi un facteur pronostique majeur, corrélé à la sévérité des symptômes, au risque thrombo-embolique, et à l’apparition d’arythmies atriales (Figure 4)4,5.
Une fois le diagnostic posé, le suivi sera régulier, avec une échocardiographie tous les 6 mois et un holter ECG par an.
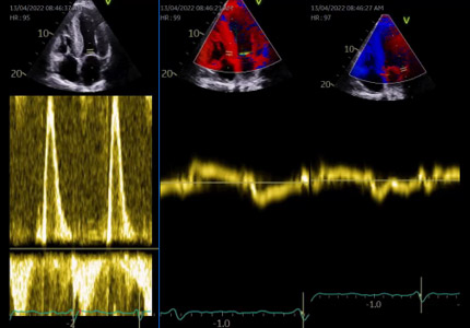
Figure 3 : HVG > 12 mm mais aussi VD en sous-costal. Profil diastolique de type trouble de la relaxation, possible dans l’amylose TTR à un stade pas trop sévère , comme ici où le strain VD est preserve > 23%
Figure 4 : Amylose TTR sauvage, 75 ans: en FA avec un DTI très altéré (s’ et e’ < 6 cm/s). Strain atrial < 20% mais non totalement effondré dans ce cas
L’échocardiographie est fondamentale pour orienter vers le diagnostic dans certaines situations cliniques :
- Asthénie ou dyspnée inexpliquée
- Poussée d’insuffisance cardiaque à FEVG préservée ou altérée.
- Rétrécissement aortique serré : 1/8 des patients discutés pour TAVI est aussi porteur d’une amylose TTR.
- Cardiomyopathie hypertrophique
- Trouble conductif de haut grade ou fibrillation atriale.
Devant ces signes cliniques d’alerte, après élimination d’une hémopathie et d’un pic monoclonal, il faudra avoir assez facile le recours à la scintigraphie osseuse.
Une analyse échocardiographique complète est importante pour évoquer la maladie, mais ne permet pas le diagnostic ! C’est la scintigraphie « osseuse » qui sera l’examen diagnostic de choix1-4. Si l’IRM a peu d’intérêt diagnostique (en dehors de l’amylose AL), elle a un rôle dans le suivi grâce au T1 mapping et au calcul du volume extracellulaire. Mais il ne faut pas attendre un rendez-vous tardif d’IRM, qui risque de retarder le diagnostic, et préférer la scintigraphie dite « osseuse », fondamentale et déterminante pour affirmer le diagnostic. Ensuite, l’indication du traitement se fera en fonction du contexte, au besoin après avis gériatrique.
Références
- Garcia-Pavia P, Rapezzi C, Adler Y et al. Diagnosis and treatment of cardiac amyloidosis: a position statement of the ESC Working Group on Myocardial and Pericardial Diseases. EurHeart J 2021;42:1554-1568.
- Adam RD, Coriu D, Jercan A et al. Progress and challenges in the treatment of cardiac amyloidosis: a review of the literature. ESC Heart Fail 2021;8:2380-2396.
- Huntjens PR, Zhang KW, Soyama Y, Karmpalioti M, Lenihan DJ, Gorcsan J, 3rd. Prognostic Utility of Echocardiographic Atrial and Ventricular Strain Imaging in Patients With Cardiac Amyloidosis. JACC Cardiovasc Imaging 2021;14:1508-1519.
- Brand A, Frumkin D, Hubscher A et al. Phasic left atrial strain analysis to discriminate cardiac amyloidosis in patients with unclear thick heart pathology. Eur Heart J Cardiovasc Imaging 2021;22:680-687.
- Clemmensen TS, Eiskjaer H, Ladefoged B et al. Prognostic implications of left ventricular myocardial work indices in cardiac amyloidosis. Eur Heart J Cardiovasc Imaging 2021;22:695-704.
Retrouvez l'intégralité du dossier spécial "Amylose cardiaque : les recommandations"
Ce contenu vous est proposé avec le soutien institutionnel de Pfizer.
Attention, cette publication a pour objectif de fournir des informations sur l’état actuel de la recherche ; ainsi, les données présentées seront susceptibles de ne pas être validées par les autorités de santé françaises, et ne devront donc pas être mises en pratique.
Le laboratoire Pfizer n’est pas intervenu dans le choix et la rédaction des articles.
Dans la même thématique
Articles les plus lus
ATTRACT-LTE : le tafamidis améliore à long-terme la qualité de vie des amyloses cardiaques ATTR
Publié le mercredi 28 septembre 2022
Incidence non négligeable des myocardites après 3ème dose de vaccin à ARN messager anti-COVID 19
Publié le samedi 27 août 2022
Amylose cardiaque : existe-t-il un profil type de patient ? Les indices paracliniques
Publié le lundi 20 juin 2022











